Comunicaciones: Experiencias

La ecografía pulmonar, otro método para monitorizar diuréticos (Póster)

Objetivos de la experiencia

  • Reconocer aquellos pacientes que se pueden beneficiar de una ecografía clínica pulmonar, basándose en una correcta anamnesis y exploración clínica.
  • Reconocer aquellos patrones y explotaciones fundamentales que nos pueden ayudar a orientar el diagnóstico y el tratamiento adecuado.
  • Establecer un correcto tratamiento individualizado en función del caso.
  • Reevaluar a posteriori la eficacia del tratamiento utilizado. 
  • Comparar métodos ecográficos pulmonares con otras pruebas complementarias para valorar insuficiencia cardíaca descompensada.

Descripción de la experiencia

Aquellos pacientes que acuden a consulta de Atención Primaria con sospecha de insuficiencia cardíaca descompensada (disnea paroxística nocturna, ortopnea, aumento de su disnea basal, nicturia y edemas de miembros inferiores) que presenten una estabilidad clínica y hemodinámica, podrían ser candidatos para realizar un tratamiento domiciliario con seguimiento por Atención Primaria.

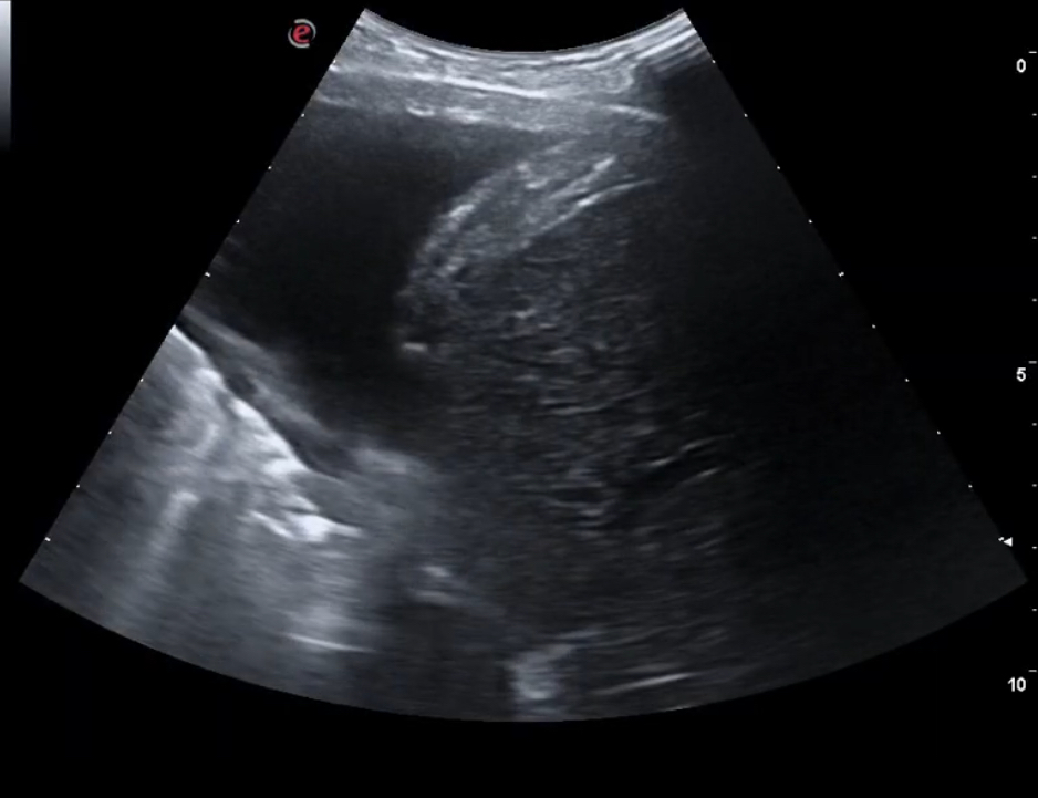
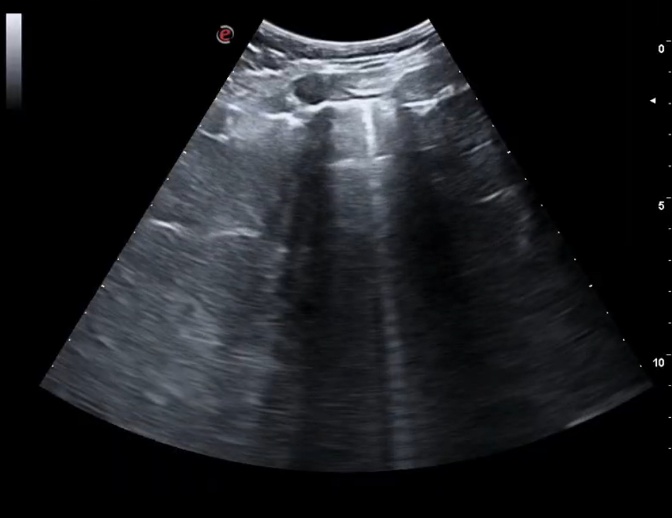
Para cuantificar el grado de insuficiencia cardíaca, además de la exploración cardiorrespiratoria y de miembros inferiores, la ecografía clínica pulmonar nos permitiría valorar, en los 18 campos, la presencia de líquido pleural, con la distorsión por aparición de mayor a tres líneas B, además de la valoración de líquido en senos costofrénicos. 

Al iniciar el proceso, se recomienda la utilización de la ecografía pulmonar, además de extraer un péptido atrial natriurético y el Ca125; y la realización de un electrocardiograma para valorar sobrecarga vascular.

Empezaríamos aumentando la dosis de diuréticos, cada 24-12-8 horas, incluso duplicando dosis. Posteriormente, se irá desescalando el tratamiento diurético, planteándonos la implantación de la aldosterona 0-100 cómo ahorrador de diuréticos.

Conclusiones

La ecografía pulmonar nos evita utilizar técnicas más invasivas y los ingresos tardíos hospitalarios para un control de la insuficiencia cardíaca, que se puede controlar en Atención Primaria utilizando el tratamiento adecuado precoz, y monitorizando la evolución con la ecografía.

Aplicabilidad

Cada vez más centros disponen de ecografía, pero para ello necesitamos formación para los profesionales y la presencia de un ecógrafo en el centro, así como la adaptación de la consulta en tiempo para poder realizarla.

 


Comunicaciones y ponencias semFYC: 2025; Comunicaciones: Experiencias. ISSN: 2339-9333

Autores

Martínez Ruiz, Jesús María
Ronda Histórica. Sevilla
Rodriguez Hidalgo, Antonio Jesus
Ronda Histórica. Sevilla