Comunicaciones: Casos clínicos

Microhematuria en paciente exfumador, no todo es lo que parece (Póster)

Ámbito del caso (Atención Primaria, servicios de Urgencias o atención domiciliaria)

Atención Primaria.

Motivos de consulta

Hombre de 76 años que acude para resultados de analítica sanguínea y de orina de control por su diabetes mellitus tipo 2. Se encuentra asintomático, pero en la analítica se aprecia microhematuria por lo que se programa una ecografía en el centro de salud.

Historia clínica

Antecedentes personales relevantes, anamnesis, exploración física y lugar que ocupa en ella la ecografía

Antecedentes personales de diabetes mellitus tipo 2, glaucoma y accidente cerebrovascular en 2010. En tratamiento con metformina, ácido acetilsalicílico y timolol oftálmico. Exfumador desde hace 10 años, previamente fumaba un paquete diario desde los 16 años. No antecedentes familiares relevantes. El paciente se encuentra asintomático, no presenta síntomas miccionales, está afebril y la exploración física es normal. Tacto rectal con volumen prostático grado I y sin nódulos. Fuerza miccional normal.

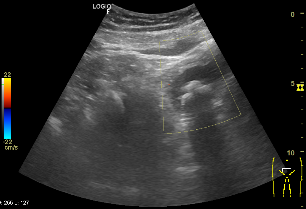
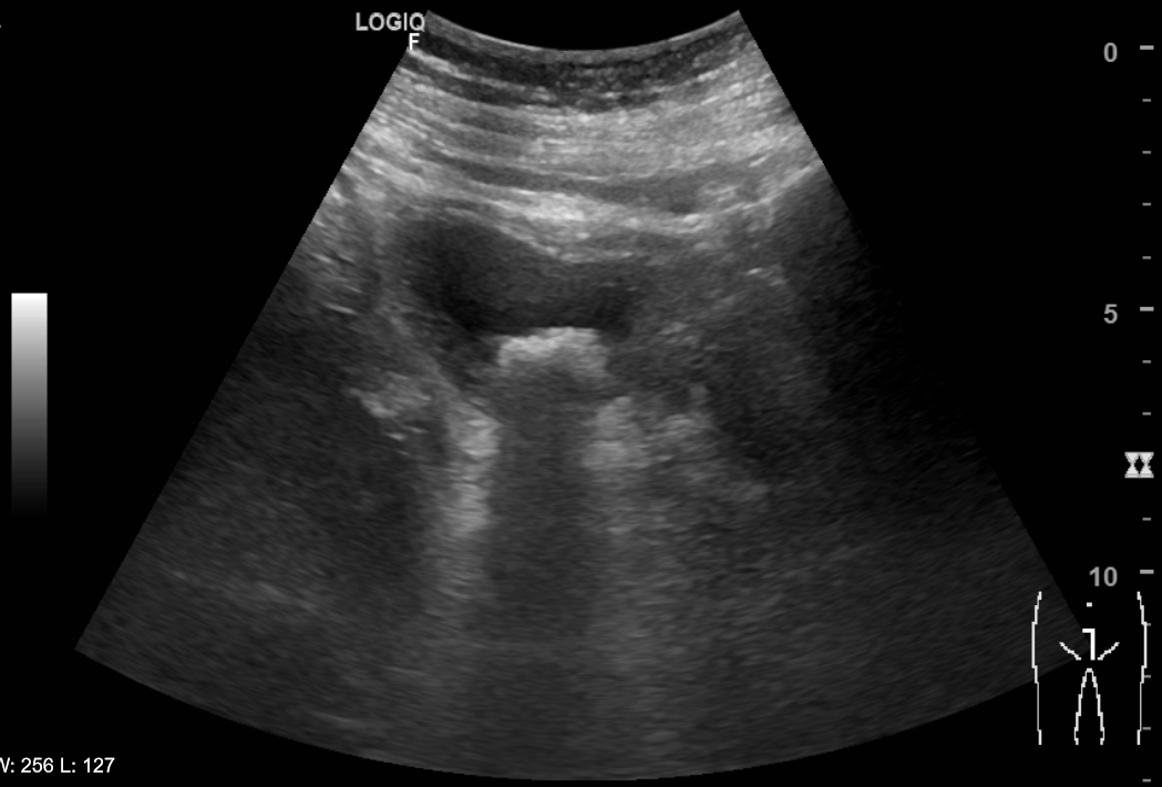
Descripción de los hallazgos ecográficos y las imágenes más relevantes para la resolución del caso

Riñones de morfología y tamaño normales. No se aprecian colecciones intrarrenales ni perirrenales. Sin ectasia de sistemas excretores. Quiste cortical simple en polo superior de riñón izquierdo de 6x6cm. Vejiga poco replecionada de paredes uniformemente engrosadas y trabeculadas. Múltiples imágenes hiperecogénicas con ausencia de registro Doppler y con sombra posterior que sugiere cistolitiasis. Próstata de aspecto normal con volumen de 21 cc. Volumen premiccional de 89 cc y posmiccional de 11 cc.

Otras pruebas complementarias realizadas (si existen)

Analítica sanguínea con GFR-CKD EPI 84.46 mL/min*1.73 m2. Sedimento urinario con hematíes 5-10 por campo de 400 aumentos. Urocultivo negativo.

Juicio clínico, diagnóstico diferencial, concordancia con el hospital (en su caso)

Juicio clínico: Litiasis en la vejiga. Diagnóstico diferencial: Tumor de vejiga/Hipertrofia benigna de próstata/Infección del trato urinario.

Decisiones adoptadas: tratamiento, planes de actuación

Se realiza interconsulta con el servicio de urología.

Evolución y seguimiento

Le realizan una cistolitotricia para eliminar las litiasis en la vejiga.

Conclusiones y aplicabilidad para la medicina de familia

Ante una microhematuria asintomática, una de las posibles causas es la cistolitiasis, la cual no es la causa más frecuente, pero con el uso de la ecografía en los centros de salud se puede acelerar el diagnóstico, y descartar una afectación tumoral.


Comunicaciones y ponencias semFYC: 2025; Comunicaciones: Casos clínicos. ISSN: 2339-9333

Autores

Chicapar Machín, Pablo
CS San José Centro, Sector II. Zaragoza.
Castro Aza, Belén
CS Fuentes Norte, Sector II. Zaragoza.
Lafuente Lasaosa, María
CS Rebolería, Sector II. Zaragoza.