V Jornadas de Ecografía de la semFYC

9 y 10 de febrero de 2024

Comunicaciones: Casos clínicos

Microhematuria (oral)

Ámbito del caso

Atención Primaria

Motivos de consulta

Microhematuria

Historia clínica

Enfoque individual

Paciente de 81 años con AP de HTA y dislipemia que desde el 06/07/2020 presenta en analíticas de rutina microhematuria persistente. Se realiza ecografía clínica el 21/04/2023 para descartar patología nefrourológica.

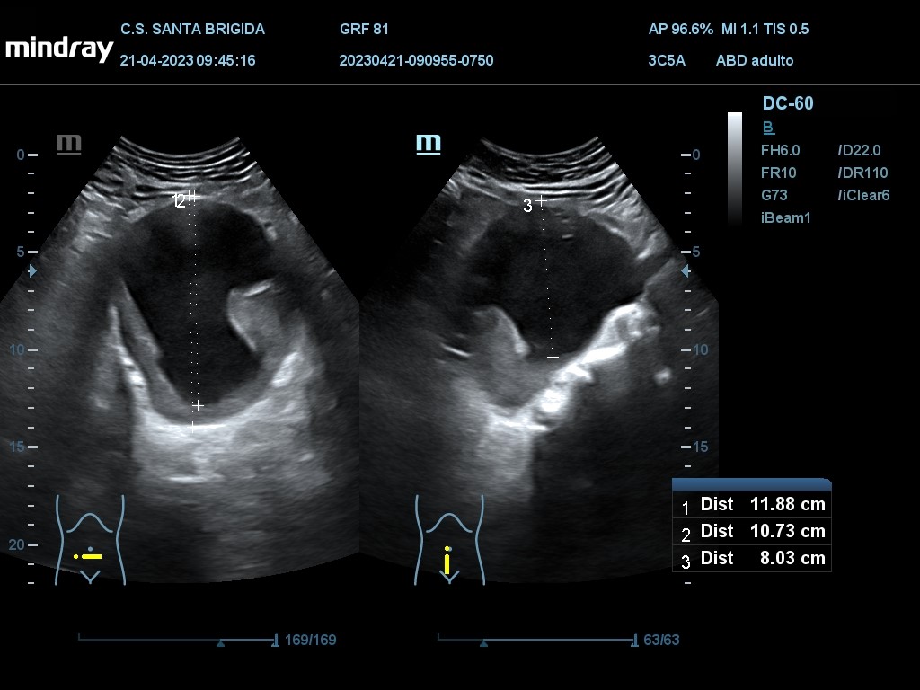
Hallazgos ecográficos

En ecografía clínica se aprecia dilatación de aorta abdominal de extensión máxima de 13,27 cm con origen proximal a la bifuración de las arterias renales y con un diámetro máximo de 9,91 cm. Además asocia imagen hiperecogénica respecto a la luz del vaso en la práctica totalidad de su recorrido en probable relación con trombo intramural semilunar de 3,7 cm.

Pruebas complementarias

TAC Abdomen: Voluminoso aneurisma fusiforme de aorta abdominal infrarrenal, de una extensión máxima de 13,8 cm con origen proximal a 3 cm de la bifuración de las arterias renales y punto distal adyacente a la bifurcación de las ilíacas; con un diámetro máximo de 10,6 cm, este asocia un trombo intramural semilunar excéntrico en la práctica totalidad de su recorrido de morfología irregular con un grosor máximo de hasta 3,7 cm. No se objetivan puntos de extravasación de contraste, complicación ni signos sugestivos de rotura inminente (no se objetivan hematomas, soluciones de continuidad, borramiento/acabalgamiento de la pared aórtica posterior sobre vértebra, úlceras penetrantes ni calcio tangencial). No se objetivan alteraciones estructurales en aorta torácica (flaps, aneurismas ni trombos).

Juicio clínico, diagnóstico diferencial, identificación de problemas

Juicio clínico: Aneurisma de aorta abdominal.

Tratamiento y planes de actuación

Se decide derivación al Servicio de Urgencias Hospitalario, donde ingresa en Unidad de Críticos. Allí se realiza IC a Cirugía Vascular, que posteriormente decide alta y programa cirugía para colocación de prótesis. 

Evolución

El paciente tras la cirugía presenta resolución de microhematuria antes mencionada en varias analíticas. Continúa controles con Cirugía Vascular y su Médico de Familia sin mayores incidencias.

Conclusiones (y aplicabilidad para la Medicina de Familia)

  • Siempre se debe realizar una exploración física antes de llevar a cabo la ecografía.
  • No toda microhematuria es sinónimo de patología nefrourológica.
  • La ecografía abdominal es imprescindible y muy rentable en el ámbito de la Atención Primaria, por lo que es esencial incentivar la formación y dotar de recursos para ello.
  • Es muy recomendable realizar un barrido general del abdomen para descartar patologías a otros niveles y no centrarnos únicamente en el síntoma del paciente.


Comunicaciones y ponencias semFYC: 2025; Comunicaciones: Casos clínicos. ISSN: 2339-9333

Autores

Mendoza Mendoza, Yanira Esperanza
CS de Santa Brígida
Suarez Bethencourt, Javier
CS de Santa Brígida