X Jornadas de Actualización en Medicina de Urgencias y VI Jornadas de Ecografía de la semFYC
6-7-8 de febrero de 2025
Antecedentes personales relevantes, anamnesis, exploración física y lugar que ocupa en ella la ecografía
Mujer de 47 años sin antecedentes relevantes que consulta por bocio palpable de un mes de evolución. Sin clínica acompañante, sin pérdida de peso ni otros síntomas constitucionales.
Buen aspecto general, exploración física rigurosamente normal salvo la palpación cervical, palpándose una aumento de tamaño y consistencia sobre lóbulo tiroideo izquierdo. Ante hallazgos se decide realizar ecografía clínica en consulta.
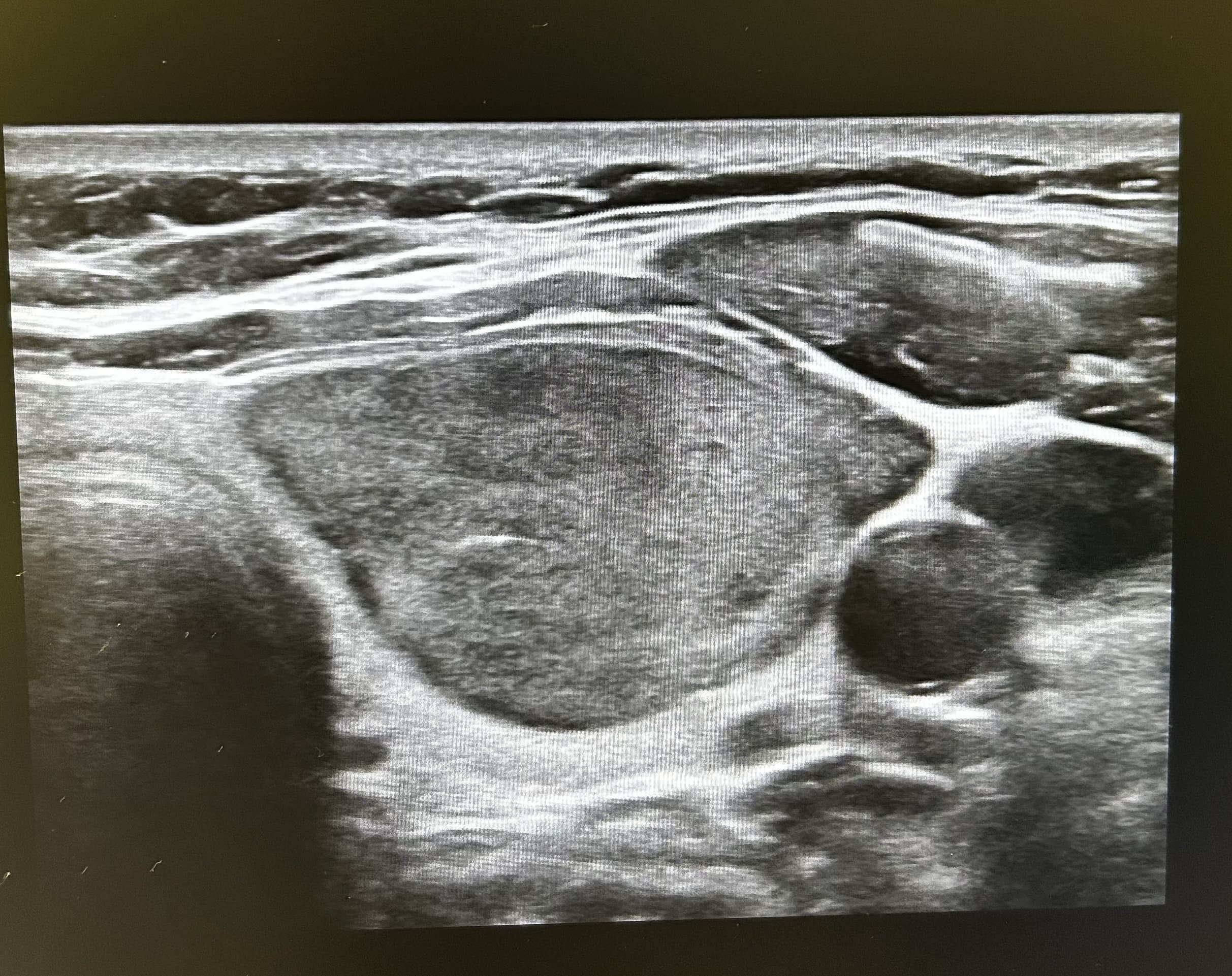
Descripción de los hallazgos ecográficos y las imágenes más relevantes para la resolución del caso
Apreciamos un nódulo tiroideo hipoecogénico y heterogéneo, de bordes irregulares y con vascularización central de 22 milímetros de diámetro mayor (transversal). Sin apreciar microcalcificaciones ni invasión de la glándula. No apreciamos adenopatías cervicales en rango patológico.
Otras pruebas complementarias realizadas (si existen)
Se solicita analítica que no presenta alteraciones, con hormonas tiroideas en el rango de la normalidad y anticuerpos antitiroideos negativos.
Juicio clínico, diagnóstico diferencial, concordancia con el hospital (en su caso)
En ecografía reglada describen características similares con un TI-RADS 4, nódulo sugestivo de malignidad.
Decisiones adoptadas: tratamiento, planes de actuación
Se deriva a endocrino por nódulo tiroideo de características malignas.
Evolución y seguimiento
Es un caso clínico reciente, la paciente está pendiente del resultado de la anatomía patológica ya que se le ha hecho una punción aspirativa con aguja fina (PAAF).
En nuestro caso la ecografía es fundamental para filiar la patología de la paciente. La posibilidad de realizarla en nuestra propia consulta desde el primer contacto con el paciente nos ayuda a despejar la incertidumbre del proceso, ahorrar tiempos y agilizar tanto el diagnóstico como el tratamiento de la patología en cuestión.

