V Jornadas de Ecografía de la semFYC

9 y 10 de febrero de 2024

Comunicaciones: Casos clínicos

¿Mi paciente tiene un nódulo testicular? (póster)

Ámbito del caso

Atención Primaria. 

Motivos de consulta

Bulto en testículo derecho. 

Historia clínica

Enfoque individual

  • Atención Primaria: no AP de interés para la consulta actual. 
  • Anamnesis: se nota bulto en testículo derecho desde hace 2 semanas, doloroso. Niega cambios en la coloración de la piel ni hinchazón testicular. No traumatismo. Afebril. No alteraciones en la eyaculación ni síndrome miccional. No síndrome constitucional.
  • EF: se palpa induración en 1/3 medio de cara anterior de testículo derecho, sin ser claramente un nódulo y epidídimo engrosado, doloroso a la palpación. Resto de testículo de paredes lisas y tamaño normal. No hidrocele. No se palpan adenopatías adyacentes.
  • Motivo de ecografía: bultoma/engrosamiento testículo derecho.

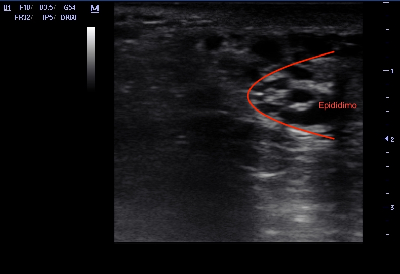
Hallazgos ecográficos

Se observa una imagen hiperecoica en 1/3 medio pared anterior de testículo derecho compatible con calcificación que deja sombra posterior, bien delimitada y sin imagen adyacente hipoecoica ni heterogénea. Además, se observa imagen en panal de abeja en epidídimo, que sugiere ectasia tubular de rete testis.

Pruebas complementarias

Ecografía reglada, urocultivo y AS general. 

Juicio clínico, diagnóstico diferencial, identificación de problemas

Ectasia tubular de rete testis y calcificación inespecífica de testículo derecho.

Tratamiento y planes de actuación

Derivación a Urología y analgesia.

Evolución

Pendiente de PPCC y valoración por especialidad.

Conclusiones (y aplicabilidad para la Medicina de Familia)

Descartar en consulta de Atención Primaria nódulo testicular de características malignas, así como realizar diagnóstico diferencial mediante la ecografía clínica.
 
 

Comunicaciones y ponencias semFYC: 2025; Comunicaciones: Casos clínicos. ISSN: 2339-9333

Autores

Guillén Montiel, Cecilia
CS Álvarez de La Riva. Orihuela. Alicante
Moreno Rubio, Celia
CS Álvarez de La Riva. Orihuela. Alicante
Bernabéu González de la Higuera, Itziar
CS Orihuela I. Alicante