V Jornadas de Ecografía de la semFYC

9 y 10 de febrero de 2024

Comunicaciones: Casos clínicos

Neumonitis por pembrolizumab (póster)

Ámbito del caso

Atención Primaria

Motivos de consulta

Disnea

Historia clínica

Enfoque individual

Varón de 82 años, anticoagulado, con graves factores de riesgo cardiovascular y EPOC fenotipo enfisema grado severo, estadio III GOLD.

Inicia primera línea de tratamiento con pembrolizumab en junio de 2022; por adenocarcinoma no microcítico PD-L1 positivo, hasta febrero de 2023; tras 11 ciclos, cuando se suspende por sospecha de nefrotoxicidad.

Paralelamente, en la consulta de Atención Primaria, el paciente acude en marzo de 2023 por empeoramiento de su disnea basal hasta hacerse de pequeños esfuerzos. Ante auscultación patológica con murmullo disminuido en base pulmonar izquierda; se solicita radiografía de tórax, donde se observa infiltrado intersticial izquierdo. Se inicia antibioterapia y se comprueba negatividad de COVID-19.

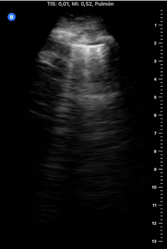
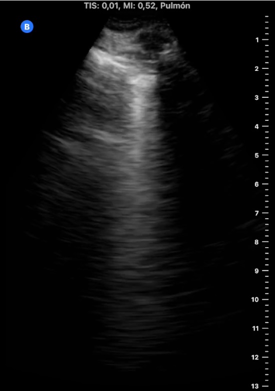
Tras el tratamiento, se decide realizar eco pulmonar clínica en AP, por escasa mejoría (Ver Descripción de Hallazgos).

Ecografía pulmonar en AP:

«Líneas B en campos pulmonares izquierdos y consolidación pulmonar en base derecha con mínimo derrame pleural, compatible consolidación infecciosa vs tromboembólica.

Se amplía estudio con ETT que no muestra signos de sobrecarga de ventrículo derecho, y eco Doppler de MMII sin hallazgos de TVP con venas safenas y femorales permeables y colapsables».

Pruebas complementarias

Se comunica a oncología, que inician diuréticos por empeoramiento radiológico de la afectación intersticial, en este momento, derecha con engrosamiento de cisuras y derrame pleural.

Tras 2 días, sin mejoría y comienzo de fiebre, se deriva a urgencias hospitalarias. Ingresa en oncología con diagnóstico de neumonía adquirida en la comunidad. Se inicia tratamiento con antibioterapia y metilprednisona a baja dosis.

Tras varios días de respuesta parcial y cultivos microbiológicos negativos; se realiza fibrobroncoscopia que descarta infección y evidencia infiltración linfocítica del tejido, que concuerda con proceso de toxicidad inmunomediada.

Juicio clínico, diagnóstico diferencial, identificación de problemas

Diagnóstico de neumonitis G2-3 inmunomediada con posible sobreinfección de infiltrados pulmonares.

Tratamiento y planes de actuación

Se aumenta dosis de corticoide con evidente mejoría del paciente; dándose de alta.

Evolución

Actualmente el paciente continua en tratamiento con metilprednisona, con control de dosis desde Atención Primaria.

Conclusiones (y aplicabilidad para la Medicina de Familia)

La neumonitis por inmunomoduladores anti PD-L1 es un efecto adverso reconocido, aunque, poco conocido. Se sospecha a partir de la presencia de infiltrados pulmonares progresivos y migratorios. La ecografía pulmonar es una excelente herramienta para la sospecha de esta patología.


Comunicaciones y ponencias semFYC: 2025; Comunicaciones: Casos clínicos. ISSN: 2339-9333

Autores

Muñoz Muñoz, Pablo
CS Las Ciudades. Getafe. Madrid
Hermosa Hernán, Juan Carlos
CS Las Ciudades. Getafe. Madrid
Tejedor Molledo, Alejandra
CS Las Ciudades. Getafe. Madrid