V Jornadas de Ecografía de la semFYC

9 y 10 de febrero de 2024

Comunicaciones: Casos clínicos

Peritoniticulosis (póster)

Ámbito del caso

Servicios de Urgencias.

Motivos de consulta

Diarrea.

Historia clínica

Enfoque individual

Anamnesis: Varón de 40 años, hipertenso, consulta por 12 días de diarrea sin productos patológicos, distensión abdominal, astenia y sensación distérmica. Niega dolor abdominal, ni otra clínica por aparatos y sistemas.

Exploración física: regular estado general, 37.8ºC, TA 109/79 mmHg, 74 lpm, 28 rpm. Abdomen con ruidos hidroaéreos de frecuencia disminuida y timbre normal, mate, signo de oleada ascítica positivo, no doloroso, sin irritación peritoneal, sin circulación colateral. Resto de exploración física anodina.

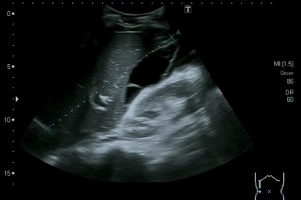
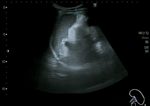
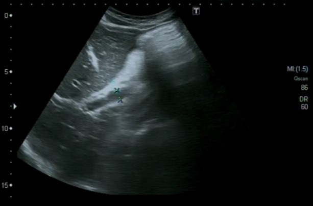
Hallazgos ecográficos

Ecografía abdominal, en la que se identifica abundante cantidad de líquido libre intraperitoneal, a nivel perihepático, periesplénico e interasas, sugestivo de asticis. Hígado, bazo, vía biliar, riñones y vejiga normales.

Pruebas complementarias

Analítica: elevación de reactantes de fase aguda (PCR 26 mg/dL, LDH 314 U/L, fibrinógeno 1068 mg/dL), colestasis disociada, linfopenia, serie roja y plaquetas normales.

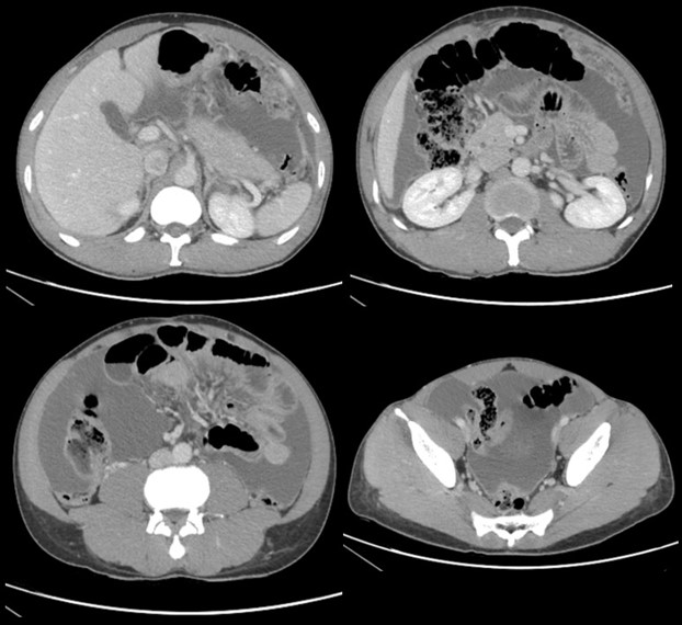
TAC abdominopélvico: abundante líquido libre intraperitoneal con signos de peritonitis y engrosamiento omental.

Paracentesis abdominal: 1192 leucocitos/μL (20% polimorfonucleados), glucosa 63 mg/dL, proteínas 5.15 g/dL. Gradiente albúmina suero/líquido ascítico (GASA) < 1.1.

Juicio clínico, diagnóstico diferencial, identificación de problemas

Ascitis a estudio, sugestiva de peritonitis tuberculosa

Tratamiento y planes de actuación

Se completa el estudio en hospitalización con serología de virus hepatotropos, positiva para VHB, adenosina desaminasa (ADA) 127.10 U/l, interferón gamma 1433 pg/ml, detección de interferón gamma (IGRA) positivo, marcadores tumorales negativos y cultivos de líquido ascítico inicialmente negativos, en los que tras larga incubación se aísla Mycobacterium tuberculosis complex confirmando el diagnóstico de presunción de peritonitis de etiología tuberculosa.

Evolución

El paciente presenta peritonitis linfocitaria tuberculosa, sin afectación pulmonar (tratamiento con Rifampicina 300 mg, Isoniacida 150mg, Pirazinamida 250 mg y Etambutol 400 mg) e infección crónica por VHB no replicativa, sin hepatopatía (tratamiento con Prednisona 10mg y Entecavir 0,5mg). Evolución satisfactoria, con controles analíticos posteriores normales, con alta por Enfermedades Infecciosas y Medicina del Aparato Digestivo.

Conclusiones (y aplicabilidad para la Medicina de Familia)

La ecografía clínica es una herramienta esencial en el diagnóstico de la ascitis. Permite la identificación y cuantificación precisa del líquido, además de evaluar su distribución. La realización de paracentesis guiada por ecografía es fundamental para establecer la causa subyacente de la ascitis, permitiendo obtener muestras de líquido para su análisis. La combinación de la ecografía y la paracentesis mejora la precisión diagnóstica y guía la atención médica apropiada.

 


Comunicaciones y ponencias semFYC: 2025; Comunicaciones: Casos clínicos. ISSN: 2339-9333

Autores

Angulo García, Cristina
CS Orcasitas. Hospital Universitario 12 de octubre. Madrid.
Gil Mosquera, Manuel
Urgencias, Hospital Universitario 12 de octubre. Madrid
García De Francisco, Sara
Centro de Salud Orcasitas. Madrid