V Jornadas de Ecografía de la semFYC

9 y 10 de febrero de 2024

Comunicaciones: Casos clínicos

La ecografía clínica en Atención Primaria para el diagnóstico oportuno de neoplasia intravesical (póster)

Ámbito del caso

Atención Primaria  

Motivos de consulta

Hematuria.

Historia clínica

Enfoque individual

Edad 63 años.

Antecedentes médicos: No antecedentes de interés.  

Hábitos: Fumador de 1 paquete de cigarrilos al día desde hace más de 20 años.  

Paciente refiere hematuria macroscópica de forma intermitente en las últimas tres semanas. No asocia disuria, tenesmo vesical, nicturia, fiebre, ni otros síntomas.  

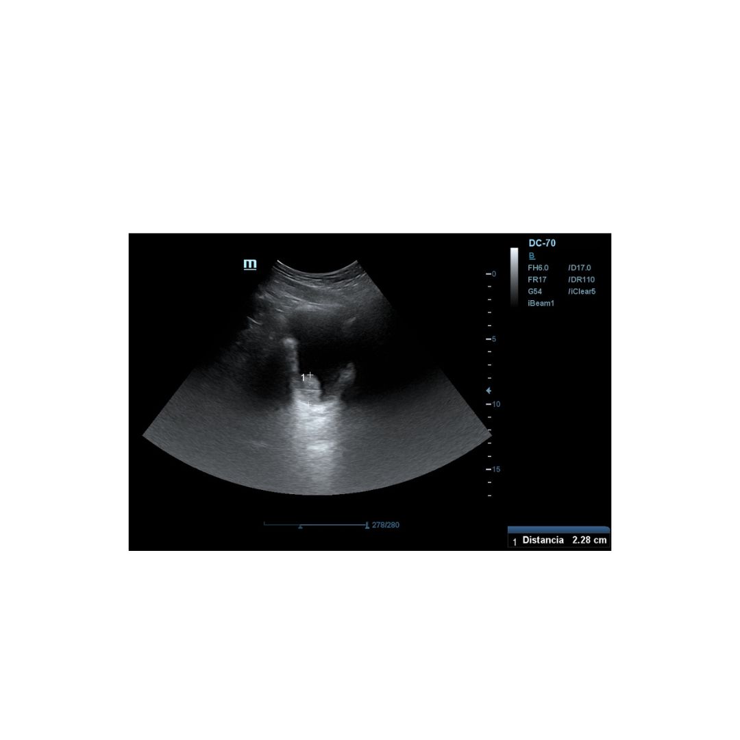
Hallazgos ecográficos

Es derivado a consulta de ecografía de nuestro centro de salud, donde realizamos Ecografía clinica abdominal, apreciándose imagen hiperecogénica pediculada en pared posterior izquierda de la vejiga vejiga, fija, que mide 2,26 mm aproximadamente en su eje mayor, sin captación Doppler.  

Pruebas complementarias

Se realizó sedimento urinario que reportó positividad para Hematíes con tres cruces.  

Juicio clínico, diagnóstico diferencial, identificación de problemas

Juicio clínico: Carcinoma Urotelial 

Diagnóstico diferencial:

  • Pólipo vesical 
  • Litiasis vesical.  

Tratamiento y planes de actuación

Se deriva al paciente con informe de ecografía clínica al servicio de urología de nuestro hospital de forma preferente.

Evolución

Tras ser derivado, realizan toma de Biopsia con hallazgo de: Carcinoma urotelial/Carcinoma de células transicionales, realizándose reseccion transuretral y quimioterapia intravesical posterior.   

Conclusiones (y aplicabilidad para la Medicina de Familia)

Cada vez más nos damos cuenta de la importancia que tiene la ecografía clínica en Atención Primaria, siendo este caso uno de tantos donde se ha detectado un síntoma en un paciente de riesgo, pudiendo realizarla en el menor tiempo posible y obteniéndose imágenes que ya de por sí son casi definitorias de la patología actual del paciente y que nos han permitido cordinar con el servicio de urología para el diagnóstico definitivo y tratamiento de forma urgente así evitando empeoramiento y las complicaciones asociadas.

 

 
 

Comunicaciones y ponencias semFYC: 2025; Comunicaciones: Casos clínicos. ISSN: 2339-9333

Autores

Soto Vasallo, Daniela
CS de Pego
Borras Gallen, Anna
CS de Pego
Enguix Bataller, Clara
CS de Pego