Comunicaciones: Casos clínicos

Paciente oncológica con dolor pleurítico: un recorrido diagnóstico guiado por ecografía (Póster)

Ámbito del caso (Atención Primaria, servicios de Urgencias o atención domiciliaria)

Urgencias Atención Primaria.

Motivos de consulta

Dolor costal.

Historia clínica

Enfoque individual: antecedentes personales, anamnesis, exploración, pruebas complementarias, etc.

Mujer de 51 años, sin alergias medicamentosas, fumadora 3 paquete/año. Cáncer de mama con tumorectomía, Radioterapia, Tamoxifeno. 

Consulta por dolor pleurítico derecho , tos seca y astenia de 7 días Niega traumatismo ni sobresfuerzo.

Afebril, Taquicárdica a 114 latidos/minuto, Hipertensa 184/91 mmHg, Saturación oxígeno 91%. Auscultación cardio/respiratoria: rítmica sin soplos, Hipofonesis pulmonar base derecha. 

Electrocardiograma: normal 

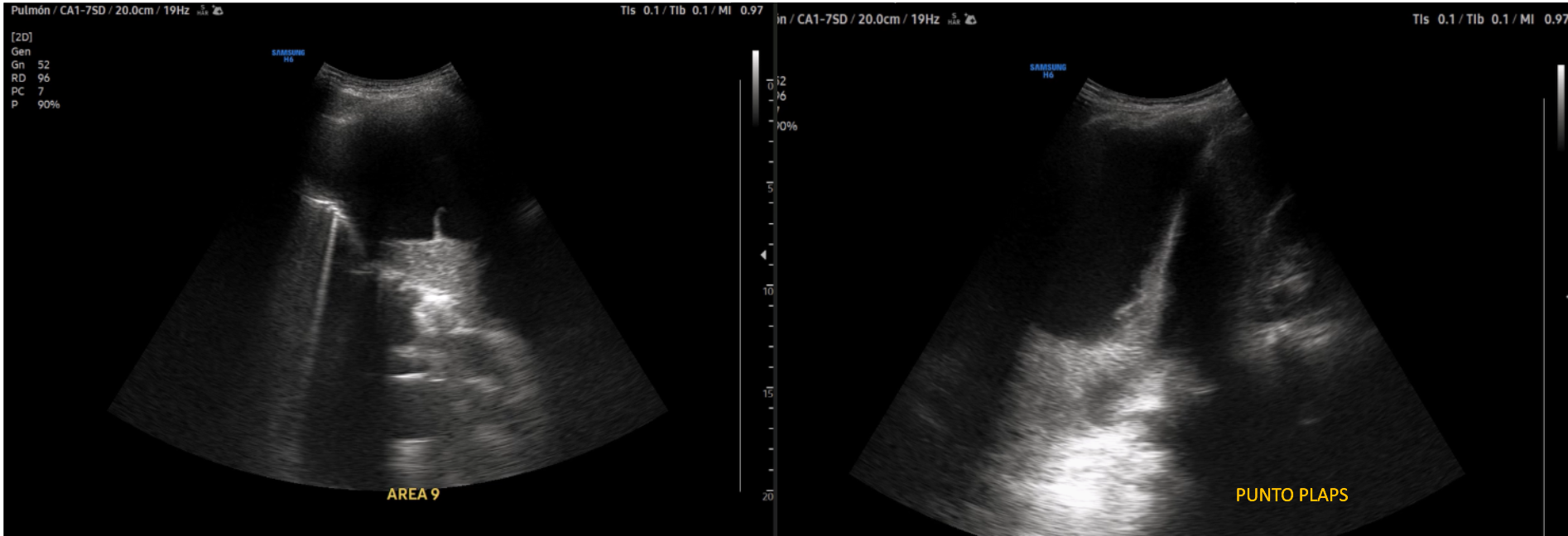
Realizamos Ecografía clínica pulmonar: imagen anecoica con septos finos y signo de la medusa compatible con derrame pleural tabicado con atelectasia en base derecha de aproximadamente 1150 ml por cuantificación de Goecke 2, en ápex líneas B finas. Campo pulmonar izquierdo líneas A. 
Remitimos a urgencias de hospital.

