Comunicaciones: Casos clínicos

Litiasis renal obstructiva, la paradoja del cólico nefrítico (Póster)

Ámbito del caso (Atención Primaria, servicios de Urgencias o atención domiciliaria)

Servicio de Urgencias de Atención Primaria y Hospitalaria.

Motivos de consulta

Cólico renal resistente a analgesia.

Historia clínica

Enfoque individual: antecedentes personales, anamnesis, exploración, pruebas complementarias, etc.

Mujer de 57 años de edad sin alergias medicamentosas conocidas con antecedente de hipertensión arterial tratada con olmesartán 20 mg diario y litiasis renales ya valoradas en consultas previas que acude al Servicio de urgencias de su Centro de Salud con asiduidad por cuadro de dolor en fosa renal derecha y náuseas de dos meses de evolución que no mejoran con tratamiento analgésico pautado.

A la valoración inicial presenta buen estado general, con abdomen blando y depresible sin datos de peritonismo pero con puño-percusión renal derecha positiva. Tras administrar, como en otras ocasiones, analgesia hasta de tercer escalón sin presentar mejoría clínica, se decide derivación a urgencias hospitalarias para valoración.

Ya en urgencias hospitalarias, se realiza ecografía clínica donde se aprecia ureterohidronefrosis derecha grado IV con pérdida completa de ecoestructura renal por el incremento del volumen que presenta, no presentando las mismas alteraciones en el lado izquierdo, pudiendo esto indicar una obstrucción completa no resuelta.

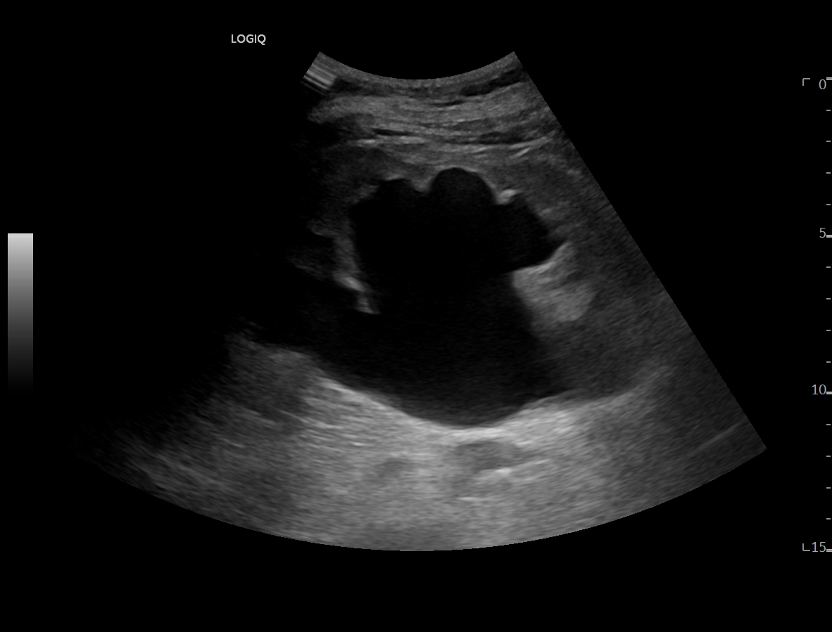
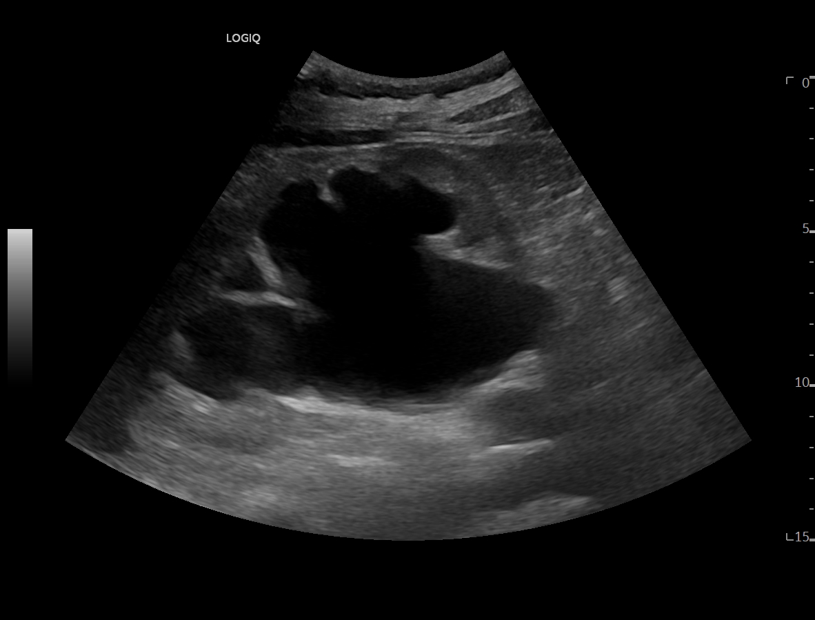
La ecografía clínica reglada informa de dilatación de pelvis renal de hasta 5,7 cm con aumento de tamaño renal hasta 13 cm, apreciando litiasis obstructiva de 12 mm en uréter distal a unos 5 cm del meato ureteral derecho.

La analítica muestra datos de insuficiencia renal con elevación de creatinina y urea, secundarias al proceso obstructivo.

Enfoque familiar y comunitario: estudio de la familia y la comunidad (si fuese necesario)

La paciente no cuenta con antecedentes familiares de interés.

Juicio clínico, diagnóstico diferencial, identificación de problemas

Se trata de un cólico nefrítico con litiasis obstructiva como causante del cuadro de dolor que la paciente presentaba y que no iba a poder autoresolverse.

Tratamiento y planes de actuación.

Se contacta con Servicio de Urología, donde se realiza nefrostomía derecha de descarga por el gran compromiso que la litiasis estaba produciendo.

Evolución

Clara mejoría del dolor así como de los valores analíticos.

Conclusiones y aplicabilidad para la medicina de familia

El cólico nefrítico es la manifestación de dolor a nivel de fosa renal secundario a una litiasis renal, pero esto puede ser obstructivo o no y en ocasiones hay que valorar la posibilidad de cuadro obstructivo con hidronefrosis.

 


Comunicaciones y ponencias semFYC: 2025; Comunicaciones: Casos clínicos. ISSN: 2339-9333

Autores

Tena Santana, Gonzalo
CS Valverde del Camino. Huelva
Linares Canalejo, Anaís María
CS de Isla Chica. Huelva
Bermejo Velez, Maria
CS Valverde del Camino. Huelva