V Jornadas de Ecografía de la semFYC

9 y 10 de febrero de 2024

Comunicaciones: Casos clínicos

Lo que parecía una infección de orina (oral)

Ámbito del caso

Atención Primaria

Motivos de consulta

Varon de 73 años que acude a consulta por disuria de 4 días de evolución.

Historia clínica

Enfoque individual

Varón de 73 años, no hábitos tóxicos, HTA en tratamiento con lisinopril/hidroclortiazida bien controlado. Acude contando desde hace 4 días disuria sin tenesmo vesical, sin dolor abdominal ni fiebre. Exploración física sin hallazgos de interés. Realizamos tira reactiva donde presenta microhematuria, leucocituria sin nitritos. Realizamos urocultivo donde crecen > 100.000 ufc E. Coli. Dados los hallazgos pautamos tratamiento antibiótico y le citamos para realizar una ecografía y así completar estudio.

Hallazgos ecográficos

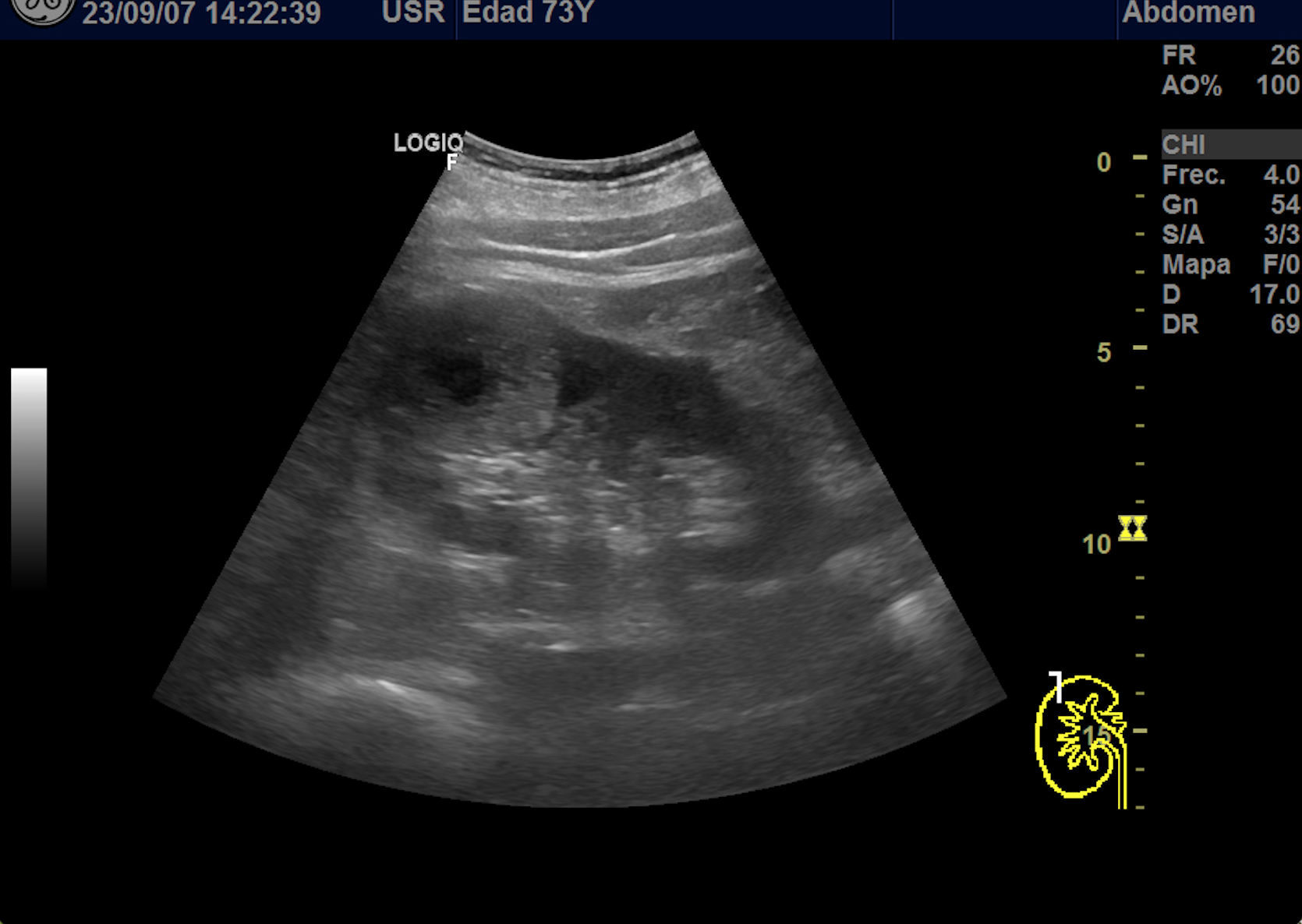
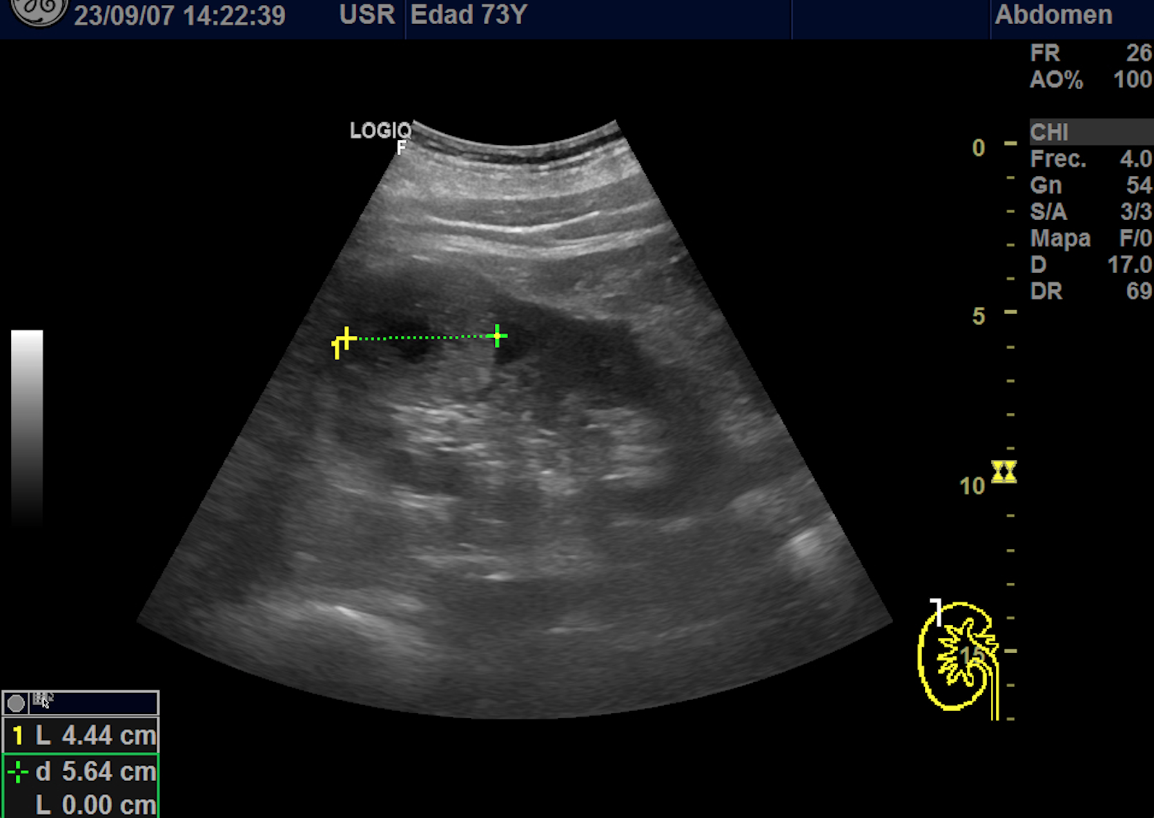
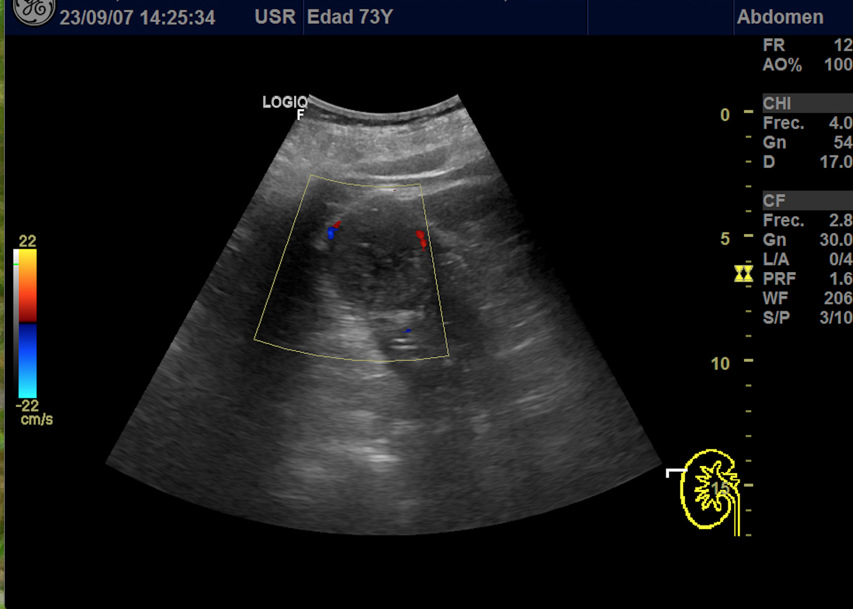
En polo superior de riñón derecho se observa una imagen redondeada, bien delimitada, isoecoica con un área central hipoecoica con vascularización periférica y central de 4,1 x 4,18 x 4,94 cm.
Riñon izquierdo sin hallazgos.

