V Jornadas de Ecografía de la semFYC

9 y 10 de febrero de 2024

Comunicaciones: Casos clínicos

Mini-píldoras en ecografía de la mama, a propósito de un caso (oral)

Ámbito del caso

Atención Primaria

Motivos de consulta

Dolor y masa palpable en mama izquierda

Historia clínica

Enfoque individual

Paciente mujer de 49 años, diagnosticada de obesidad grado II y salpinguectomía y anexectomía izquierdas tras un embarazo ectópico. Consulta por clínica de 15 días de evolución de dolor en mama izquierda y hallazgo a la autoexporación de una induración en dicha mama. Muy preocupada porque han diangosticado recientemente a su tía de cáncer de mama. A la exploración se palpa masa móvil, indurada e irregular en cuadrante supero-externo de mama izquierda, sin hallazgos reseñables en mama derecha aunque presenta aumento de sensibilidad generalizada en ambas mamas. No adenopatías axilares ni supraclaviculares palpables.

Hallazgos ecográficos

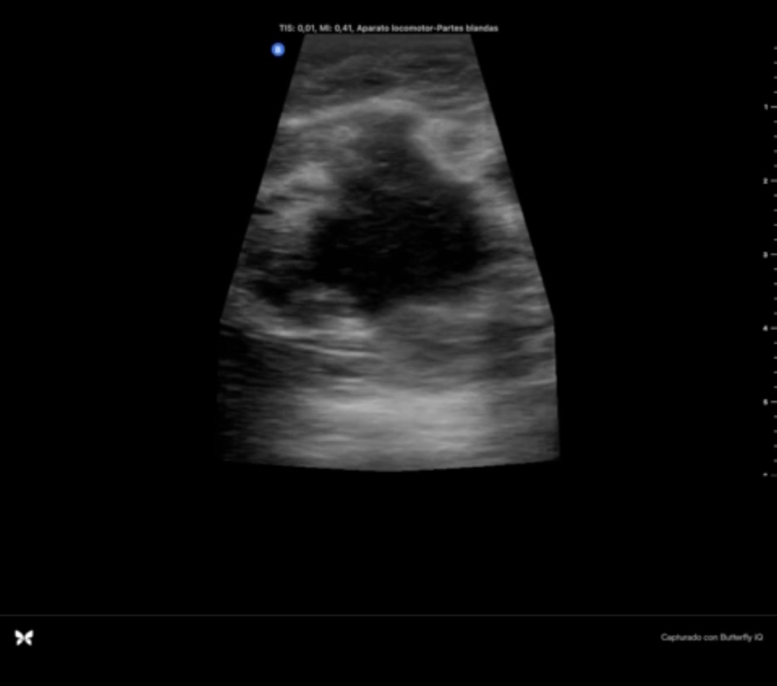
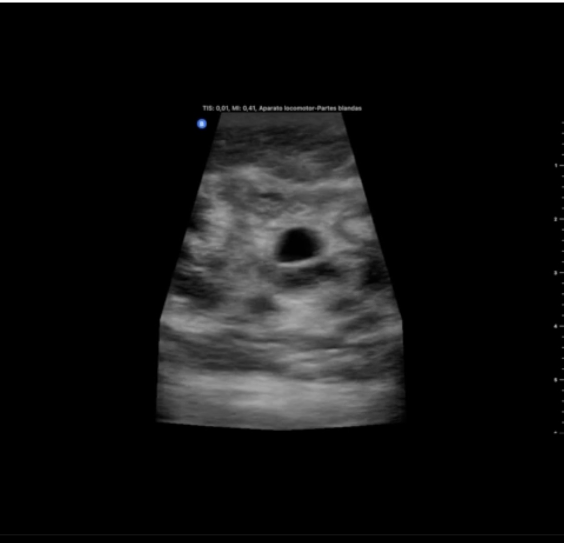
Se objetiva masa hipoecogénica respecto al tejido fibroglandular, heteroecogénica, mal delimitada, más alta que ancha y que no se modifica con la presión de la sonda. En regiones circundantes a la lesión se objetivan lesiones redondeadas, quísticas, que impresionan dilataciones de los conductos galactóforos.

Pruebas complementarias

Ante los hallazgos se solicita consulta preferente a la Unidad de Mama de Cirugía General, una ecografía de mama preferente y una mamografía preferente.

Juicio clínico, diagnóstico diferencial, identificación de problemas

El juicio clínico fue de una tumoración maligna de mama. Para el diagnóstico diferencial deberían tenerse en cuenta otras lesiones benignas sólidas, como los fibroadenomas.
Tras las pruebas complementarias, se confirmó diagnóstico de Carcinoma Ductal Infiltrante de mama izquierda multifocal cT3cN1.

Tratamiento y planes de actuación

Valorada por Comité Multidisciplinar, se encuentra actualmente realizado quimioterapia neoadyuvante para posteriormente mastectomía izquierda y vaciamiento axilar izquierdo.

Evolución

Se encuentra en situación de Incapacidad Temporal, realizando quimioterapia.
Preocupación acorde a la patología pero con actitud positiva.

Conclusiones (y aplicabilidad para la Medicina de Familia)

La ecografía de la mama es una de las ramas de la ecografía clínica que los médicos de familia son más «reticentes» a la hora de realizar. Quizás sea por la dificultad que conlleva a los profesionales manejar la incertumbre debido a la gran carga emocional que supone a las pacientes todo el recorrido desde la palpación de una masa hasta la obtención de un diagnóstico definitivo. 
Sin embargo mediante una técnica de exploración ducto-radial, hay cinco ítems ecográficos que nos permiten clasificar de forma fácil y rápida un nódulo mamario en «probablemente benigno» o «probablemente maligno» y dar una primera información a la paciente antes de la realización de pruebas complementarias oficiales y de la obtención de un diagnóstico certero.
 
 
 
 
 

Comunicaciones y ponencias semFYC: 2025; Comunicaciones: Casos clínicos. ISSN: 2339-9333

Autores

Huerta Menéndez, Raquel
CS Siero-Sariego. Asturias
Fernández Díaz, María
CP de Carbayín Alto. Asturias
Lozano Morán, Martín
CS Siero-Sariego. Asturias