Masa abdominal (oral)
Ámbito del caso
Atención Primaria y Hospital.
Motivos de consulta
Dolor abdominal localizado en flanco y fosa ilíaca derecha (FID).
Historia clínica
Enfoque individual
- Antecedentes personales relevantes:
- Histerectomía con doble anexectomía previa, y posterior reintervención por lesión vesical iatrogénica.
- Antecedentes familiares de cáncer gástrico (padre y hermano).
- Anamnesis:
- Mujer de 74 años, con dolor abdominal leve localizado en flanco y FID, tras desayuno, de unos 30 minutos de duración y 4 meses de evolución. Estreñimiento leve. Pérdida de apetito y peso leve.
- Exploración física:
- Buen estado general. Delgada. IMC: 17. Palpación de masa dolorosa en el flanco derecho de abdomen, redondeada, de consistencia dura y de bordes regulares. No pulsátil.
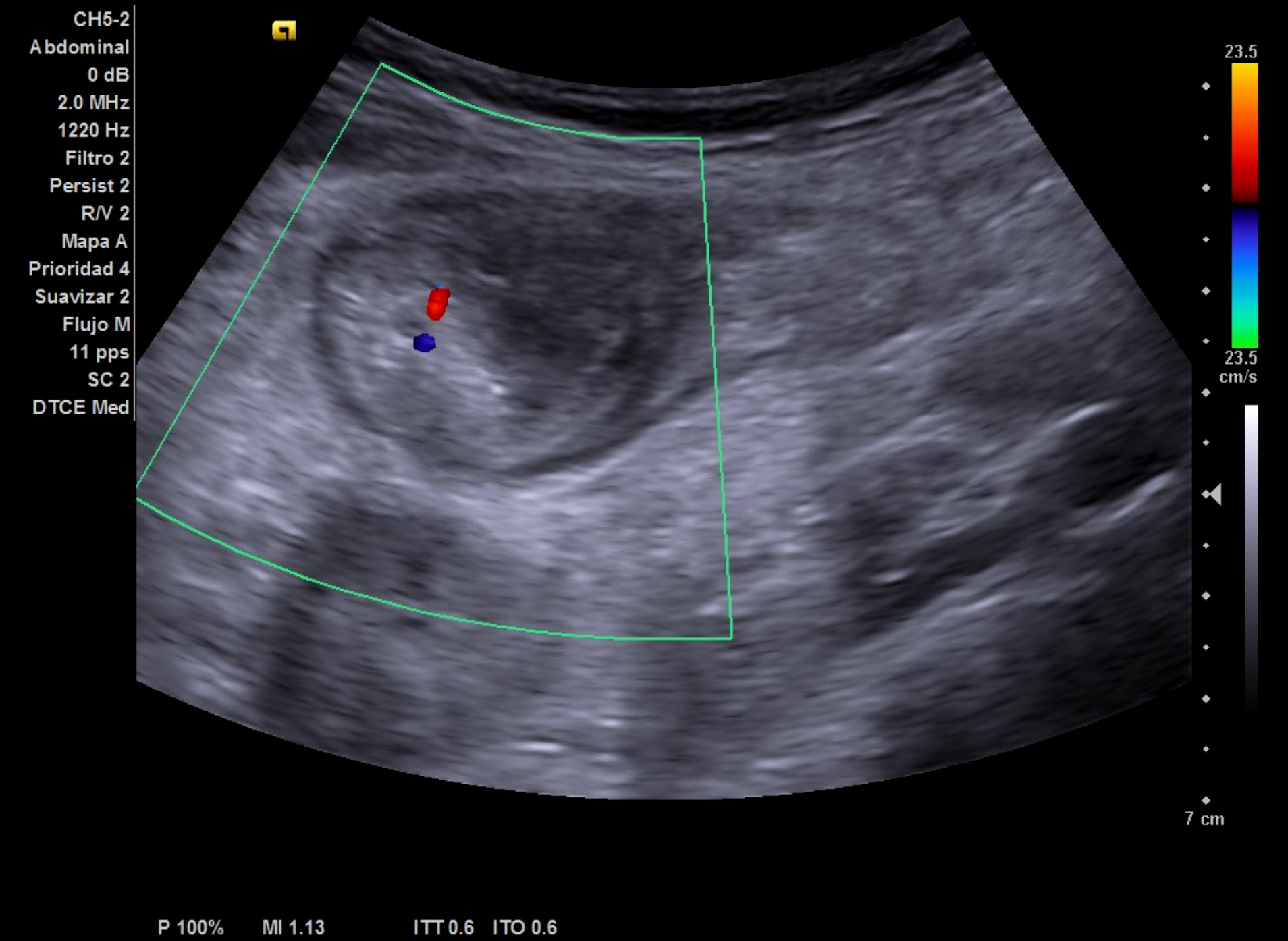
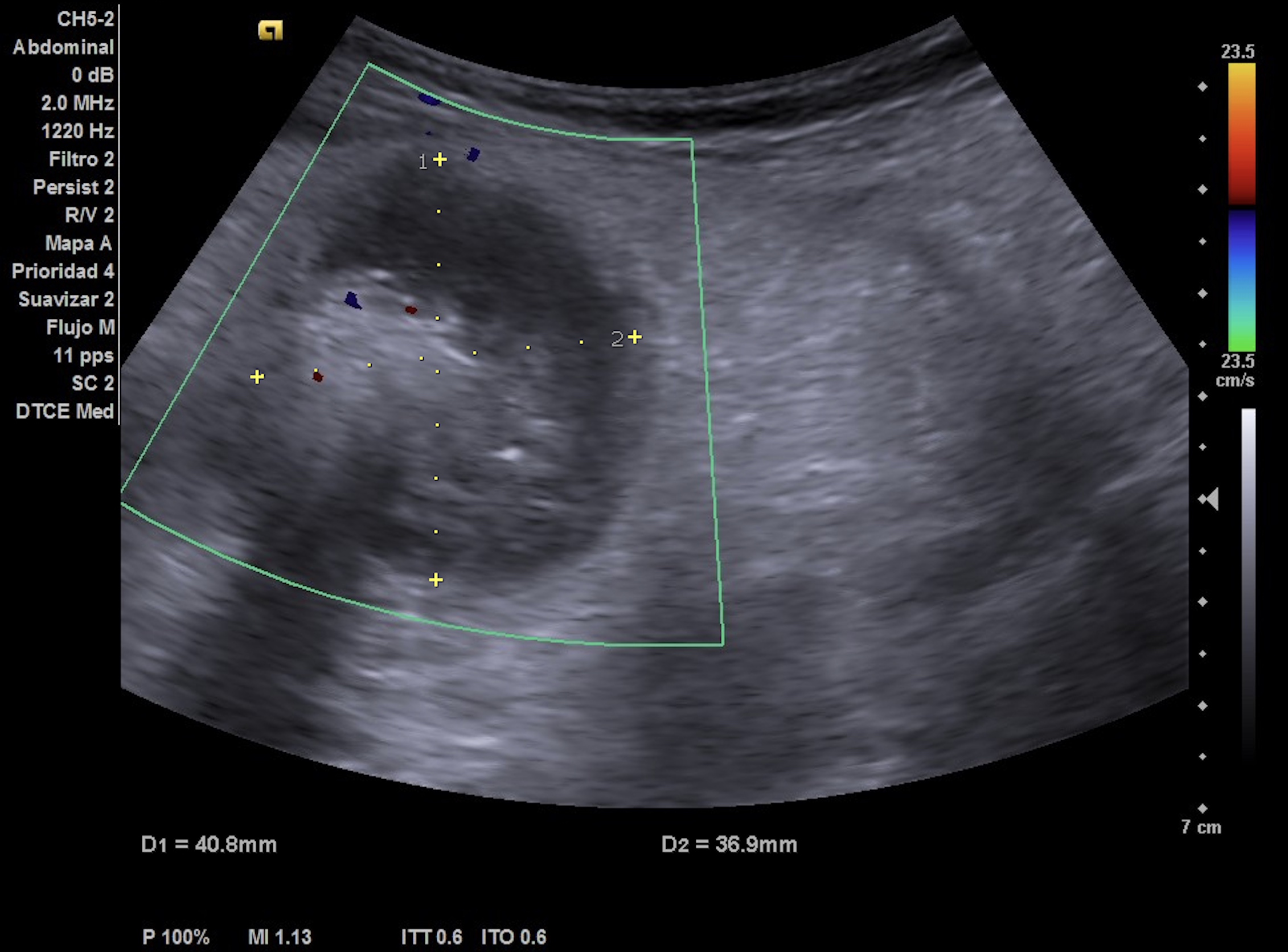
- Ecografía clínica tipo POCUS realizando un papel crucial en la exploración, revelando una masa probablemente neoplásica en el colon.
