V Jornadas de Ecografía de la semFYC

9 y 10 de febrero de 2024

Comunicaciones: Casos clínicos

No todo derrame pleural es paraneumónico (póster)

Ámbito del caso

Atención Primaria

Motivos de consulta

fiebre y omalgia derecha

Historia clínica

Enfoque individual

Hombre de 35 años, con antecedente de espondilitis anquilosante sin tratamiento y cirugía del supraespinoso derecho, que consulta por cuadro de omalgia derecha de 15 días de evolución, y que asocia en los últimos 5 días odontalgia, tos seca, ortopnea, y fiebre de hasta 39º. En la exploración física presenta SatO2 99%, FC 107 lpm, caries en tercer molar inferior derecho, con amígdalas sin exudados, hombro derecho con rango articular conservado. En la auscultación, hipofonesis marcada en base derecha. 

Hallazgos ecográficos

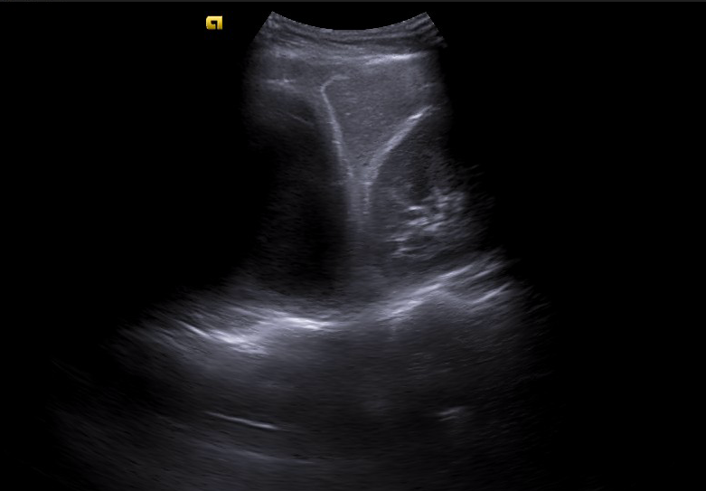
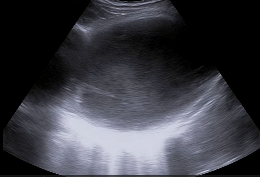
Realizamos ecografía clínica en la consulta objetivando un gran derrame pleural loculado de contenido ecogénico, con finos septos interiores y signo de la espina. Destaca que en el parénquima pulmonar no se observan datos de atelectasia, broncograma aéreo, consolidación ni hepatización, y apenas líneas B.

Pruebas complementarias

Radiografía AP y lateral de hombro derecho realizada en Urgencias dos días antes: sin hallazgos significativos.

Juicio clínico, diagnóstico diferencial, identificación de problemas

Nos planteamos el diagnóstico diferencial de empiema, derrame pleural loculado, hidatidosis o derrame pleural maligno.

Tratamiento y planes de actuación

Derivamos al paciente al Servicio de Urgencias Hospitalarias con sospecha principal de empiema pleural.

Evolución

Se realiza una radiografía de tórax informada como atelectasia basal derecha. El paciente es ingresado en planta de Neumología. Realizan un TAC de tórax con contraste, que confirma un derrame pleural compatible con empiema como primera posibilidad. El paciente evolucionó favorablemente tras antibioterapia y drenaje de 750 cc de material purulento, con mejoría clínica y radiológica. Fue dado de alta a domicilio con el diagnóstico de empiema pleural derecho, probablemente secundario a diseminación hematógena por boca séptica.

Conclusiones (y aplicabilidad para la Medicina de Familia)

La ecografía supone un complemento a la exploración física que puede ayudar de manera decisiva en la toma de decisiones, diagnóstico y seguimiento evolutivo; a veces con mayor rentabilidad que la radiografía, como es nuestro caso.
La endocarditis o la infección de prótesis articulares por diseminación hematógena de un proceso infeccioso dental está bien descrita, sin embargo, presentamos un caso escasamente reportado de empiema pleural, diagnóstico que requiere un alto índice de sospecha y todas las herramientas a nuestro alcance para su mejor manejo.

 


Comunicaciones y ponencias semFYC: 2025; Comunicaciones: Casos clínicos. ISSN: 2339-9333

Autores

Ferris Lopez, Irene
CS La Flota. Vistalegre. Murcia
Moreno Latorre, Carlos
CS La Flota. Vistalegre. Murcia
Segura Martinez, Rosario
CS La Flota. Vistalegre. Murcia