Comunicaciones: Casos clínicos

Líneas E... ¿Las vemos? Enfisema subcutáneo por fractura costal (Póster)

Ámbito del caso (Atención Primaria, servicios de Urgencias o atención domiciliaria)

Atención Primaria.

Motivos de consulta

Dolor costal y disnea.

Historia clínica

Antecedentes personales relevantes, anamnesis, exploración física y lugar que ocupa en ella la ecografía

Hombre de de 68 años de edad extabaquismo, hipertensión, dislipemia, prediabetes, lumbalgia con espondilolistesis, neoplasia vesical intervenida y ACV subagudo. En tratamiento con Enalapril, AAS, Atorvastatina 20, Tramadol.

15 días atrás caída con dolor costal posterior valorado en privada con estudio Rx y analgesia. Dada la no mejoría el paciente acude a consulta, el médico que lo valora detecta signos de enfisema en Rx.

BEG, TA: 124/73 mmHg; FC: 66 lpm; FR: 24 rpm; Tª: 36,2 ºC; SatO2: 96% aa.
Sin soplos.

Diminución de murmullo vesicular campos izquierdos. Crepitantes base izquierda, resto Murmullo vesicular conservado.

Dolor a la palpación parrilla costal izquierda con crepitación subcutánea desde homóplato izquierdo hasta últimas costillas.

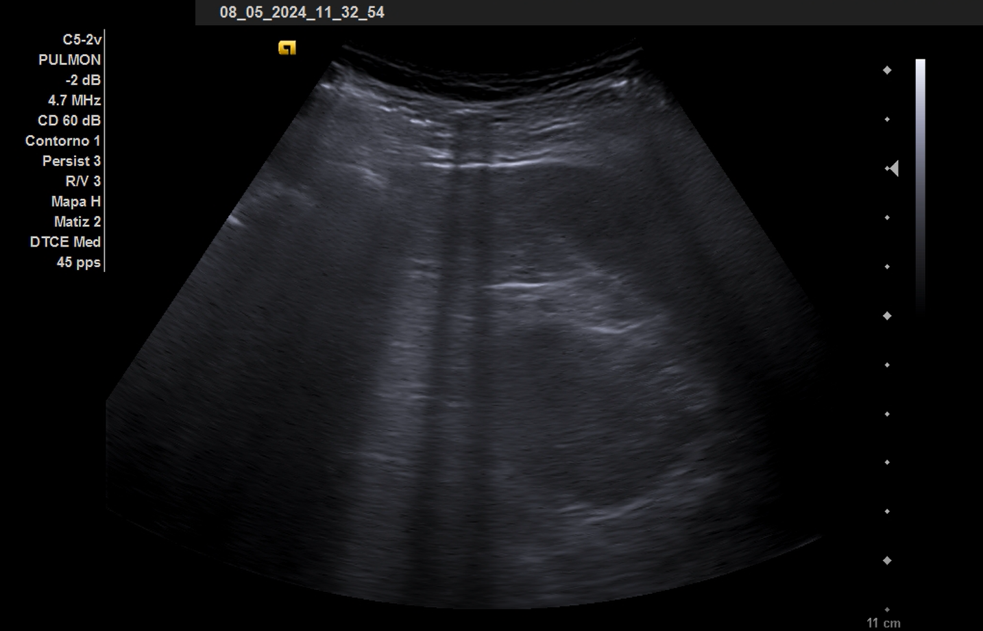
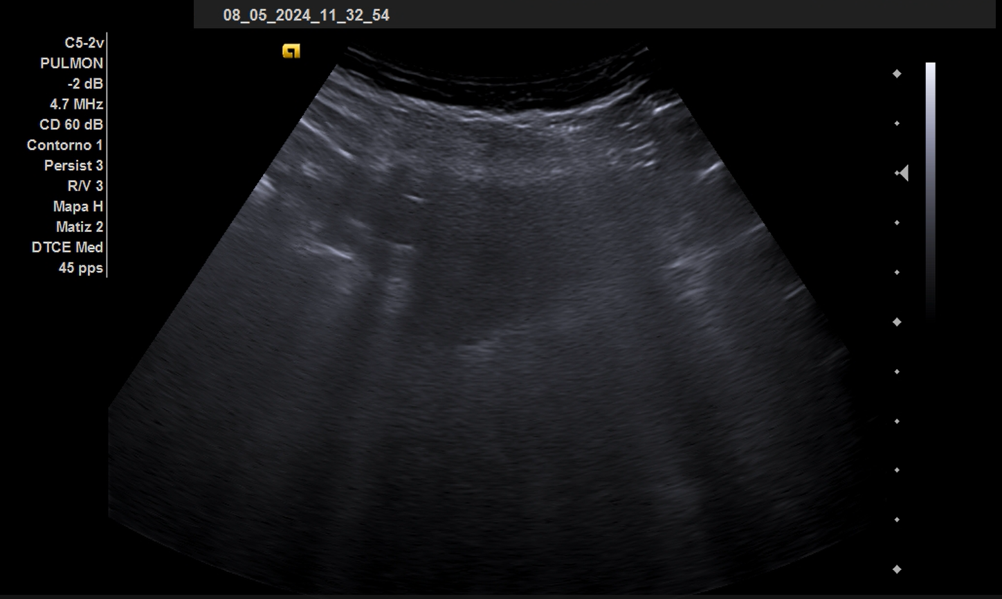
Descripción de los hallazgos ecográficos y las imágenes más relevantes para la resolución del caso

