V Jornadas de Ecografía de la semFYC

9 y 10 de febrero de 2024

Comunicaciones: Casos clínicos

La ecografía clínica siempre nos sorprende, incluso en el paciente asintomático (póster)

Ámbito del caso

Atención Primaria.

Motivos de consulta

Paciente asintomático, se indica estudio nefrourológico en el contexto de una insuficiencia renal crónica grado III.

Historia clínica

Enfoque individual

Paciente de 68 años, de alto riesgo cardiovascular.  Presenta hallazgo confirmado en dos determinaciones de unos valores analíticos de Filtrado Glomerular estimado CKD-EPI inferiores a 50 mL/min. Considerando la indicación de estudio nefrourológico desde atención primaria para valoración  vesicoprostática y renal.

Hallazgos ecográficos

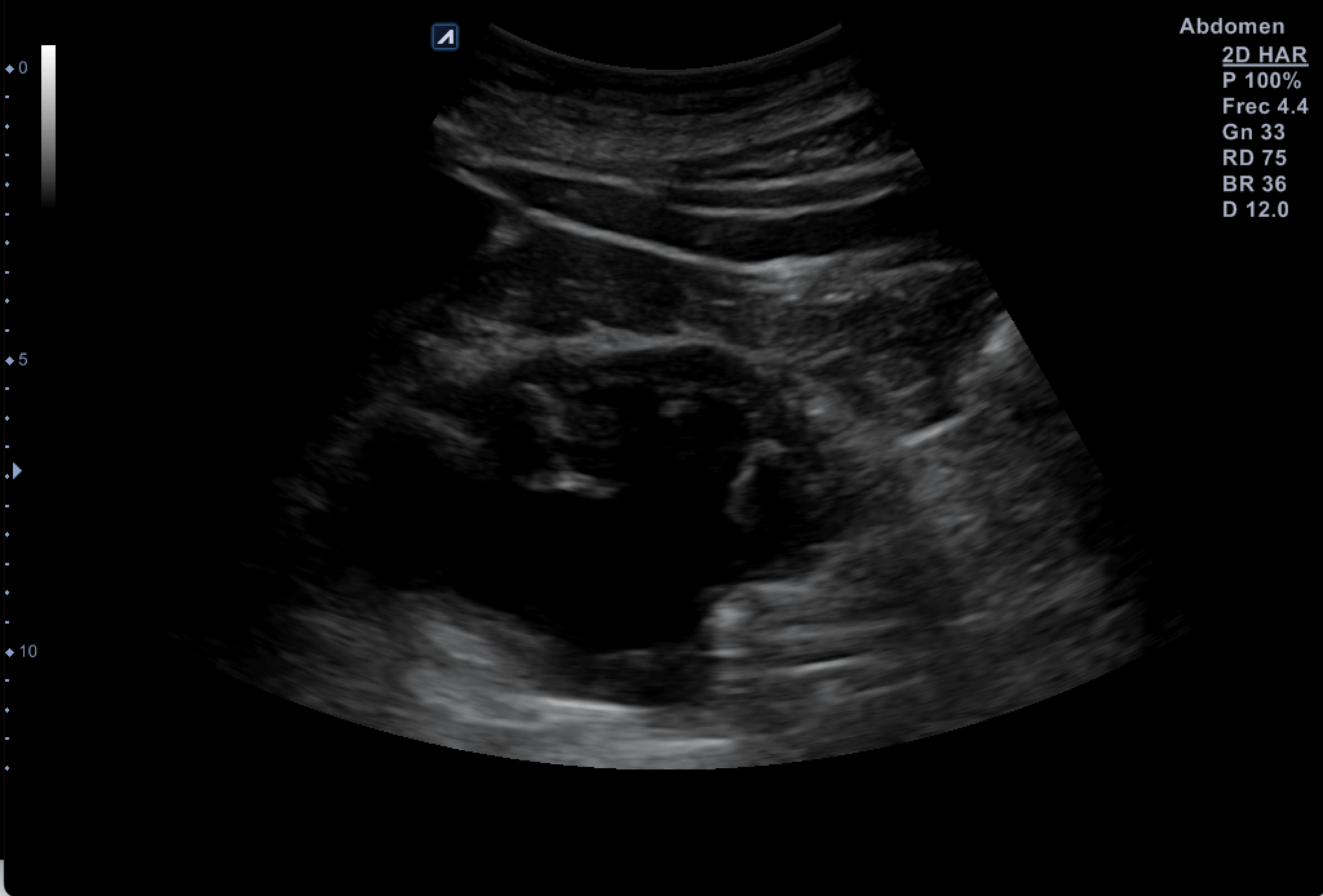
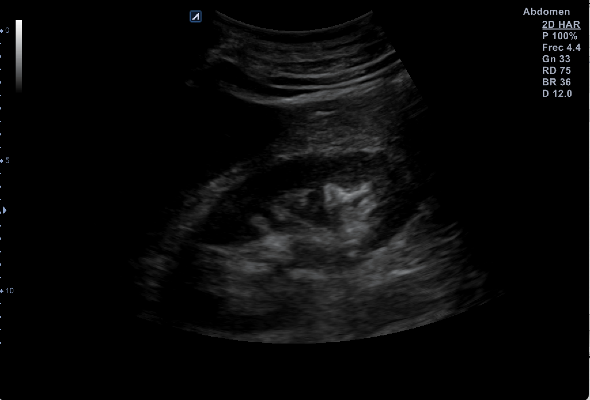
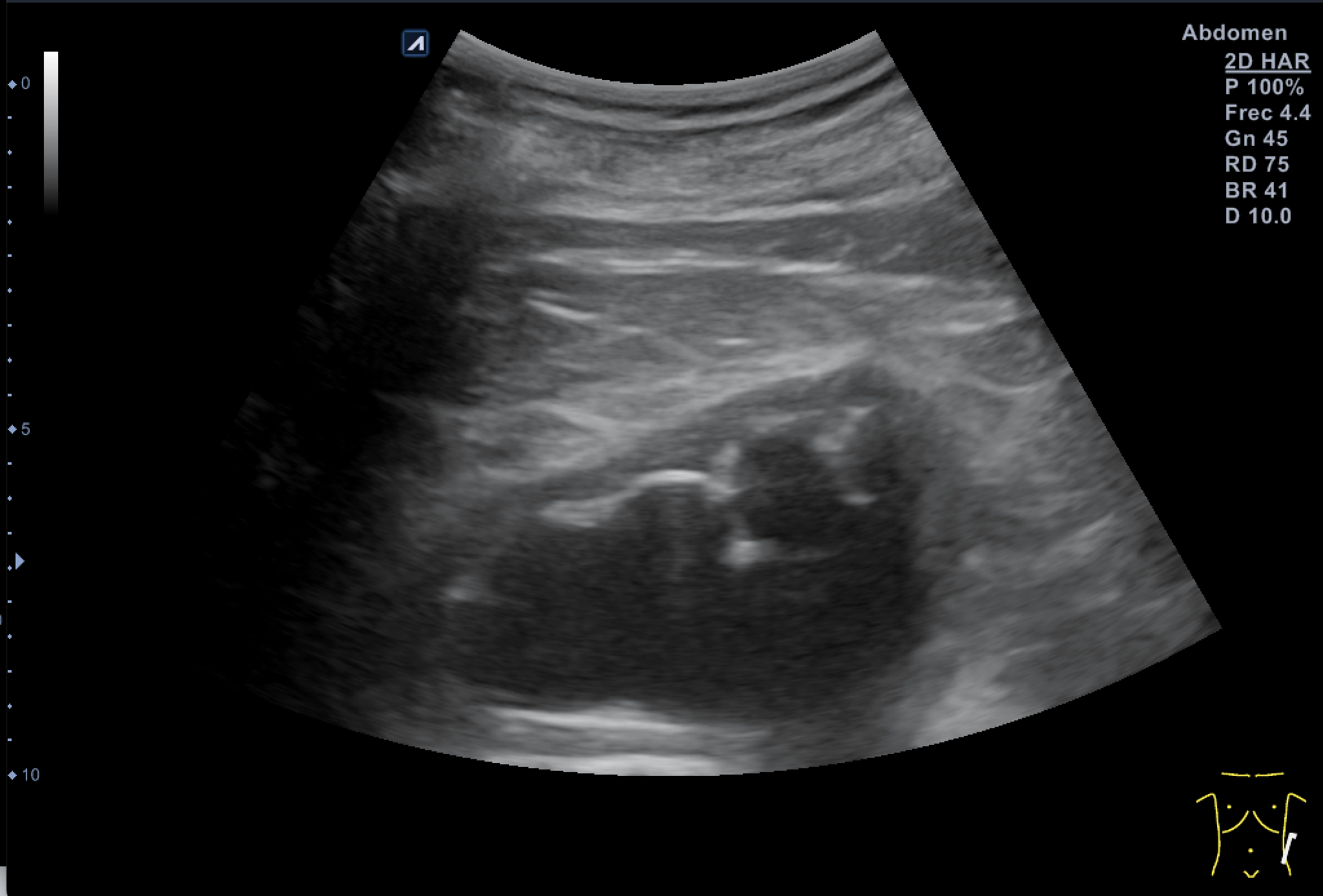
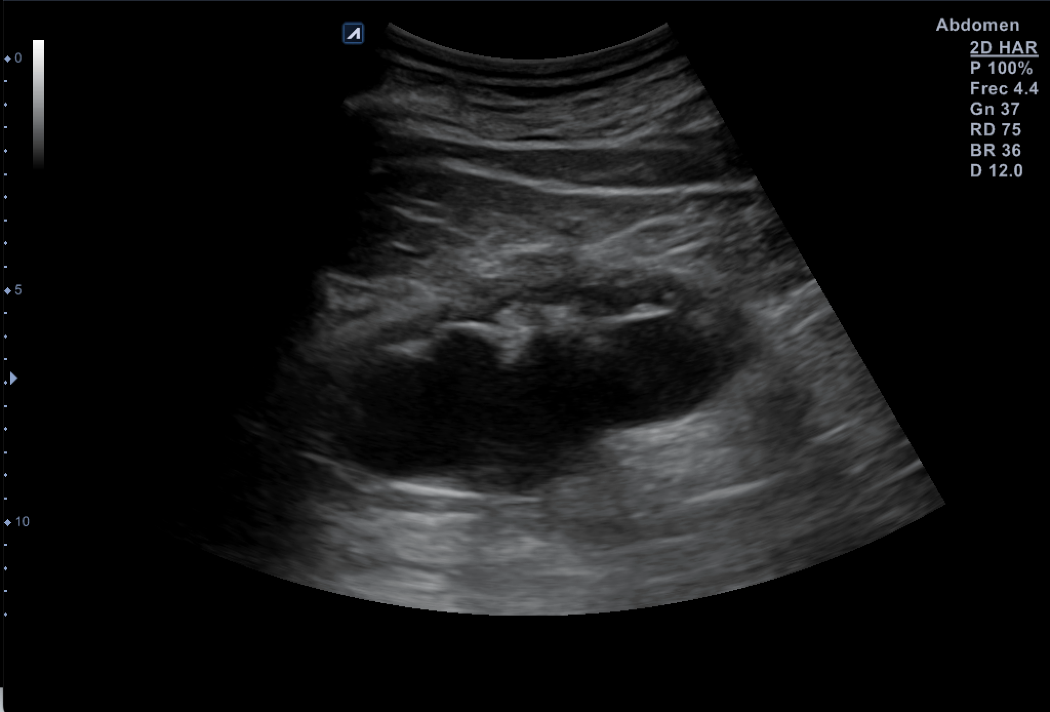
Tras valoración vesicoprostática con vejiga normal, jet vesicales visibles con próstata de 45 cc y residuo postmiccional mínimo. Riñón derecho como normal de tamaño y morfología sin dilataciones pielocaliciales (11 cm de tamaño). El Riñón Izquierdo (RI: 9 cm) presentaba una hidronefrosis grado IV y atrofia cortical con pelvis renal distendida, no consiguiendo detectar la causa obstructiva y considerando la posibilidad de una estenosis de la unión pieloureteral y como segunda opción una litiasis  ureteral pese a la normalidad de los jets vesicales.

