V Jornadas de Ecografía de la semFYC

9 y 10 de febrero de 2024

Comunicaciones: Casos clínicos

Hidronefrosis en embarazada (póster)

Ámbito del caso

Servicio de Urgencias

Motivos de consulta

Dolor en fosa renal

Historia clínica

Enfoque individual

Paciente de 22 años, sin alergias conocidas. Embarazada de 24 semanas en tto con ácido fólico. Consulta en urgencias por dolor en fosa renal derecha irradiada hacia genitales de 3 horas de evolución. Acompañada de disuria, vomitos y sudoracion. Niega fiebre.

Exploracion: Buen estado general. Bien hidratada y perfundida. Auscultación normal. Abdomen: Depresible, palpando aumento uterino por embarazo. No otras masas. Ruidos conservados. Puño percusion renal derecha positiva. No apofisalgia.

Se administra acetaminofeno y diazepam intravenoso. Se pide analítica con perfil renal y se realiza ecografia clinica en consulta.

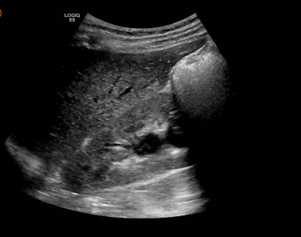
Hallazgos ecográficos

Ecografía abdomen: Dilatación moderada de ureter derecho proximal y parte de pelvis renal (14 mm) sin posibilidad de visualización de litiasis por gestación. Vejiga deplecionada. Movimientos fetales activos con latido conservado.

Pruebas complementarias

- 1º Analitica Hemograma 10.9, Leucocitos 11430 y 300000 plaquetas. Neutrofilos 8540. Resto de parámetros, incluida creatinina (0,85) normal.

- Sistematico de orina: Leucocitos, hematies y nitritos negativos. Bacterias moderadas.

- 2º Analitica (control tras 10h): Se mantiene creatinina en valor normal (0,92).

Juicio clínico, diagnóstico diferencial, identificación de problemas

Juicio clínico: Hidronefrosis moderada por compresion uterina (embarazo).

Tratamiento y planes de actuación

Plan de Actuación: Vigilancia en urgencias con sueroterapia durante 14h. Se contacta con urologia de guardia que indica no actuacion actual ante función renal normal y control del dolor con analgesicos. Alta a domicilio con analgésicos (acetaminofeno y metamizol cada 8h) y aumento de hidratacion en domicilio.

Evolución

Seguimiento: Evolución favorable, con desaparicion del dolor a la semana. Se realizó, nueva ecografía clínica en su centro de salud, confirmando la normalidad de la via urinaria (por movimientos fetales).

Conclusiones (y aplicabilidad para la Medicina de Familia)

La hidronefrosis en el embarazo, suele aparecer hasta en un 90%, sin embargo solo un pequeño porcentaje presenta clínica (3%). Aparece en la segunda mitad de la gestación, siendo las causas extrinsecas las más habituales (compresión por aumento de las vena ovaricas y/o uterino). En la actualidad, sigue siendo la ecografía el mejor metodo para su diagnóstico por su inocuidad. En la mayoría de los casos, solo precisa tratamiento sintomático, hidratación y medidas posturales maternos (decubito lateral sobre el lado contrario al del riñón dilatado con intención de disminuir la compresión por el utero).

 


Comunicaciones y ponencias semFYC: 2025; Comunicaciones: Casos clínicos. ISSN: 2339-9333

Autores

Linares Canalejo, Anaís María
CS Isla Chica. Huelva
Santos Estudillo, Marcos Isidro
CS La Orden. Huelva
Tena Santana, Gonzalo
CS Valverde del Camino. Huelva