V Jornadas de Ecografía de la semFYC

9 y 10 de febrero de 2024

Comunicaciones: Casos clínicos

Neumonía con dolor torácico mecánico (póster)

Ámbito del caso

Atención Primaria y Hospitalaria.

Motivos de consulta

Cuadro de 1 semana de evolución de tos productiva amarillenta y dolor mecánico y pleurítico en costado derecho. Fiebre. Cansancio.

Historia clínica

Enfoque individual

Antecedentes personales: HTA, DM tipo 2, Temblor esencial severo. Neoplasia de mama en remisión.

Espóndiloartrosis, marcha en flexión lumbar de casi 90º.
Anamnesis: Tos productiva amarillenta y fiebre, atendida en domicilio, exploración física: dolor a la palpación en línea axilar anterior derecha a la altura de arcos costales 6 - 8. Auscultación Pulmonar con roncus en bases. Se pautó azitromicina y acetilcisteína. 3 días más tarde persiste dolor en costado derecho intenso, febrícula, menos tos. Exploración Física como previa, se añaden crepitantes en base derecha. Saturación parcial O2: 93. EF: Dolor a la palpación arcos costales medios e inferiores dchos. AP: crepitantes base dcha. Algún episodio de desorientación los últimos días.

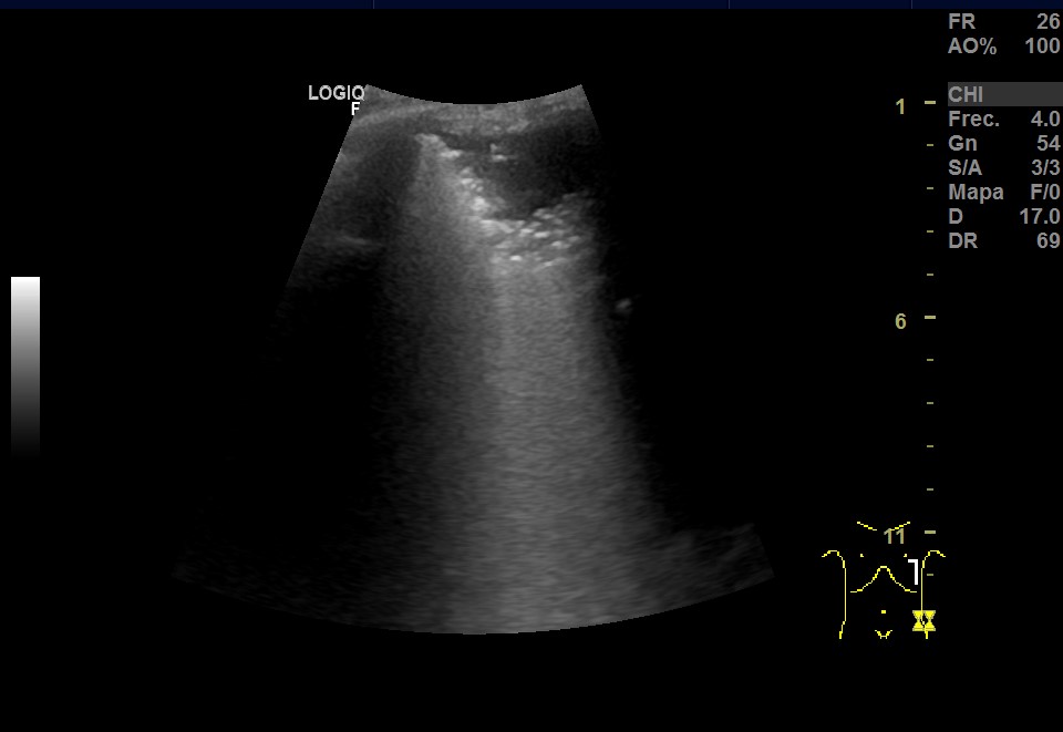
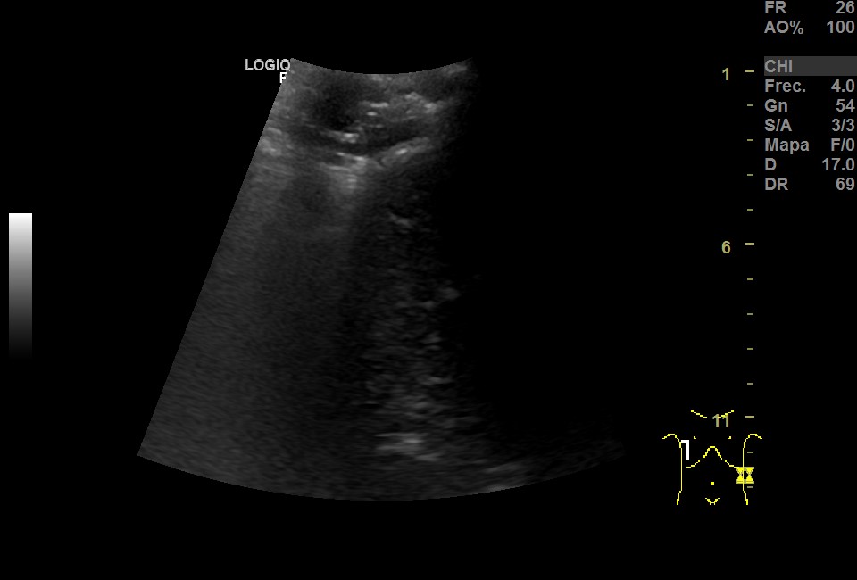
Hallazgos ecográficos

Ecografía pulmonar: imagen hipoecoica irregular subpleural, con signo de desflecamiento, limitada superiormente por la línea pleural e inferiormente por una línea irregular en sacabocados donde aparece un punteado hiperecoico sobre múltiples líneas B que muestran imagen de pulmón blanco. Todo ello sugestivo de consolidación pulmonar con broncograma aéreo. Imagen de medusa sugestiva de pequeño derrame pleural.

Pruebas complementarias

Radiografía de tórax en urgencias hospitalarias: consolidación en base pulmonar derecha.

Juicio clínico, diagnóstico diferencial, identificación de problemas

Neumonía basal dcha.

Tratamiento y planes de actuación

Con la sospecha de neumonía basal derecha se derivó a urgencias. Ingresó con el diagnóstico de Neumonía basal derecha adquirida en la Comunidad FINE IV con insuficiencia respiratoria secundaria.

Evolución

Curación del proceso durante ingreso hospitalario con antibioterápia. 

Conclusiones (y aplicabilidad para la Medicina de Familia)

La ecografía pulmonar es una alternativa a la radiografía en determinadas situaciones como el caso de pacientes ancianos con dificultades para desplazarse lejos de su domicilio. Es de gran utilidad en Atención Primaria, pues puede realizarse a la cabecera del paciente y es fácilmente reproducible. Es inocua al no producir radiaciones ionizantes.


Comunicaciones y ponencias semFYC: 2025; Comunicaciones: Casos clínicos. ISSN: 2339-9333

Autores

Sanz Rodrigo, Carmen
CS Puerta Bonita. Madrid
Tsalavoutas Psarras, Konstantinos
CS Puerta Bonita. Madrid
Urbanos Martínez, Consuelo
CS Puerta Bonita. Madrid