Pruebas complementarias

Se realiza una derivación al servicio de urología
En el estudio Uro-TC se aprecia según informe hospitalario (radiodiagnóstico), que la arteria renal izquierda tiene una división precoz de sus ramas, dando una rama para el polo inferior que impresiona de ser la causa de la compresión etrinseca en la unión pielocalicial.
Siendo la conclusión: hallazgos compatibles con estenosis de la unión pieloureteral izquierda, probablemente secundaria a una rama arterial para el polo inferior

Juicio clínico, diagnóstico diferencial, identificación de problemas

Hidronefrosis del Riñón Izquierdo secundaria a estenosos de la unión pieloureteral por rama arterial.
Enfermedad Renal Crónica grado III, sin microalbuminuria.

Tratamiento y planes de actuación

El paciente sigue asintomático, y pese a no ser esta la etiología se ha mantenido el tratamiento por la mejora en los síntomas prostáticos y la buena tolerancia tras alcanzar dosis óptima.

Evolución

El paciente sigue asintomático en seguimiento por servicios de urología, la función renal se ha estabilizado manteniendo un filtrado estable en rango de 55 mL/min.

Conclusiones (y aplicabilidad para la Medicina de Familia)

La valoración de un paciente con enfermedad renal crónica desde atención primaria, requiere la inclusión en el protocolo de evaluación diagnostica la realización de una ecografía nefrourológica, esta es posible realizarla en Atención Primaria sin precisar otras valoraciones.
En el caso que presentamos, sí fueron necesarias otros estudios para filiar la etiología de los hallazgos obtenidos desde Atención Primaria.
 
 
 
 

Comunicaciones y ponencias semFYC: 2025; Comunicaciones: Casos clínicos. ISSN: 2339-9333

Autores

Blanquer Gregori, José F. Javier
CS San Blas. Alicante
López Oliver, María
Servicio de Urgencias Hospitalarias HGUA. Alicante
Obis Rodríguez, Diego
CS San Blas. Alicante