V Jornadas de Ecografía de la semFYC

9 y 10 de febrero de 2024

Comunicaciones: Casos clínicos

Ictericia y coluria (póster)

Ámbito del caso

Atención Primaria.

Motivos de consulta

Ictericia y coluria.

Historia clínica

Enfoque individual

Mujer de 54 años que consulta por ictericia y coluria de dos días de evolución. Molestias leves y oscilantes en hipocondrio derecho desde entonces. No fiebre ni sensación distérmica. No síndrome constitucional. 

Hallazgos ecográficos

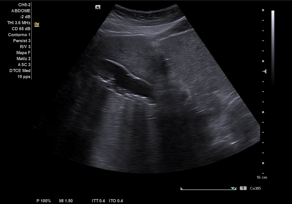
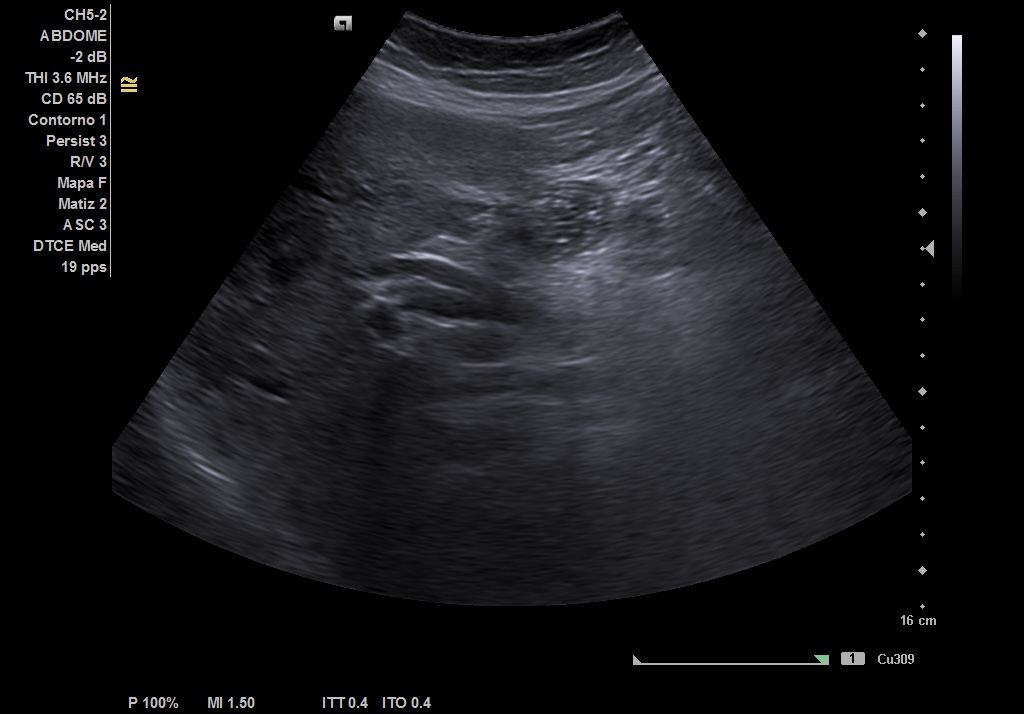
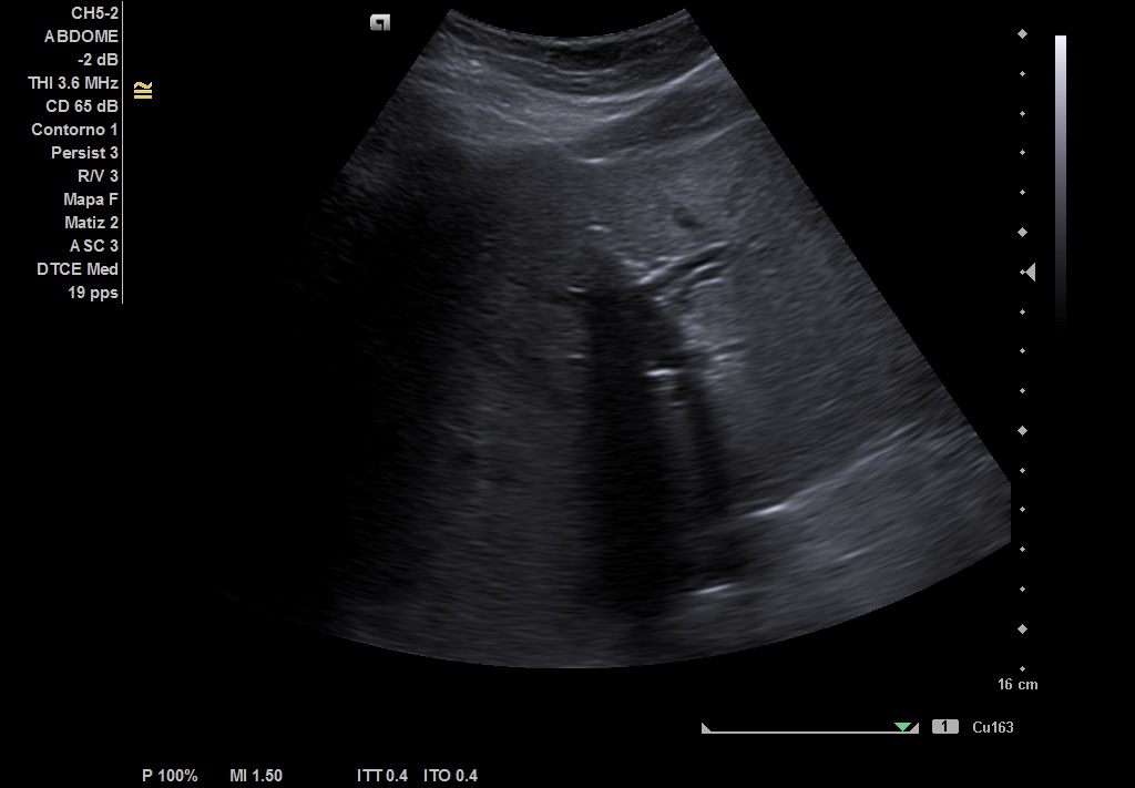
Realizamos ecografía abdominal en el Centro de Salud en el momento de la consulta y visualizamos: Colelitiasis y dilatación de la vía intra y extrashepática sin observar claramente causa obstructiva.

