Comunicaciones: Casos clínicos

Importancia de la ecografía como prueba diagnóstica inicial en Atención Primaria: caso de quiste sinovial (Oral)

Ámbito del caso (Atención Primaria, servicios de Urgencias o atención domiciliaria)

Atención Primaria.

Motivos de consulta

Hombre de 71 años que consulta por tumoración en hombro izquierdo de meses de evolución, de unos 4 cm de diámetro, no dolorosa, sin antecedente traumático.

Historia clínica

Antecedentes personales relevantes, anamnesis, exploración física y lugar que ocupa en ella la ecografía

Antecedentes personales: en seguimiento por Reumatología por espondiloartropatía B27+. Exploración física; atrofia muscular en la región del hombro izquierdo, limitaicón severa de la movilidad activa (especialmente en abduccion y rotacion externa) y masa supraclavicular palpable. Fuerza levemente disminuida en MSI, sensibilidad conservada en todos los niveles.

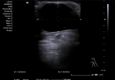
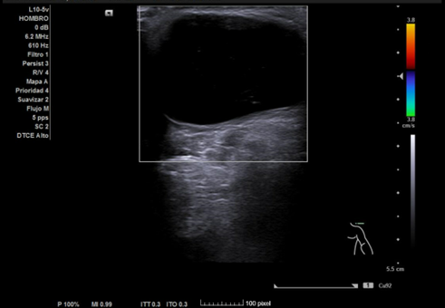
Descripción de los hallazgos ecográficos y las imágenes más relevantes para la resolución del caso

Ecografía hombro izquierdo: se observa una masa de 2,3 x 3,4 cm, anecoica en su totalidad, no tabicada, de bordes bien definidos y sin captación en Doppler.

Otras pruebas complementarias realizadas (si existen)

Pruebas complementarias: Radiografía: No se aprecian líneas de fractura. Corticales íntegras con espacios articulares conservados, sin pinzamientos ni luxaciones. Se observa el quiste ya descrito en la ecografía. Sin lesiones óseas agudas.

Juicio clínico, diagnóstico diferencial, concordancia con el hospital (en su caso)

Diagnóstico final: quiste sinovial probablemente perteneciente a la articulación acromioclavicular.
Diagnósticos diferenciales: Signo del Geyser, Lipoma, Hematoma organizado o seudoquiste.

Decisiones adoptadas: tratamiento, planes de actuación

Seguimiento del paciente. Actualmente en espera para inclusión en lista de espera quirúrgica.

Evolución y seguimiento

Se derivó al servicio de Cirugía General para estudio y posterior exéresis si procedía. Allí le realizaron al paciente una RMN de hombro, un TAC sin contraste y posteriormente otra ecografía para llegar al diagnóstico de sospecha de quiste sinovial.

Conclusiones y aplicabilidad para la medicina de familia

Este caso resalta la importancia de valorar y seguir las indicaciones de las pruebas solicitadas desde Atención Primaria. A pesar de que se realizaron múltiples estudios adicionales como resonancia magnética, TAC y una segunda ecografía, el diagnóstico final fue el mismo que se había sospechado inicialmente con la primera ecografía. Esto evidencia que, en muchas ocasiones, las pruebas solicitadas en este nivel de atención son suficientes para orientar el diagnóstico, evitando pruebas innecesarias que pueden suponer un gasto de recursos y una carga adicional para el paciente.

 


Comunicaciones y ponencias semFYC: 2025; Comunicaciones: Casos clínicos. ISSN: 2339-9333

Autores

Carvajal Sánchez, Irene María
CS San Antón. Cartagena, Murcia
Perez-Crespo Gómez, Carmen
CS San Antón. Cartagena, Murcia