Comunicaciones: Casos clínicos

No era una tontería, «¡Doctora gracias por hacerme la ecografía!» (Oral)

Ámbito del caso (Atención Primaria, servicios de Urgencias o atención domiciliaria)

Atención Primaria.

Motivos de consulta

Cervicobraquialgia izquierda con rubefacción mano.

Historia clínica

Antecedentes personales relevantes, anamnesis, exploración física y lugar que ocupa en ella la ecografía

Mujer de 25 años que acude a consulta según refiere «por una tontería», presenta de forma intermitente enrojecimiento en palma de mano izquierda además de dolor en cuello y brazo izquierdo.
Antecedentes personales:Toma ACO (loette), sin FRCV.
Exploración física: TA 120/70 ACP normal, pulsos conservados, dolor a la palpación profunda en región laterocervical izquierda profunda.
Dada clínica atípica con posible origen vascular, se realiza ecografía de MSD para estudio de este.

Descripción de los hallazgos ecográficos y las imágenes más relevantes para la resolución del caso

Ecografía MSD: ausencia de compresión de territorio venoso axilar que se continúa hasta yugular visualizando trombo intraluminal.
Ante paciente joven no fumadora, con único antecedente de toma de anticonceptivos se amplía estudio multiórgano:
Eco pulmonar: patrón de líneas A bilateral sin derrame o consolidaciones.
Eco vascular MMII: sin signos de TVP.
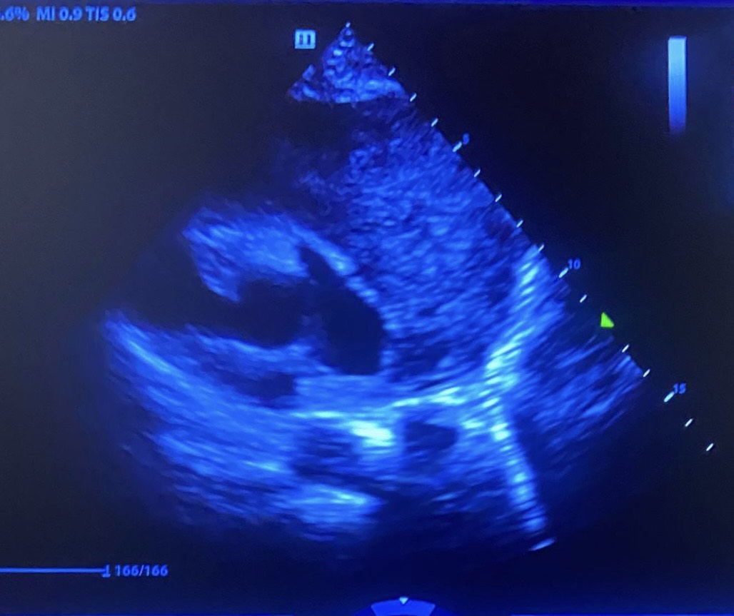
Ecocardiosopia: FEVI normal, ausencia de dilatación de cavidades derechas, sin datos de valvuloptía. Sin derrame pericárdico. En plano paraesternal eje corto masa homogénea e isoecogénica que rodea pericardio, con Doppler positivo.

Otras pruebas complementarias realizadas (si existen)

Ante la sospecha de masa mediastínica se deriva a Urgencias donde se solicita Rx de tórax que confirma lo previo.

Juicio clínico, diagnóstico diferencial, concordancia con el hospital (en su caso)

Posible Linfoma.

Decisiones adoptadas: tratamiento, planes de actuación.

Se ingresa a cargo de Medicina Interna para ampliar estudio mediante CT de tórax.

Evolución y seguimiento

Pendiente de realizar biopsia de confirmación y estudio de extensión.

Conclusiones y aplicabilidad para la medicina de familia

La ecografía clínica se está convirtiendo en una herramienta de gran valor en la consulta ya que nos permite realizar una exploración multiórgano otorgándonos mayor capacidad y facilidad a la hora de diagnosticar y tomar decisiones sobre todo ante cuadros abigarrados o inespecíficos. En este caso pudo agilizar un diagnóstico de alto impacto en nuestra paciente que nos hubiera sido más complicado detectar.

 
 

Comunicaciones y ponencias semFYC: 2025; Comunicaciones: Casos clínicos. ISSN: 2339-9333

Autores

Tejedor Molledo, Alejandra
CS Las Ciudades, Getafe. Madrid
Calderín Morales, María del Pino
CS Las Ciudades, Getafe. Madrid
Posse Ureña, Mª Alicia
CS Las Ciudades, Getafe. Madrid