V Jornadas de Ecografía de la semFYC
9 y 10 de febrero de 2024
Enfoque individual
Mujer de 43 años, sin antecedentes de interés, salvo madre hipotiroidea.
Consulta por autopalpación reciente de bulto en cuello sin otros síntomas acompañantes.
Exploración física: Nódulo visible y palpable, localizado en cara anterolateral derecha de cuello de aproximadamente 2 cm de diametro, móvil, no adherido a planos profundos, de consistencia gomosa y no doloroso a la palpación.
Realizimos ecografía clínica en consulta.
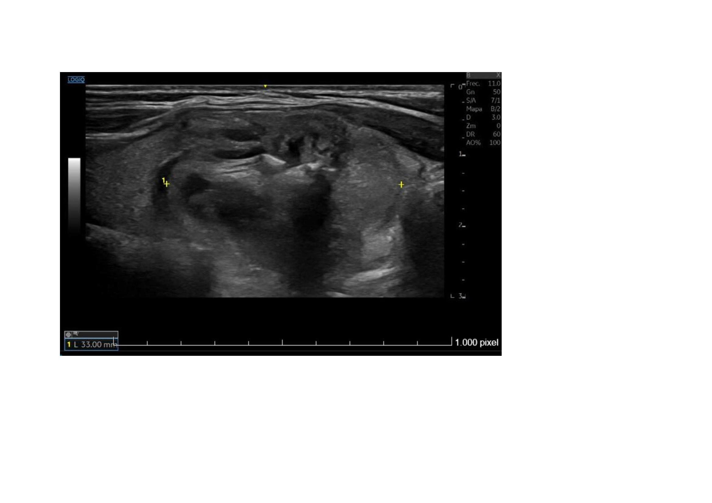
Hallazgos ecográficos
Ecografía clínica: En lóbulo tiroideo derecho observamos nódulo mixto sólido-quístico, de 11,8 x 14,5 x 15,4 mm, de bordes bien delimitados mayoritariamente hipoecogénico, parcialmente tabicado a nivel inferomedial, más alto que ancho con micro calcificaciones en su interior. TIRADS 5.
Ante los hallazgos ecográficos solicitamos Eco-PAAF en nuestro hospital de referencia.
Pruebas complementarias
Analítica normal.Juicio clínico, diagnóstico diferencial, identificación de problemas
Juicio clínico: Nódulo tiroideo TIRADS 5.
Diagnóstico diferencial: Carcinoma de tiroides, quiste tiroideo, adenoma folicular.
Ecografía Hospital: Lóbulo tiroideo derecho aumentado de tamaño (2,2 cm de diámetro anteroposteior), por la presencia de un nódulo sólido, heterogéneo, levemente hipoecoico, bien definido, con áreas de degeneración quística y calcificaciones groseras en su interior, de 22 x 21 x 33 mm. Resto del tiroides sin alteraciones. No se aprecian adenopatías cervicales. Glándulas salivares sin alteraciones. Conclusión: Nódulo en lóbulo tiroideo derecho, único, TIRADS 4.
PAAF (1 pase sin complicaciones) con resultado citológico: sospecha de neoplasia folicular (Categoría IV de Bethesda).
Pese a la discrepancia en la clasificación TIRADS, por el tamaño del nódulo está indicado en ambos casos la realización de PAAF, siendo esta sugestiva de malignidad e indicada la cirugía.
Tratamiento y planes de actuación
Se remite a cirugía general para hemitiroidectomía derecha.
Biopsia de la pieza quirugica: Hiperplasia multinodular. Sin evidencia de neoplasia/malignidad.
Evolución
La paciente se encuentra eutiroidea tras la cirugía.
La ecografía tiene un papel fundamental en las consultas de Atención Primaria, acelerando el proceso diagnóstico y disminuyendo los tiempos de espera para realizar pruebas hospitalarias. Hacen posible orientar el caso antes de derivarlo y realizar una aproximación diagnostica.
Puede darse el caso, que la sospecha diagnostica inicial corroborada por prueba de imagen más estudio citológico suponga un falso positivo.