V Jornadas de Ecografía de la semFYC

9 y 10 de febrero de 2024

Comunicaciones: Casos clínicos

Masa abdominal y metrorragia (póster)

Ámbito del caso

Atención Primaria.

Motivos de consulta

Mujer de 44 años que acude por notarse masa abdominal de meses de evolución.

Historia clínica

Enfoque individual

No antecedentes de interés.

La paciente refiere notarse masa abdominal de varios meses de evolución, en las últimas semanas nota urgencia miccional. Además relata metrorragias abundantes y dolorosas.

A la exploración física abdominal se aprecia masa en hipogastrio, no dolorosa, que al presionarla le genera sensación de urgencia miccional. No signos de irritación peritoneal. Puño percusión renal bilateral negativa.

Ante estos hallazgos se realiza ecografía abdominal en consulta.

Hallazgos ecográficos

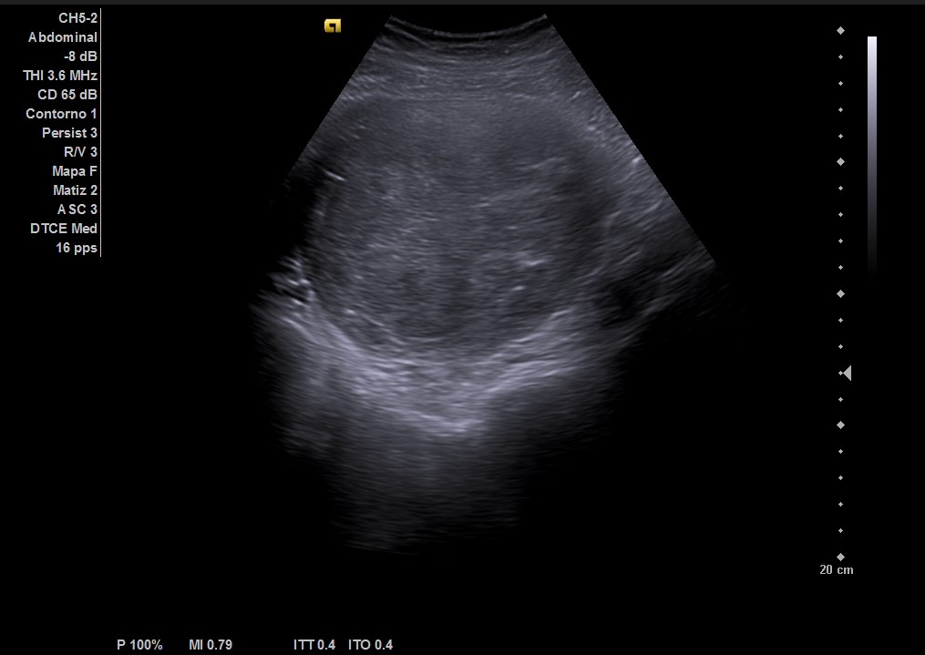
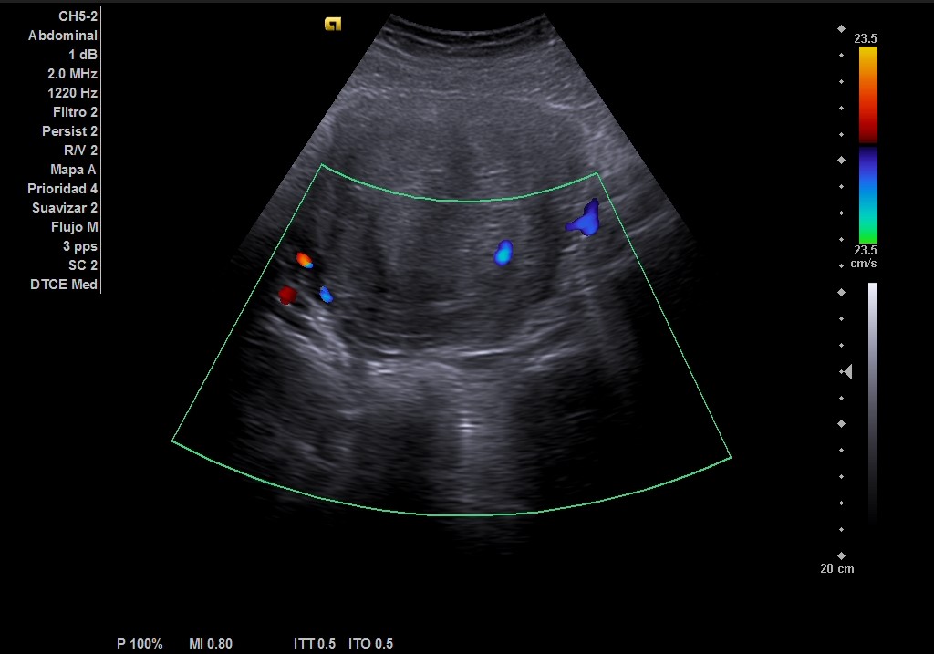
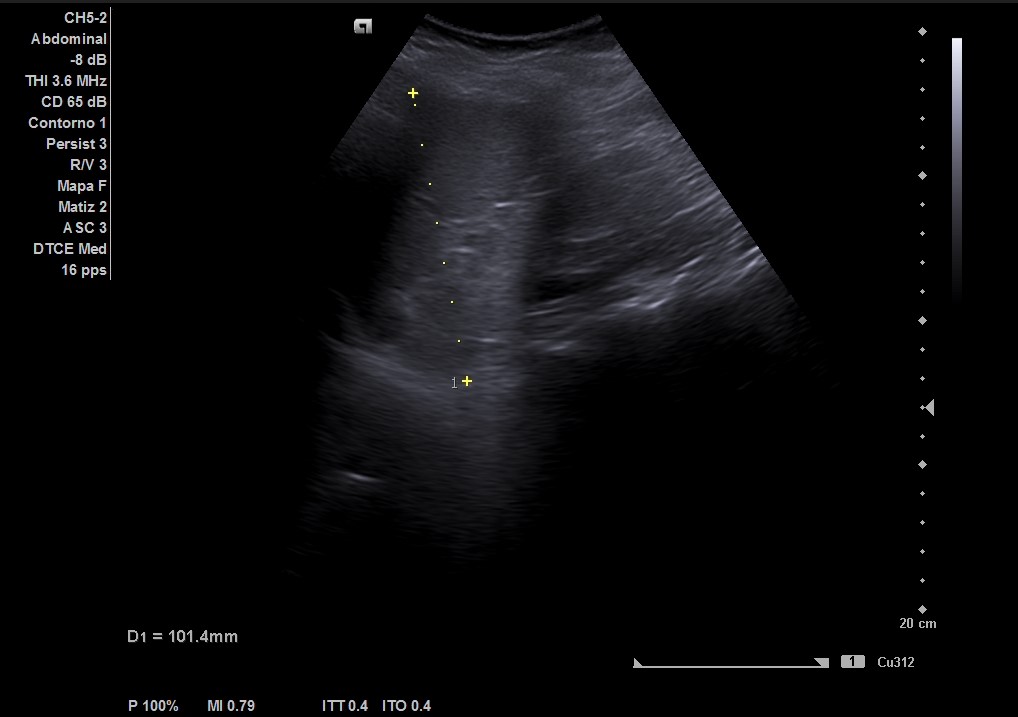
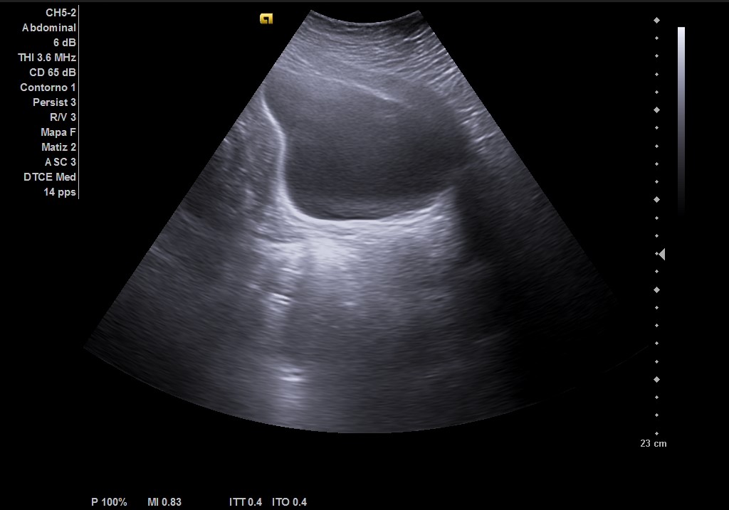
Ecografía abdominal: masa heterogénea de 10 x 10 cm dependiente de útero con vascularización periférica. No se observa la vejiga al estar repleccionada y desplazada por dicha masa. Se vuelve a hacer ecografía con vejiga llena y se observa cómo deforma la pared por efecto masa. Vejiga sin litiasis en su interior, no globo vesical.

