Comunicaciones: Casos clínicos

No es cólico todo lo que reluce (Oral)

Ámbito del caso (Atención Primaria, servicios de Urgencias o atención domiciliaria)

Atención Primaria.

Motivos de consulta

Dolor hemiabdomen izquierdo.

Historia clínica

Enfoque individual: antecedentes personales, anamnesis, exploración, pruebas complementarias, etc.

Hombre de 38 años, de origen armenio con barrera idiomática/cultural parcial. Fumador de 10 cigarrillos/d. Sin alergias medicamentosas conocidas. A. Familiares de DM en la madre y personales de Varicocelectomía izquierda y orquidopexia derecha sin incidencias por testículo en ascensor (2013).
Consulta a urgencias del centro de salud (día 1) por dolor en hemiabdomen Izquierdo de unos días de evolución sin otra clínica acompañante. Etiquetado de dolor muscular. Consulta de nuevo en un punto de urgencias a los 10 días (día 11) por persistencia del dolor con irradiación a fosa lumbar izquierda. Se practica tira reactiva que muestra hematíes +++, sin más hallazgos y se da de alta con diagnóstico de cólico renal Izquierdo. 
Dos días después (día 14) nueva visita de urgencias a su médico de cabecera por persistencia del dolor.

Enfoque familiar y comunitario: estudio de la familia y la comunidad (si fuese necesario)

No influye en este caso.

Juicio clínico, diagnóstico diferencial, identificación de problemas

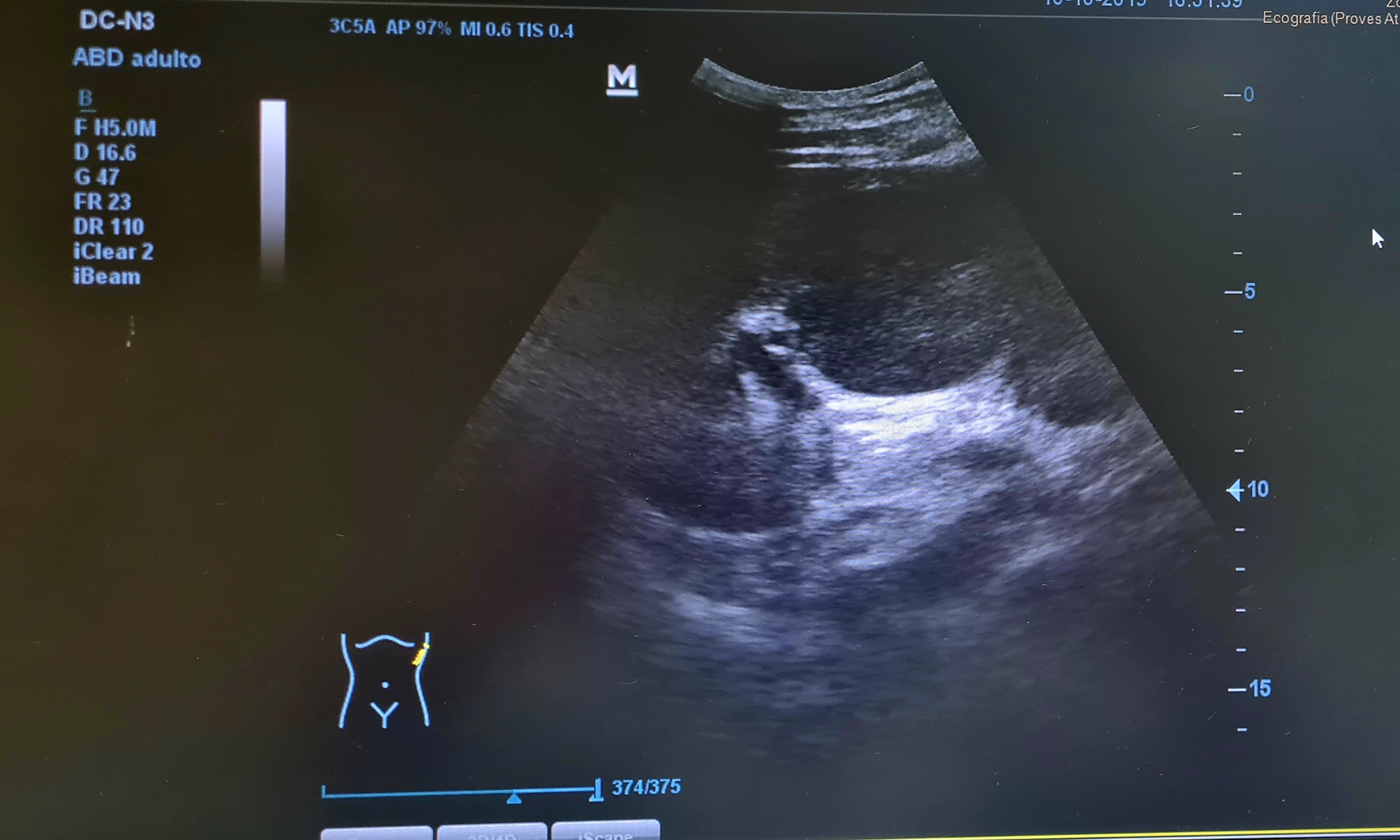
Con el diagnóstico de cólico persistente se practica una ecografía a pie de cama para descartar obstrucción, que muestra una gran masa en hipocondrio Izquierdo, que parece depender de bazo.

Tratamiento y planes de actuación

Se solicita TC abdominal urgente que informa (día 74): Aumento de tamaño del bazo a expensas de voluminosa lesión nodular sólida y heterogénea con centro hipodenso, siendo de unos diámetros máximos aproximados de 8x10,5x13,5 cm, que se asocia a cambios inflamatorios en la grasa periesplénica inferior. Como primera opción diagnóstica sugiere proceso linfoproliferativo.

Evolución

Derivamos a la Consulta de atención inmediata del hospital con la sospecha de linfoma (día 89) que tras revisar PET-TC (día 93) presenta en sesión de linfomas (día 102) que decide esplenectomía (día 115).

En la actualidad se encuentra en seguimiento por hematología, libre de enfermedad.

Conclusiones y aplicabilidad para la medicina de familia

La esplenomegalia no es fácil de sospechar por exploración física.

La ecografía a pie de cama (urgencias) permitió orientar precozmente un diagnóstico grave que podía quedar enmascarado por las múltiples consultas a urgencias, atendido por profesionales distintos, con un diagnóstico frecuente como es el cólico nefrítico.

 


Comunicaciones y ponencias semFYC: 2025; Comunicaciones: Casos clínicos. ISSN: 2339-9333

Autores

Galinsoga Jordá, Anna
CAP Bon Pastor. Barcelona