Recomendamos a la mujer acudir a Urgencias del Hospital (pensando en un ingreso para completar estudio) que niega por «encontrarse bien» y por estar este demasiado lejos (Abanilla). Ante buen estado general, solicitamos análisis de sangre urgente para el día siguiente y solicitamos RMN preferente. En AS destaca: ALT 858 U/I, AST 369 U/I, FA 379 U/I, GGT 664 U/I,BiT 13 mg/dl y LDH 326 mg/dl. Pendiente de serología. Dada la marcada elevación de transaminasas, insistimos y recomendamos a la mujer acudir a Urgencias, donde finalmente acude y queda ingresada a cargo de Digestivo. 

Pruebas complementarias

En Digestivo se realizó:
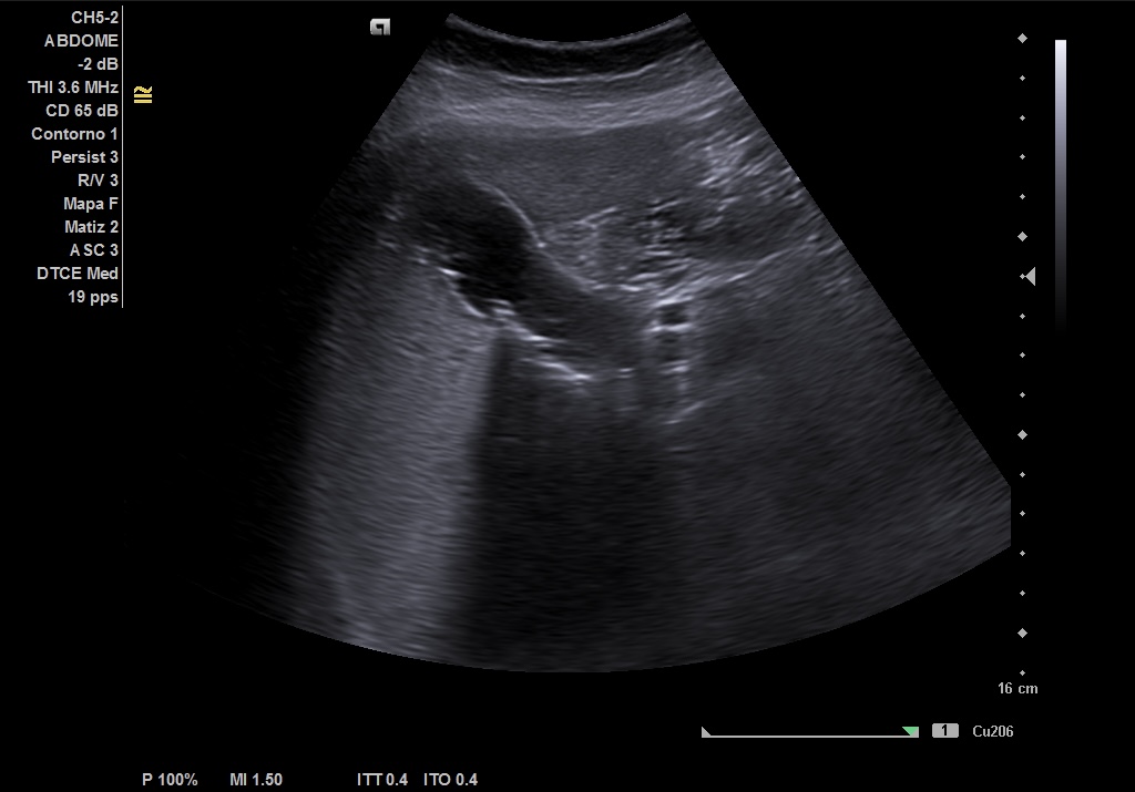
  • Nueva ECO de abdomen y colangioRMN en las que se observa: colelitiasis. Vía intra y extrahepática dilatada, sugestivo de coledocolitiasis distal de 5 mm, que se extrae con CPRE.

Juicio clínico, diagnóstico diferencial, identificación de problemas

Pudimos confirmar que se trataba de una ictericia por obstrucción de vía biliar secundaria a litiasis de vesícula, con mismas imágenes encontradas en ECO reglada y en RMN realizadas en centro Hospitalario que las halladas en el Centro de Salud.

Tratamiento y planes de actuación

Se extrajo la litiasis mediante CPRE en el ingreso.

Evolución

La paciente evolucionó de forma favorable tras la intervención, con resolución de la clínica y mejoría de las enzimas hepáticas.

Conclusiones (y aplicabilidad para la Medicina de Familia)

Gracias a la ecografía pudimos:
  • Descartar de forma preliminar patología orgánica grave, como tumores (a falta de pruebas que lo confirmen).
  • Ingreso directo a Digestivo sin necesidad de nueva ecografía en Urgencias.


Comunicaciones y ponencias semFYC: 2025; Comunicaciones: Casos clínicos. ISSN: 2339-9333

Autores

Díaz Corbalán, Patricia
CS Jesús Marín. Molina de Segura. Murcia
Expósito Cutillas, Yessica Julia
CS Abanilla. Murcia
Benzal Rodríguez, Patricia
CS Jesús Marín. Molina de Segura. Murcia