Comunicaciones: Casos clínicos

Lo que no arregle una ducha caliente (Póster)

Ámbito del caso (Atención Primaria, servicios de Urgencias o atención domiciliaria)

Servicio de urgencias.

Motivos de consulta

Dolor abdominal y vómitos.

Historia clínica

Enfoque individual: antecedentes personales, anamnesis, exploración, pruebas complementarias, etc.

Paciente de 22 años que acude a urgencias por dolor epigástrico matutino muy intenso, asociado a náuseas y vómitos incoercibles. No relación con la comida, ni con proceso infeccioso. Reconoce múltiples episodios similares desde hace meses que autolimitados tras ducharse y relajarse.

No presenta antecedentes de interés. Como hábitos tóxicos, consumo de alcohol los fines de semana y consumo diario de cannabis desde los 16 años.

A la exploración paciente consciente y orientado, hemodinámicamente estable, afebril, regular estado general, afectado por el dolor, con coloración cetrina y normoperfundido.

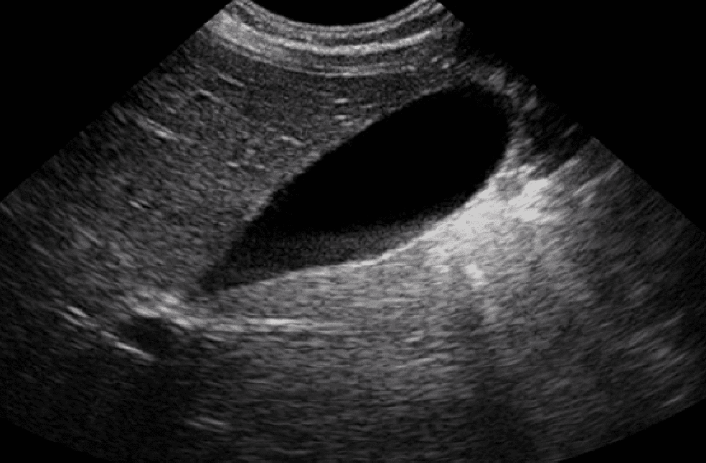
Auscultación rítmica sin soplos y con buena ventilación bilateral. Abdomen blando y depresible con dolor a la palpación en epigastrio sin peritonismo, ruidos presentes. Resto de la exploración por aparatos anodina. Se realiza una ecografía clínica abdominal sin alteraciones.

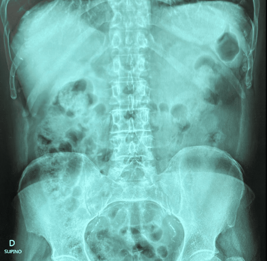
Como pruebas complementarias se realiza ECG con ritmo sinusal, una analítica de sangre con perfil hepatopancreático y TNT normales, y una gasometría donde destacan acidosis e hiperlactacidemia. Como prueba de imagen se realizan radiografía de abdomen sin otras alteraciones.

Se pauta omeprazol, paracetamol, metamizol y metoclopramida intravenosos (iv) con escasa mejoría de la clínica.

Juicio clínico, diagnóstico diferencial, identificación de problemas

Tras evolución clínica tórpida con pruebas anodinas salvo las gasométricas, se realiza diagnóstico diferencial con procesos infecciosos y patología hepatobiliar, sospechando un síndrome de hiperémesis cannabinoide.

Tratamiento y planes de actuación.

Se pauta diazepam iv y se acompaña al paciente a ducharse con agua caliente, con mejoría significativa de la clínica y del estado general.

Evolución

Tras varias horas estable en observación, se decide alta con control por su médico de atención primaria y se insiste en la importancia del abandono de consumo de tóxicos e instituciones a las que puede acudir solicitando ayuda y acompañamiento.

Conclusiones y aplicabilidad para la medicina de familia

Como conclusiones me gustaría recalcar la importancia de preguntar siempre en la anamnesis por los hábitos tóxicos y hacer comprender a los pacientes que lo que asumen como “consumo normal” suele ser un consumo abusivo.

Por último, destacar la vital importancia de una buena comunicación urgencias – atención primaria, porque muchos casos se detectan en urgencias, pero precisan de seguimiento en otros niveles asistenciales, mejorando así la calidad asistencial de los pacientes.

 


Comunicaciones y ponencias semFYC: 2025; Comunicaciones: Casos clínicos. ISSN: 2339-9333

Autores

Ramos García, Alba María
Urgencias Hospital Comarcal Bidasoa. Hondarribia, Gipuzkoa
Gomez Amiano, Garazi
Urgencias Hospital Comarcal Bidasoa. Hondarribia, Gipuzkoa
Estonba Cruz, Garazi
Urgencias Hospital Comarcal Bidasoa. Hondarribia, Gipuzkoa