Pruebas complementarias

Urocultivo tras el tratamiento negativo.

Juicio clínico, diagnóstico diferencial, identificación de problemas

Dado el hallazgo de una masa renal se deriva a urología por el circuito de sospecha de malignidad.
Se le realiza un TAC abdomino-pélvico donde se observa a nivel de valva posterior del meso riñón derecho se observa una masa sólida de 5,1 x 4,9 x 5 cm compatible con proceso neoformativo, la lesión es exofítica de contornos bien definidos, tras contraste IV muestra un realce hipervascular con área central hipocaptante probablemente en relación con necrosis. Resto de estudio de extensión negativo.

Tratamiento y planes de actuación

Se realiza nefrectomia radical laparoscópica a las pocas semanas del diagnóstico.

Evolución

Anatomía patológica del riñon: carcinoma renal de celulas claras de 4 cm unifocal. Grado histológico (WHO/ISIP): G2, limitado al riñón.

Conclusiones (y aplicabilidad para la Medicina de Familia)

La ecografía es uno de los metodos de elección para el diagnóstico de masas renales.
Disponer de esta herramienta para la medicina de familia puede suponer, como en el caso que nos ocupa, realizar una orientación diagnóstica ágil que suponga mejorar el pronóstico de nuestros pacientes.
 
 
 
 

Comunicaciones y ponencias semFYC: 2025; Comunicaciones: Casos clínicos. ISSN: 2339-9333

Autores

Rubio Mancha, Irene
CS Puerta Bonita. Madrid
Batista Cavrois, Alba
CS Puerta Bonita. Madrid
Gonzalez Fernandez, Cristina
CS Puerta Bonita. Madrid