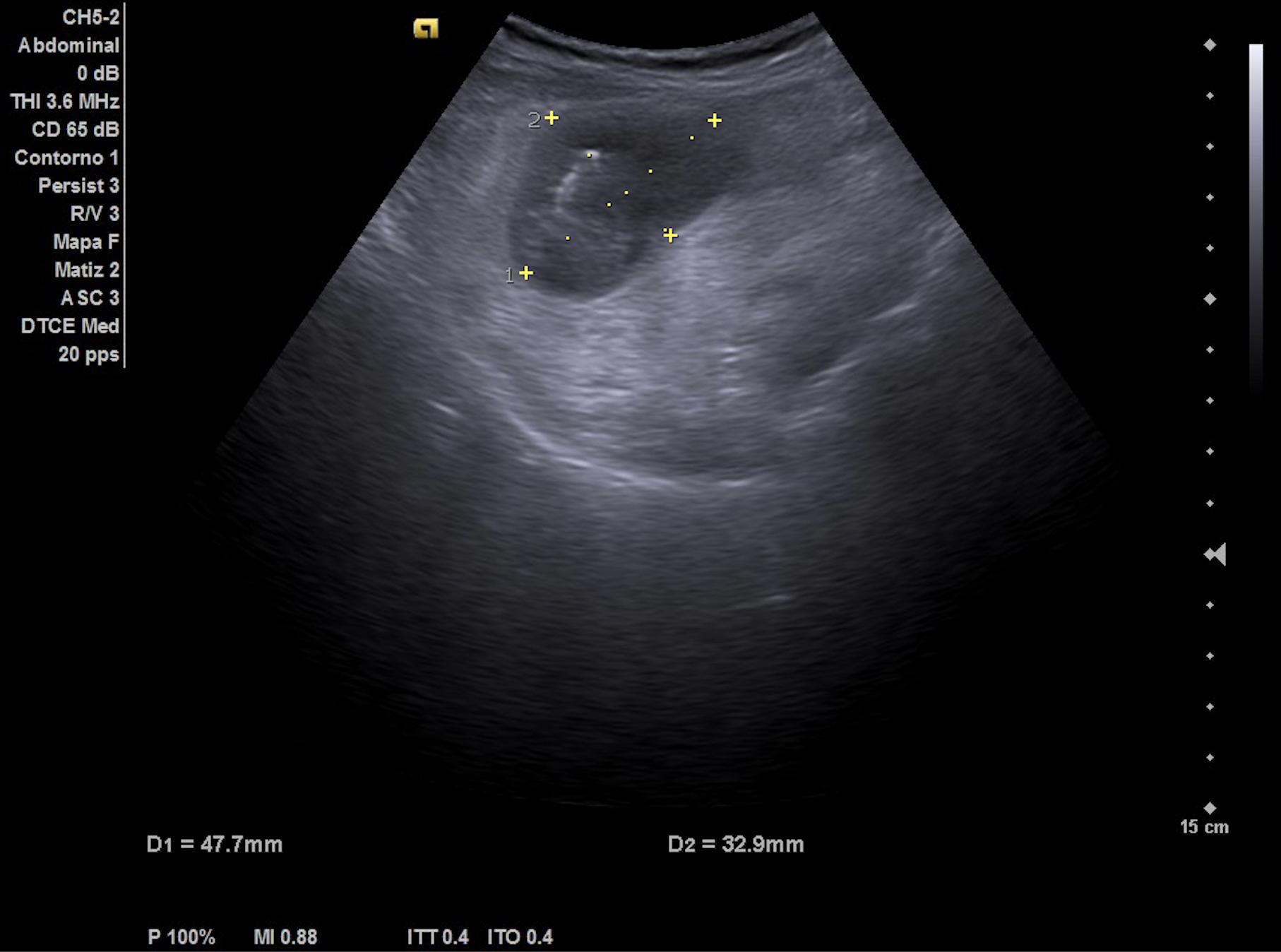
Hallazgos ecográficos
- Hígado de tamaño y eco-estructura normal. Riñón derecho normal. Imagen localizada anterior a riñón derecho, redondeada-ovalada, hipoecoica con zonas hiperecoicas en su interior, vascularizada probablemente compatible con signo de pseudo-riñón con sospecha de neoplasia de colon.
Pruebas complementarias
- Colonoscopia con biopsia: masa en el ángulo hepático del colon ascendente, sugiriendo una neoplasia estenosante con informe de A-P: cambios adenomatosos con displasia epitelial de alto grado (carcinoma in situ/intramucoso).
- TAC abdominal con contraste: Lesión en colon ascendente junto a ángulo hepático, engrosando la pared cólica en un segmento de 6,5 cm. Sugerente de neoplasia colónica ulcerada.
- TAC colonoscopia virtual y TAC torácico: Sin perforaciones ni signos de metástasis en tórax.
Juicio clínico, diagnóstico diferencial, identificación de problemas
- Diagnóstico principal: Neoplasia de colon.
- Diagnóstico diferencial: Neoplasia de colon o proceso inflamatorio crónico.
- Concordancia con el Hospital: Confirmación de diagnóstico y plan de manejo.
Tratamiento y planes de actuación
- Se explicaron los pasos diagnósticos a la paciente y se solicitaron pruebas adicionales e interconsulta preferente con Digestivo.
Evolución
- La paciente se encuentra con buen estado general y pendiente de cirugía.
Conclusiones (y aplicabilidad para la Medicina de Familia)
Este caso ilustra la importancia de una evaluación multidisciplinaria en Atención Primaria, destacando el rol de la ecografía clínica en la detección inicial de patologías abdominales complejas. Subraya la necesidad de una estrecha colaboración entre Atención Primaria y especialidades para el manejo efectivo de neoplasias de colon.




Comunicaciones y ponencias semFYC: 2025; Comunicaciones: Casos clínicos. ISSN: 2339-9333