Juicio clínico, diagnóstico diferencial, identificación de problemas

Derrame pleural (DP) masivo complejo. Diagnóstico diferencial DP de origen paraneoplásico, infeccioso, autoinmune/inflamatorio. Tromboemlismo Pulmonar ( TEP) 

Tratamiento y planes de actuación.

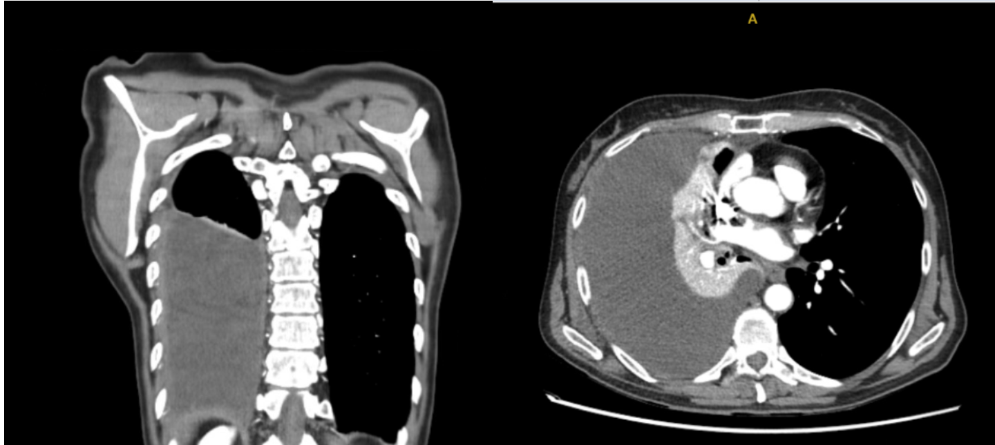
En urgencias hospitalarias: Dímero D 1400 , sin leucocitosis, Radiografía de tórax derrame pleural derecho, Angiografía pulmonar: descarta TEP. Moderado/severo derrame pleural derecho con atelectasia pasiva.  

Múltiples toracocentesis diagnósticas/evacuadoras total de 1,08 litros y con líquido pleural tipo exudado linfocítico; microbiología y citología negativa. Ecografía pulmonar control: persistencia de DP y aumento de tabicación. Tomografía abdomino pélvico confirma persistencia de derrame. Analítica destaca PCR y Procalcitonina elevadas. Nueva toraconcentésis ecodirigida: líquido pútrido, cultivo de DP: positiva para Parvimonas micra Fusobacterium nucleatum. Antígeno orina positivo: neumococo. Inicia Piperacilina/Tazobactam e inserción drenaje pleural con aspiración e instilación de urokinasa durante 10 días. 

Evolución

Se retira drenaje con evolución favorable y diagnóstico final de Sepsis respiratoria en contexto de neumonía neumocócica con empiema pleural.  

Conclusiones y aplicabilidad para la medicina de familia

La ecografía pulmonar es una herramienta útil para diagnosticar diversas causas de dificultad respiratoria aguda, el protocolo BLUE (bedside lung ultrasound in emergency) permite realizar diagnóstico diferencial de diferentes enfermedades pulmonares como (neumonía, insuficiencia cardíaca, asma, embolia pulmonar, derrame pleural con una precisión muy alta, a menudo superior a la radiografía de tórax. Ayuda además a guiar procedimientos: como toracocentesis y biopsias, a evaluar derrames pleurales: Describiendo sus características y ubicación. También Monitorizar la evolución de la enfermedad: Permitiendo ver cómo responde el paciente al tratamiento. Es una prueba rápida, no invasiva y precisa que ha mejorado significativamente la atención a pacientes en urgencias y atención primaria con patología respiratoria aguda.


Comunicaciones y ponencias semFYC: 2025; Comunicaciones: Casos clínicos. ISSN: 2339-9333

Autores

Gentil Girón, María Del Prado
CS Platja de Palma. UBS Arenal. Palma de Mallorca
Mendieta Lagos, Mª Nieves
CS Platja de Palma. UBS Arenal. Palma de Mallorca
Garcia-Castrillón Menén, Claudia
CS Platja de Palma. UBS Arenal. Palma de Mallorca