La ecografía pulmonar se ha realizado en el seguimiento.

Otras pruebas complementarias realizadas (si existen)

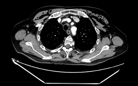
Rx Tórax: múltiples fracturas costales con pinzamiento seno costrofrénico izquierdo.
TAC Tórax: fracturas costales 8ª a 11ª, 2 con desplazamiento.

Juicio clínico, diagnóstico diferencial, concordancia con el hospital (en su caso)

Caída con probable Fractura Costal con Enfisema subcutáneo.
La anamnesis y exploración son la base de la atención al paciente. Resulta fundamental repasar siempre las pruebas complementarias aportadas y la reevaluación si pertoca. Un dolor muscular debe diferenciarse de una fisura/fractura costal y atentos siempre a la posibilidad de complicaciones como el neumotórax y el enfisema cutaneo que aunque sean poco habituales.

Decisiones adoptadas: tratamiento, planes de actuación

Remitido a urgencias hospitalarias con orientación diagnóstica de caída con dolor costal con probable fractura costal y enfisema cutáneo.

Evolución y seguimiento

Se confirman laos hallazgos tanto por Rx como TAC Tórax: Fracturas costales izquierdas de 8ª a 11ª con leve neumotórax anteroizquierdo con Atelectasia laminar y opacidades subpleurales izquierdas con Enfisema subcutáneo. Buena evolución posterior con controles periódicos en C.S. con Ecografía Pulmonar.

Conclusiones y aplicabilidad para la medicina de familia

El abordaje clínico es la base de la atención al paciente. Como complemento a la exploración física se debe practicar una ecografía, en este caso pulmonar donde se visualizan Líneas E, que se inician desde piel a diferencia de las líneas B que se inician desde línea pleural. En el caso en cuestión la ecografía ha complementado el seguimiento desapareciendo dichos hallazgos al mes.

 


Comunicaciones y ponencias semFYC: 2025; Comunicaciones: Casos clínicos. ISSN: 2339-9333

Autores

Cabezas Valladar, Esteban
CS Martí Serra. Marratxí
Roca Pujol, Jaime
CS Martí Serra. Marratxí
San Juan Almenara, Mar
CS La Laguna Mercedes. San Cristobal de La Laguna. Santa Cruz de Tenerife