Comunicaciones: Casos clínicos

Obstrucción bilateral de vía urinaria por aneurisma aórtico infrarrenal (Oral)

Ámbito del caso (Atención Primaria, servicios de Urgencias o atención domiciliaria)

Urgencias.

Motivos de consulta

Recorte de diuresis, debilidad progresiva.

Historia clínica

Enfoque individual: antecedentes personales, anamnesis, exploración, pruebas complementarias, etc.

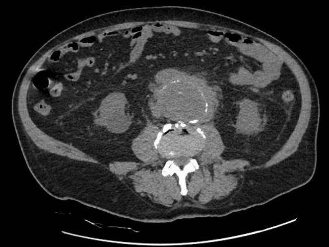
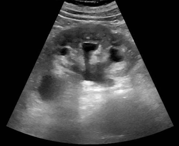
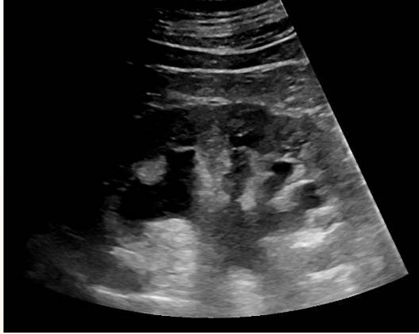
Hombre de 69 años. Antecedentes personales: diabetes mellitus tipo 2, hipertensión arterial, hipercolesterolemia.Acude a Urgencias por astenia progresiva de un mes de evolución y recorte de diuresis. Exploración: palidez mucocutánea. Normotenso y eupneico. Auscultación cardiorespiratoria normal. Abdomen globuloso, blando, no doloroso. Analítica: Hb 9 (previa 11 dos meses antes), urea 160, creatinina 10,9 (previa 1,7), proteína C reactiva 120. Resto anodino (no leucocitosis ni alteraciones iónicas, urianálisis negativo). EFNa: 14% (posrenal). Ecografía renal, que evidencia hidronefrosis bilateral grado III, sin causa obstructiva aparente. Dada la evolución tórpida pese a sueroterapia y diuréticos, se realiza TAC abdominal para continuar estudio de la causa obstructiva: aneurisma de aorta abdominal infrarrenal, con rotura contenida por hematoma y compresión extrínseca de ambos uréteres.

Enfoque familiar y comunitario: estudio de la familia y la comunidad (si fuese necesario)

Es importante tener en cuenta el contexto sociocultural del paciente y familiares para transmitirles la información sobre su diagnóstico y recomendaciones terapéuticas facilitando su comprensión y resolviendo las posibles dudas. 

Juicio clínico, diagnóstico diferencial, identificación de problemas

Juicio clínico: Rotura contenida de aneurisma de aorta infrarrenal, comprensión extrínseca ureteral bilateral e insuficiencia renal aguda secundaria.

Diagnóstico diferencial: Insuficiencia renal prerrenal, renal o posrenal (otras causas: hipertrofia benigna de próstata, globo vesical, tumores, litiasis...)

Tratamiento y planes de actuación.

Monitorización hemodinámica. Se traslada a quirófano de forma urgente para colocación de endoprótesis por vía femoral. 

Evolución

Evolución clínica y analítica favorable, normalizándose la función renal y sin episodios de inestabilidad hemodinámica. 

Conclusiones y aplicabilidad para la medicina de familia

En el ámbito de la medicina de Urgencias, hay que discernir entre la insuficiencia prerrenal, renal o posrenal y sus respectivas causas para un correcto diagnóstico etiológico y enfoque terapéutico.

Respecto a la Ecografía, es esencial una sistemática de exploración minuciosa para mayor rentabilidad diagnóstica. La generalización del uso de la ecografía Atención Primaria y en Urgencias supone un diagnóstico más rápido y preciso, y por tanto una mejor atención al paciente. 

En Atención Primaria es primordial el seguimiento estrecho y el control de los factores de riesgo cardiovascular, ya que suponen un incremento del riesgo de desarrollar complicaciones como la del caso que nos ocupa, comprometiendo la salud e incluso la vida del paciente si no se controlan de forma adecuada.


Comunicaciones y ponencias semFYC: 2025; Comunicaciones: Casos clínicos. ISSN: 2339-9333

Autores

Montilla Lopez, Ana Maria
Hospital de Alta Resolución de Écija. Sevilla
Amodeo Durán, Rosario
Hospital de Alta Resolución de Écija. Sevilla