V Jornadas de Ecografía de la semFYC

9 y 10 de febrero de 2024

Comunicaciones: Casos clínicos

La ecografía en Atención Primaria en el diagnóstico precoz de neoplasias de mama en mujeres jóvenes. A propósito de 5 casos (póster)

Ámbito del caso

Atención Primaria

Motivos de consulta

Percepción de nódulo en mama

Historia clínica

Enfoque individual

Independientemente de las campañas institucionales de detección precoz del cáncer de mama, que suelen empezar a los 50 años, la cuestión surge con pacientes que consultan por síntomas incidentes, especialmente la percepción de nódulos mamarios palpables con o sin dolor. Más aún si se trata de pacientes jóvenes, no incluidas aún en el rango de edad de las campañas de detección precoz. En estos casos, establecer una presunción diagnóstica ecográfica desde las consultas de Atención Primaria e iniciar rápidamente los diagnósticos de confirmación pueden ser vitales para el pronóstico de estas mujeres. 

Además, dada la facilidad de realizar una ecografía de mama, que no exige preparación, si el estudio de un nódulo es negativo para cáncer (mastitis, quiste simple, fibroadenoma, adenopatías) podremos tranquilizar la comprensible ansiedad a la que está sometida la paciente por la incertidumbre de un diagnóstico de esta trascendencia.

Presentamos 5 casos de neoplasias mamarias en paciente jóvenes, que consultaron por un nódulo palpable en mama y fueron diagnosticadas por ecografía desde la consulta del Médico de Familia.

De edades comprendidas entre 34 y 43 años, una de ellas que presentaba otro nódulo ligeramente doloroso en axila; otra, la más joven, de 34 años, se encontraba dando lactancia en esos momentos.

Describimos las características de los casos: edad de la paciente, localización del nódulo, tamaño del tumor y su clasificación anatomopatológica.

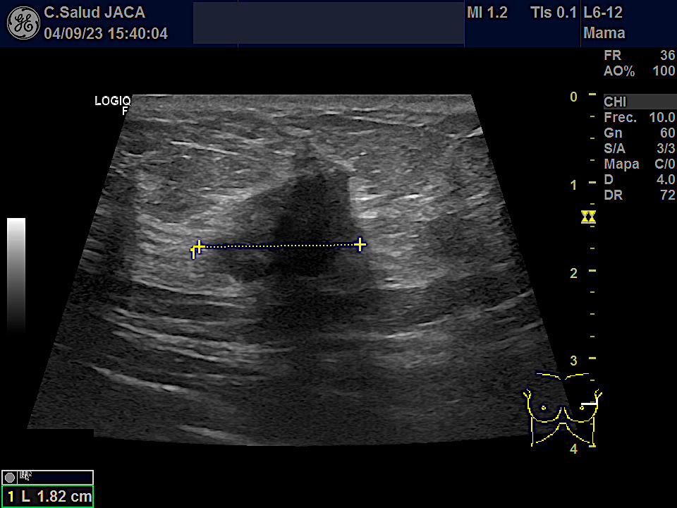
Hallazgos ecográficos

Mostramos las imágenes ecográficas de cada una de esas 5 neoplasias obtenidas desde la Atención Primaria, en modo 2D y tras estudio Doppler. Los tumores variaban de 8 a 30 mm en su eje mas largo. Salvo uno, el resto mostraba características típicas: bordes irregulares, espiculados, estructura hipoecogénica, actividad Doppler interna y ausencia de refuerzo posterior.

Juicio clínico, diagnóstico diferencial, identificación de problemas

Neoplasias de mama confirmadas anatomopatológicamente.

Evolución

Derivadas a Unidad Mamaria Especializada

Conclusiones (y aplicabilidad para la Medicina de Familia)

La accesibilidad de la consulta del médico de familia permite emplear la ecografía para realizar presunciones diagnósticas tempranas. En procesos como el cáncer de mama, cualquier demora en el diagnóstico tiene gran trascendencia pronóstica, aparte de la carga psicológica que se genera sobre la paciente por la incertidumbre durante la espera de pruebas complementarias del medio especializado.


Comunicaciones y ponencias semFYC: 2025; Comunicaciones: Casos clínicos. ISSN: 2339-9333

Autores

Marcos Perez, Carolina
CS de Jaca
Gabás Eito, Miriam
CS de Jaca
Lorente Aznar, Teofilo
CS de Jaca