Comunicaciones: Casos clínicos

Hernia inguinal gigante (Póster)

Ámbito del caso (Atención Primaria, servicios de Urgencias o atención domiciliaria)

Atención Primaria.

Motivos de consulta

Masa en abdomen.

Historia clínica

Antecedentes personales relevantes, anamnesis, exploración física y lugar que ocupa en ella la ecografía

Hombre de 64 años, con antecedentes de Enfermedad Pulmonar Obstructiva Crónica, Diabetes Mellitus tipo 2 e Hipertensión arterial con mal control, consulta por dolor en masa abdominal que percibe desde hace tiempo y desde hace 1 semana le molesta. A la exploración, se palpa gran masa en región inguinal derecha, de consistencia blanda, no reductible, que crepita a la palpación. Se decide realizar ecografía para esclarecer la naturaleza de esa masa.

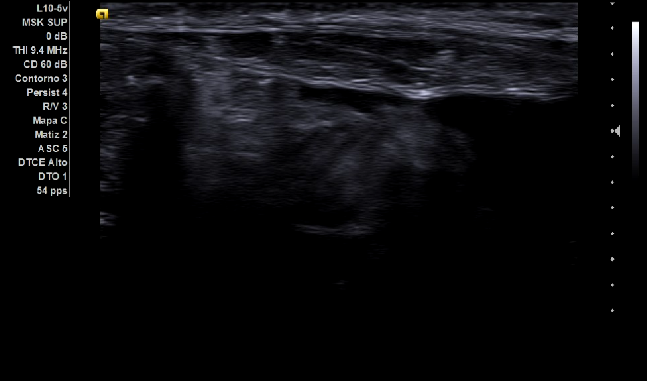
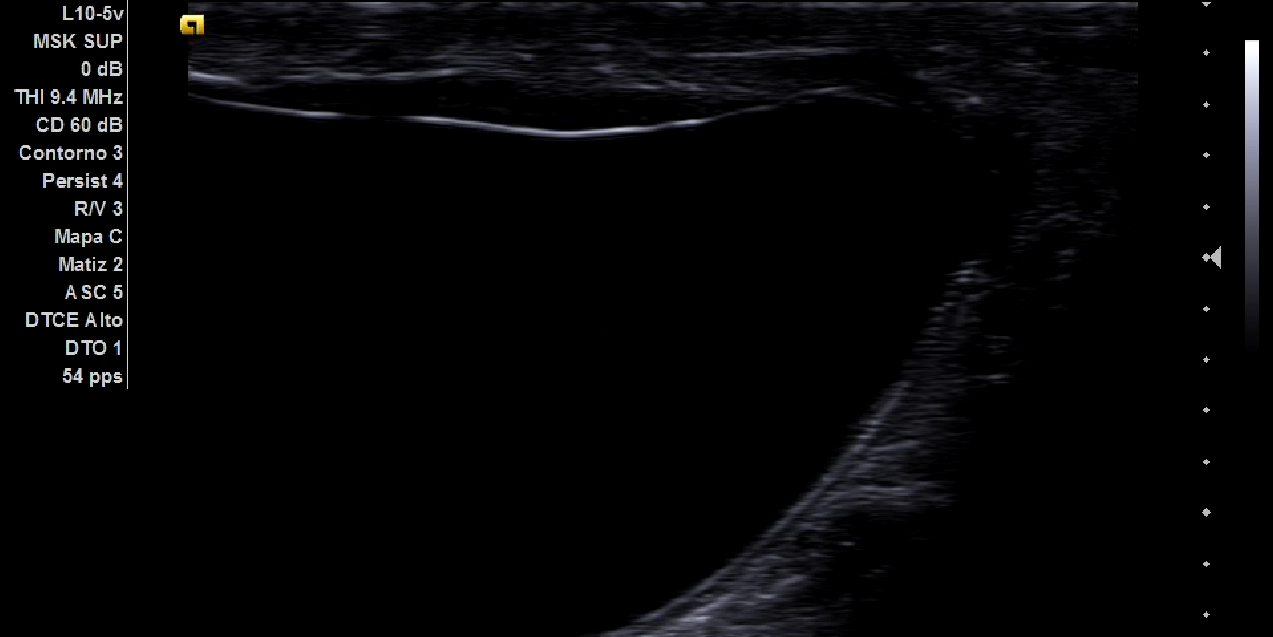
Descripción de los hallazgos ecográficos y las imágenes más relevantes para la resolución del caso

Al realizar la ecografía se aprecia masa heterogénea, móvil, con cordón espermático en la superficie (imagen 1), destacando que en el escroto había abundante contenido hipoecoico compatible con hidrocele. Todos ellos hallazgos compatibles con hernia inguinal de grandes dimensiones.

Otras pruebas complementarias realizadas (si existen)

No.

Juicio clínico, diagnóstico diferencial, concordancia con el hospital (en su caso)

Hernia inguinal gigante.

Decisiones adoptadas: tratamiento, planes de actuación

Se deriva al paciente de forma preferente a las consultas externas de Digestivo, incidiendo en que se ha realizado ecografía clínica, que confirma la sospecha principal que teníamos.

Evolución y seguimiento

Tras una semana, al paciente no lo habían citado, por lo que nos ponemos en contacto con Cirugía General del hospital para que sea atendido con la mayor brevedad posible. A la semana siguiente el paciente es ingresado e intervenido de forma programada.

Conclusiones y aplicabilidad para la medicina de familia

La hernia inguinal es un diagnóstico que puede realizarse sin apenas uso de pruebas complementarias, tan solo con una adecuada y sistemática exploración física. Sin embargo, con la llegada de la ecografía a los centros de salud, disponemos de una herramienta fundamental para realizar un primer abordaje de una masa abdominal. En el caso de sospechar una hernia inguinal en un hombre de debe comenzar por situar el transductor en posición transversal sobre el testículo, y se debe buscar el cordón espermático (en la superficie de la imagen 1), siguiéndolo proximalmente al anillo superficial hasta su desaparición en el anillo profundo. Se debe evaluar toda la extensión de la hernia, rastreando hasta su origen. Tener en cuenta que si se localiza lateralmente a la arteria epigástrica inferior es una hernia indirecta; de lo contrario, es directa. También es útil evaluar el Doppler para cerciorarnos de que el asa puede ser viable.


Comunicaciones y ponencias semFYC: 2025; Comunicaciones: Casos clínicos. ISSN: 2339-9333

Autores

De La Ossa Guirao, Isidro
CS Murcia-Vistabella
Alcázar Pérez, Cristina
CS Molina Sur-Jesús Marín. Molina de Segura, Murcia