X Jornadas de Actualización en Medicina de Urgencias y VI Jornadas de Ecografía de la semFYC
6-7-8 de febrero de 2025
Antecedentes personales relevantes, anamnesis, exploración física y lugar que ocupa en ella la ecografía
Mujer, 55 años, sin antecedentes, tratamientos ni alergias. Acude por fiebre vespertina (38,5 ºC), de 7 días y astenia, sin otra clínica. Infección respiratoria de vías altas una semana previa.
Tensión 101/68 mmHg, frecuencia cardíaca 107 lpm, Saturación 99%. A la exploración dolor a la palpación cervical anterior, aumento de tiroides (predominio lóbulo derecho). Resto normal.
Se decide realizar ecografía de cuello ante fiebre sin otro foco, dado dolor cervical anterior, para estudio de posible origen tiroideo.
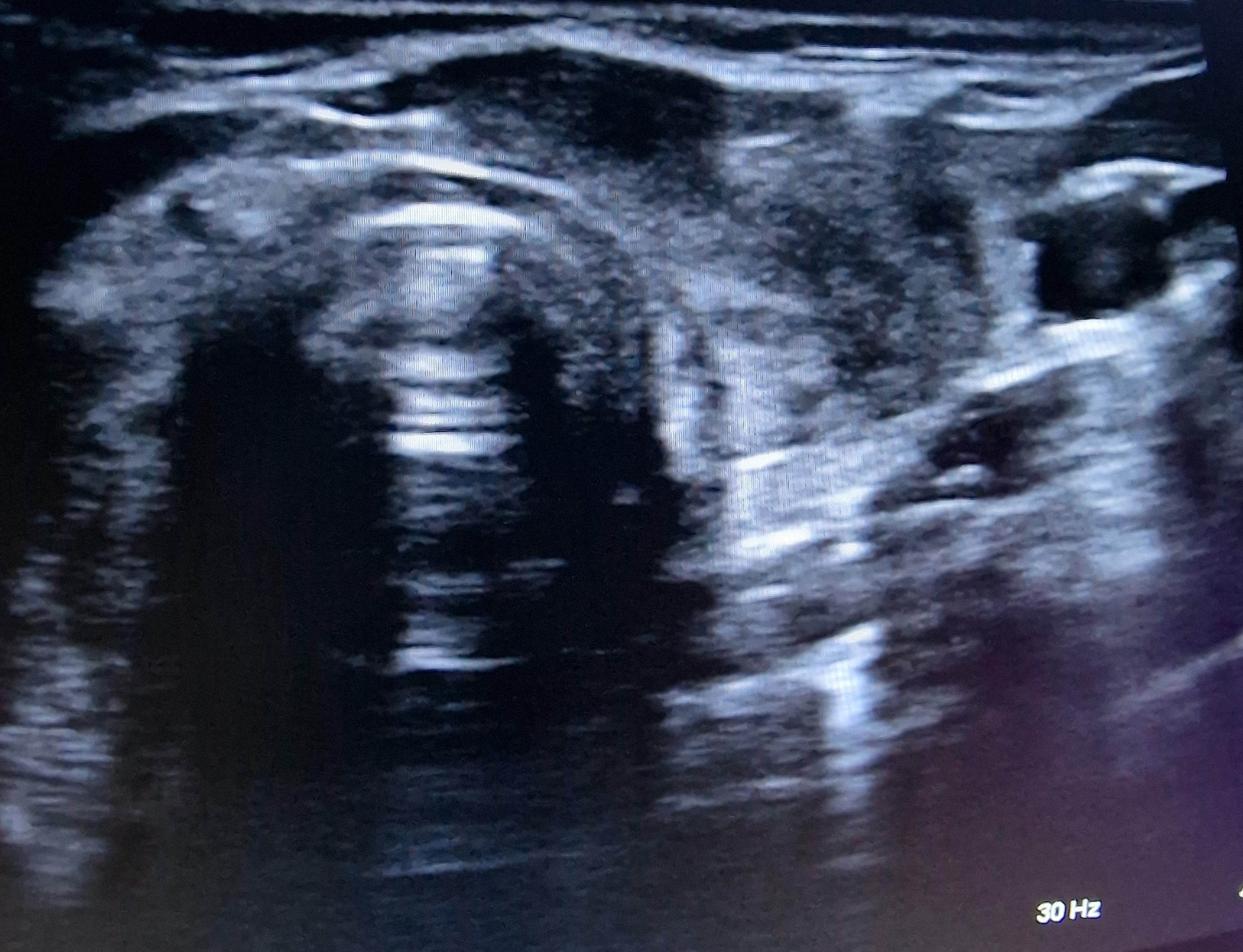
Descripción de los hallazgos ecográficos y las imágenes más relevantes para la resolución del caso
Ecografía cervical: tiroides de ecogenicidad heterogénea con áreas hipoecogénicas y ausencia de vascularización de éstas, Lóbulo Tiroideo Derecho 20 x 14 mm con nódulo < 10 mm no maligno e izquierdo 16 x 12 mm.
Otras pruebas complementarias realizadas (si existen)
Analítica: Hb 10,2, Ferropenia16, IST7%, ferritina400, PCR12, VSG118, TSH suprimida0.02, T3-T4 en rango (3,8–1,4).
Analítica de control un mes después: Hb 12,5, IST 28%, ferritina 218, PCR 0,4, VSG8, TSH 3,27, T3-T4 en rango (1,01–2,4).
Tira de orina y sangre oculta en heces: negativas.
ECG: normal.
Juicio clínico, diagnóstico diferencial, concordancia con el hospital (en su caso)
Tiroiditis subaguda De Quervain.
El diagnóstico diferencial se realizará con procesos infecciosos de vías respiratorias altas, con tiroidopatías con hipertiroidismo y ecogenicidad disminuida (enfermedad de Graves, patrón hipervascular; tiroiditis supurativa aguda), carcinoma tiroideo, hemorragia de nódulo tiroideo.
Se derivó a la paciente a endocrinología, confirmando el diagnóstico, siendo dada de alta tras desaparición sintomática y normalización analítica. Realizando un seguimiento conjunto con ellos en todo el proceso de la patología.
Decisiones adoptadas: tratamiento, planes de actuación
Inicialmente se pautó Dexketoprofeno 25 mg/8 horas, pero la paciente acude 24 horas después por no mejoría, se cambia a Ácido acetilsalicílico, remitiendo la fiebre. Acude 15 días después por reaparición de la fiebre, iniciando Prednisona oral a 1 mg/kg/día en pauta descendente, 4 semanas.
Evolución y seguimiento
Tras corticoterapia oral, presenta resolución de la clínica, normalizando hormonas tiroideas y reactantes de fase aguda en analítica de control, sin reaparición sintomática.
Ante cuadro de fiebre sin foco es importante un adecuado diagnóstico diferencial e historia clínica. Este tipo de tiroiditis es la causa más frecuente de dolor tiroideo, más frecuente en mujeres; de etiología desconocida, aunque frecuentemente aparece tras infección vírica de vías respiratorias altas. La ecografía es la prueba de imagen de elección para diagnosticarla, remarcando por tanto la utilidad de ella para el diagnóstico de patología sin sintomatología florida.


