V Jornadas de Ecografía de la semFYC

9 y 10 de febrero de 2024

Comunicaciones: Casos clínicos

¡Me he despertado con la mejilla hinchada! (póster)

Ámbito del caso

Atención Primaria.

Motivos de consulta

Edema de mejilla.

Historia clínica

Enfoque individual

Varón de 45 años que acude sin cita a nuestra consulta por haber despertado con dolor e hinchazón de mejilla derecha, con sensación de hormigueo asociada. No trismus. No presentaba odontalgia, ni otalgia, ni fiebre termometrada. No había tenido antecedente traumático en la zona y, en los días previos, se encontraba asintomático.
Como antecedentes, es hipertenso en tratamiento con olmesartán e hidrocolortiazina; diabético tipo 2 en tratamiento con empagliflozina, metformina y dulaglutida; y cuadro depresivo en tratamiento con desvenlafaxina. No trabaja ni tiene contacto habitual con niños pequeños.
En la exploración física destaca:
Edema en hemicara derecha, focalizado en región parotídea y masetero. No focalidad neurológica, sensibilidad facial conservada y simétrica. No lesiones en conductos auditivos externos. No lesiones en orofaringe.

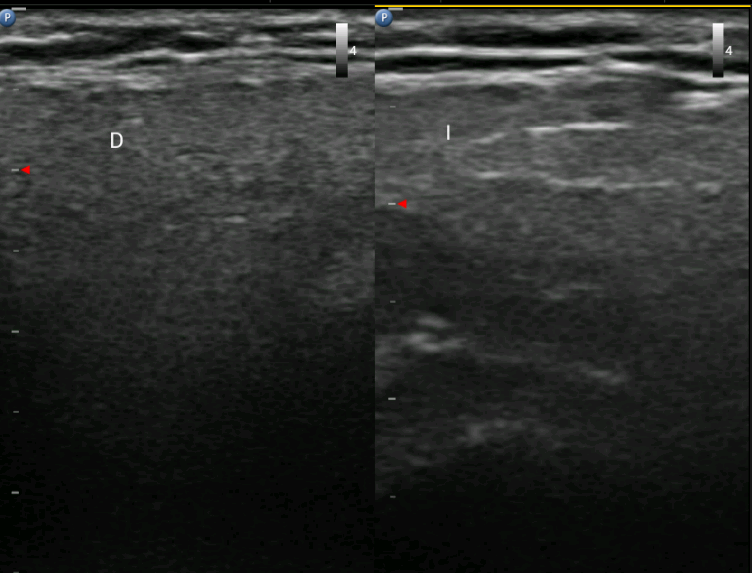
Hallazgos ecográficos

En la ecografía clínica se objetiva morfología del parénquima parotídeo y submandibular engrosado, con ecogenicidad aumentada y pérdida de atenuación posterior en lado derecho respecto a contralateral. No se objetiva captación de Doppler ni adenopatías de significado patológico.

Juicio clínico, diagnóstico diferencial, identificación de problemas

Sialoadenitis aguda.
Diagnóstico diferencial: angioedema, flemón dentario, celulitis bacteriana, parotiditis viral, neoplasia de glándulas salivales.

Tratamiento y planes de actuación

Se inicia tratamiento con antiinflamatorios no esteroideos, como dexketoprofeno 25 mg cada 8 horas. Ante el poco tiempo de evolución y la ausencia de fiebre, decidimos actitud expectante respecto a iniciar antibioticoterapia.

Evolución

Se indican signos de alarma por los que volver a consultar: fiebre, aumento de dolor o de edema, afectación motora o de sensibilidad de hemicara.

Conclusiones (y aplicabilidad para la Medicina de Familia)

La sialoadenitis es la patología más frecuente de las glándulas salivales en Atención Primaria. Es un caso interesante por el diagnóstico diferencial que plantea, incluyendo causas infecciosas y maligna, en el que no disponemos de otras pruebas complementarias en consulta (sería útil una analítica con serología y reactantes de fase aguda). Por ello, la aportación de la ecografía nos orienta hacia la causa del edema (inflamación de glándula parótida y submandibular unilaterales), permitiéndonos tomar una decisión clínica en el momento: tratamiento sintomático y ver evolución.

 

 

Comunicaciones y ponencias semFYC: 2025; Comunicaciones: Casos clínicos. ISSN: 2339-9333

Autores

Gisbert Canet, María
CS Doctor Sapena. Elche
González Romero, Juan Carlos
CS Doctor Sapena. Elche
Sánchez Pascual, Josep
CS Doctor Sapena. Elche