Comunicaciones: Experiencias

Mi primera ecografía (Oral)

Objetivos de la experiencia

Animar a los médicos de Atención Primaria a iniciarse en Ecografia clínica.

Descripción de la experiencia

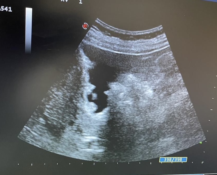
Unos días después de finalizar el curso de ecografía abdominal y ser acta para iniciar la práctica clínica, acudió a la consulta un paciente con dolor abdominal de 2 años de evolución. Había consultado en varios servicios de urgencias donde se habían realizado diferentes exploraciones complementarias con resultado negativo.

Aportaba una ecografía abdominal (informe y dos fotografías impresas) realizada en su país (Marruecos).

Diagnóstico: colelitiasis.

Por primera vez en 23 años de consulta miré las imágenes ecográficas. Y me asaltó la duda, ¿colelitiasis?
Mentalmente describí las lesiones,  se trata de lesiones múltiples hiperecogénicas  y adheridas a la pared vesicular y que no producen sombra posterior.
¿Colelitiaisis?
Repetí la ecografía para confirmar o descartar mi sospecha.

Confirmé que no se trataba de colelitiasis sino que en mi opinión eran múltiples pólipos vesiculares y alguno de ellos cercano a 1 cm de diámetro, sin poder descartar malignidad con la ecografía, por lo que solicité un TC abdominal que informó de un único pólipo vesicular de 6 mm.

Derivé al paciente a cirugía con el informe de la ecografía realizada en primaria.

Desde la consulta de cirugía se solicitó ecografía reglada y control en 6 meses que informó de múltiples engrosamientos nodulares en relación con pólipos (más de 10), los de mayor tamaño alcanzan 9 mm de grosor máximo. Alitiasica.

Se decidió colecistectomía.

Conclusiones

  • La ecografía es el gold standard para el estudio de pólipos vesiculares.
  • Mejora de la capacidad diagnóstica gracias a la ecografía.

Aplicabilidad

  • Mejora de la calidad asistencial.
  • Evitar duplicar y malgastar recursos (exploraciones complementarias, visitas a la atención especializada sin diagnósticos correctos, etc.).
  • Establecer vínculos de confianza con la atención especializada.

 


Comunicaciones y ponencias semFYC: 2025; Comunicaciones: Experiencias. ISSN: 2339-9333

Autores

Rivera Feliu, Gerard
CAP Banyoles. Girona
Páez Regadera, Carme
CAP Banyoles. Girona
Font Roura Font Roura, Pilar
CAP Banyoles. Girona
Obelleiro Nadal, Sara
CAP Banyoles. Girona