V Jornadas de Ecografía de la semFYC

9 y 10 de febrero de 2024

Comunicaciones: Casos clínicos

La ecografía que cambió una maratón por una carrera contra el cáncer (póster)

Ámbito del caso

Servicios de Urgencias

Motivos de consulta

Dolor lumbar derecho de una semana de evolución.

Historia clínica

Enfoque individual

Varón de 55 años que acude a urgencias por cuadro de dolor lumbar derecho de una semana de evolución. Afirma que ha realizado un sobreesfuerzo físico previo porque se está preparando una maratón, solicita medicación analgésica para continuar los entrenamientos. Al completar la anamnesis el dolor no impresiona de características mecánicas, y en la exploración física no se observa ningún hallazgo significativo. Ante la incertidumbre generada por la incongruencia existente entre la clínica y la exploración física, se decide realizar una ecografía clínica que resulta esclarecedora.

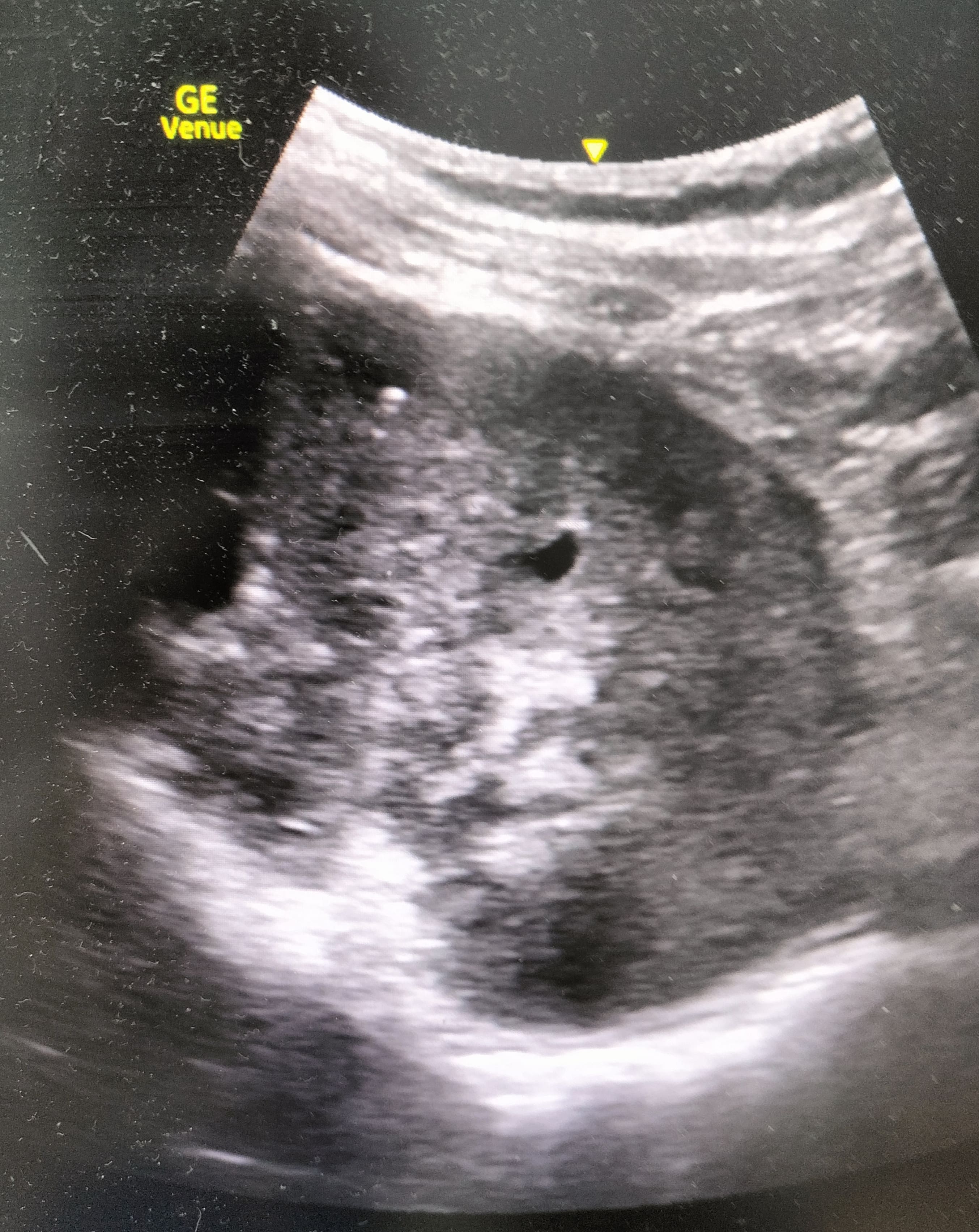
Hallazgos ecográficos

La realización de la técnica muestra riñón derecho aumentado de tamaño y una imagen compatible con una masa renal derecha con pérdida de la diferenciación cortico-medular. En contraposición se observa una silueta renal contralateral sin alteraciones.

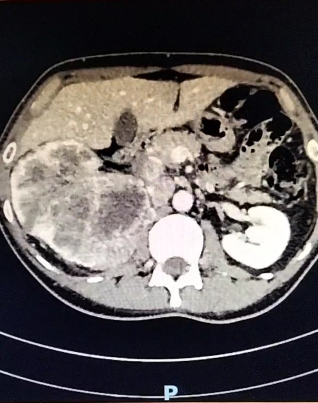
Pruebas complementarias

En la analítica sanguínea se destaca deterioro de la función renal y la analítica de orina señala la presencia de hematuria. Se comenta el paciente con el Servicio de Radiología y se consensúa realización de TAC tóraco-abdominal, donde se objetiva una neoplasia renal derecha que infiltra arteria y venas principales, con trombosis de la cava desde el hilio renal hasta la porción intrahepática así como adenopatías retroperitoneales.

Juicio clínico, diagnóstico diferencial, identificación de problemas

Neoplasia renal derecha.

Tratamiento y planes de actuación

Se explica al paciente y a su acompañante la situación clínica actual. Se ingresa al paciente para inicio de anticoagulación y estudio de extensión; no se observan otras lesiones sospechosas de malignidad en ninguna de las pruebas. 

Evolución

Ante la ausencia de metástasis se realiza nefrectomía radical derecha con trombectomía de vena cava. El postoperatorio evoluciona favorablemente y sin incidencias.

Conclusiones (y aplicabilidad para la Medicina de Familia)

Este caso evidencia el potencial de la ecografía clínica, cómo su aplicación puede ser determinante en la práctica asistencial. Su uso permitió la identificación precoz de un proceso oncológico silente, y de esta forma cambiar el curso de la enfermedad. Esta técnica evita cometer errores diagnósticos, y ayuda a elegir en momentos de incertidumbre el mejor plan de actuación.
 
 

Comunicaciones y ponencias semFYC: 2025; Comunicaciones: Casos clínicos. ISSN: 2339-9333

Autores

Vázquez Santiago, Sonia
CS Justicia. Madrid.
Bach Álvarez, Blanca
CS Segovia. Madrid
Vaquero de Julián, Elisa
CS Justicia. Madrid