V Jornadas de Ecografía de la semFYC

9 y 10 de febrero de 2024

Comunicaciones: Casos clínicos

Masa abdominal gigante: a propósito de un caso (póster)

Ámbito del caso

Atención Primaria

Motivos de consulta

Distensión abdominal

Historia clínica

Enfoque individual

Paciente mujer de 40 años con antecedente familiar de tía materna con cáncer de ovario, que consulta por distensión abdominal desde hace 1 semana. Pérdida de 5 Kg en 3 meses, hiporexia y astenia. No alteraciones menstruales.
Exploración física: Abdomen: Difícilmente depresible a la palpación con presencia de masa que ocupa todo el abdomen, levemente doloroso en flanco derecho. No signos de irritación peritoneal.

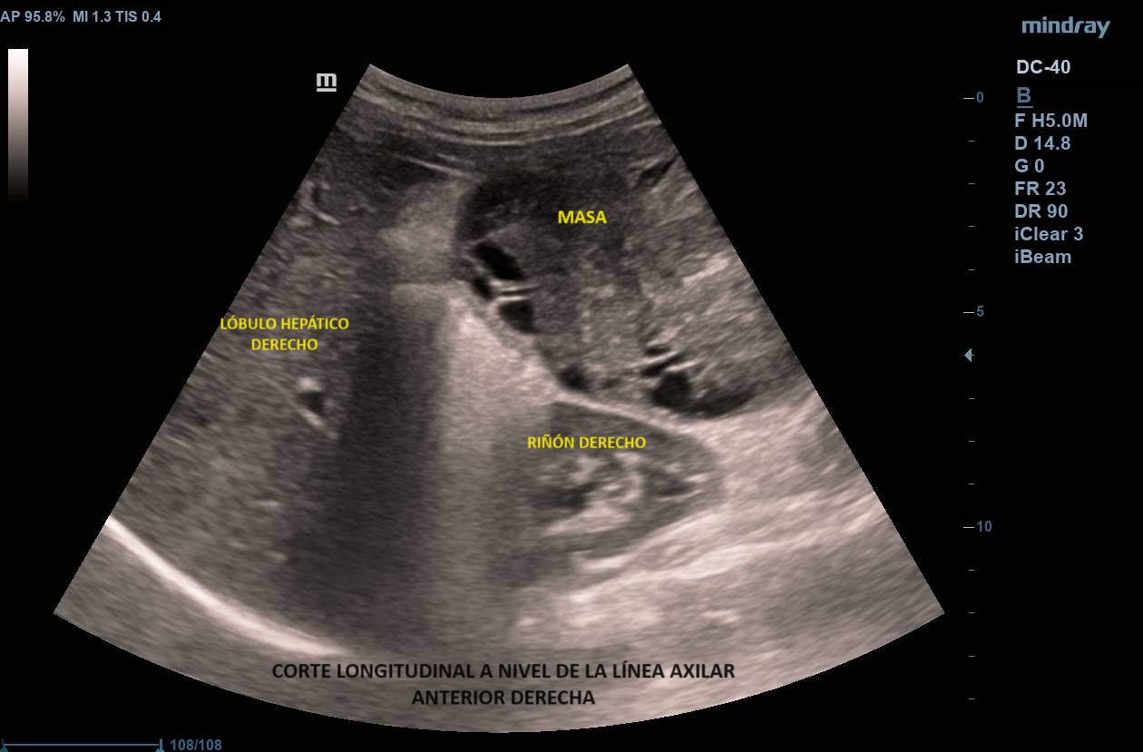
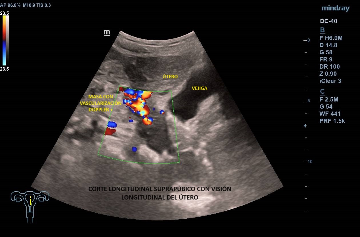
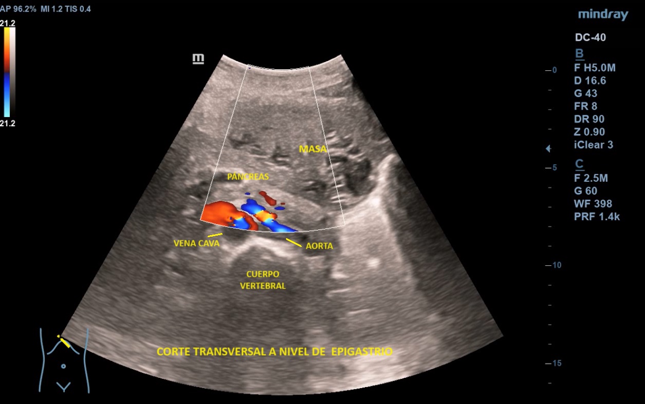
Hallazgos ecográficos

Ecografía abdominal clínica: Masa heterogénea que ocupa todo el abdomen, de aspecto sólido, vascularizada con zonas hipoecoicas-anecoicas en su interior. Riñones con eco-estructura sin alteraciones, hígado sin LOES. Vejiga sin engrosamiento de paredes, útero parcialmente visible. Anejos y retroperitoneo no valorables. No líquido libre.

Pruebas complementarias

Se deriva a urgencias donde realizan ecografía transvaginal confirmando presencia de masa que parece depender de anejo derecho. Solicitan TAC toraco-abdomino-pélvico objetivando «masa abdominal gigante de dudosa dependencia ovárica, no pudiendo descartar liposarcoma abdominal». Citan a la paciente para RM donde se demuestra contacto pero no dependencia de masa abdominal, probable liposarcoma, de anejo derecho, de características normales. Analítica con marcadores tumorales sin alteraciones.

Juicio clínico, diagnóstico diferencial, identificación de problemas

Leiomioma uterino subseroso con degeneración quística.

Diagnóstico diferencial: causas benignas (leiomioma uterino, adenomioma uterino, gestación…) y malignas (sarcoma uterino, carcinoma de endometrio, carcinoma de ovario, metástasis…).

Tratamiento y planes de actuación

Al presentar el caso en comité de tumores, deciden laparotomía exploradora con histerectomía total y salpinguectomía bilateral. 

Evolución

Tras los resultados de anatomía patológica con ausencia de malignidad, dan alta sin precisar seguimiento.

Conclusiones (y aplicabilidad para la Medicina de Familia)

Los leiomiomas uterinos son el tumor más frecuente de pelvis en la mujer. La ecografía es la primera línea de estudio. Habitualmente s

e describen como masas bien delimitadas redondeadas hipoecoicas con sombra acústica, aunque también pueden tener áreas isoecoicas e hiperecoicas. Pueden presentar necrosis central (áreas anecoicas) o calcificaciones, sin implicar malignización. El Doppler-color suele mostrar una distribución irregular de los vasos. El diagnóstico definitivo es el anatomo-patológico.

En nuestra paciente, el rápido crecimiento orientó a que pudiese tener un origen maligno, sin embargo, la mayoría de mujeres premenopáusicas con una masa de rápido crecimiento no tienen un sarcoma. En este caso, la realización de la ecografía en el centro de salud permitió una rápida derivación mostrando concordancia con los hallazgos hospitalarios.


Comunicaciones y ponencias semFYC: 2025; Comunicaciones: Casos clínicos. ISSN: 2339-9333

Autores

Sotelo Kesti, Natalia
CS Cerro del Aire. Majadahonda
Minguela Puras, Esther
CS Valle de la Oliva. Majadahonda
López Garzón, Elena
Hospital El Escorial