Pruebas complementarias

Test de gestación negativo.

Juicio clínico, diagnóstico diferencial, identificación de problemas

Metrorragia secundaria a mioma uterino de gran tamaño.

El diagnóstico diferencial de la metroragia se realizaría con una gestación incipiente, pólipo endometrial, endometriosis. Y el de la masa con un globo vesical.

Tratamiento y planes de actuación

Se inicia tratamiento con Ácido tranexámico 500 mg 2 cada 8 h hasta cesar sangrado y naproxeno 500 mg 1 cada 12 h durante la menstruación. Se deriva a consultas de ginecología aportando las imágenes obtenidas.

Evolución

La paciente es valorada en consulta de patología ginecológica. Le realizan una ecografía abdominal y transvaginal que describe: útero de unos 13 cm de histerectomía. Presenta varios miomas intramurales, destacando uno en cara posterior de 110 x 102 mm que parece contactar con cavidad endometrial sin desplazarla.

Endometrio de aspecto secretor de 15 mm. Anejos normales. Inician Acetato de medroxiprogesterona 10 mg en mitad del ciclo. 

La paciente mantiene revisones en ginecología con mejoría sintomática.

Conclusiones (y aplicabilidad para la Medicina de Familia)

 La dispnibilidad del ecógrafo en la consulta nos apoya en el diagnóstico clínico y permite compartir dichos hallazgos en nuestras derivaciones hospitalarias. En este caso, reducimos la demora en la valoración de la paciente al remitirla directamente a la consulta de patología con los hallazgos de la consulta.


Comunicaciones y ponencias semFYC: 2025; Comunicaciones: Casos clínicos. ISSN: 2339-9333

Autores

Carrasco Claros, Sara
CS Mazarrón. Cartagena
Fuentes Almagro, Hortensia
C.S. Isaac Peral. Cartagena
Moreno Canelo, Pablo
CS Mazarrón. Cartagena