V Jornadas de Ecografía de la semFYC

9 y 10 de febrero de 2024

Comunicaciones: Casos clínicos

Qué puede esconder un dolor abdominal (póster)

Ámbito del caso

Servicios de Urgencias.

Motivos de consulta

Dolor abdominal.

Historia clínica

Enfoque individual

Varón de 82 años, con antecedentes de hipertensión arterial y adenoma prostático, que acude al servicio de Urgencias por dolor abdominal de doce horas de evolución, irradiado a flanco derecho, que no cede con analgesia. No presenta fiebre ni otra sintomatología acompañante.

En la exploración física, destaca hipertensión (220/110 mmHg) con un abdomen distendido, doloroso a la palpación profunda en mesogastrio. En analítica, destaca leucocitosis con neutrofilia y reactantes de fase aguda elevados.
Ante la persistencia del dolor pese a analgesia, se realiza ecografía abdominal a pie de cama.

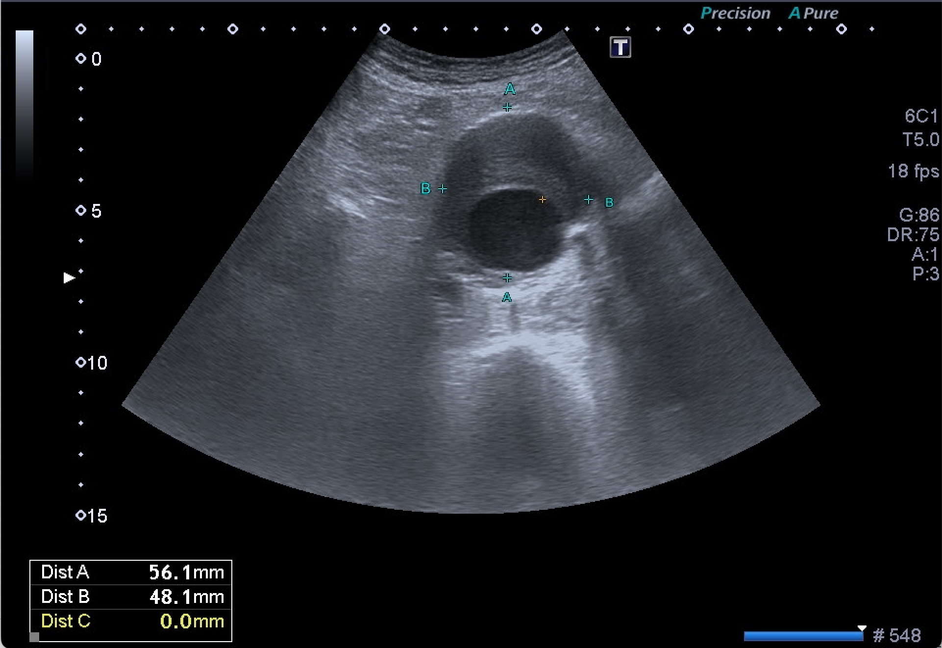
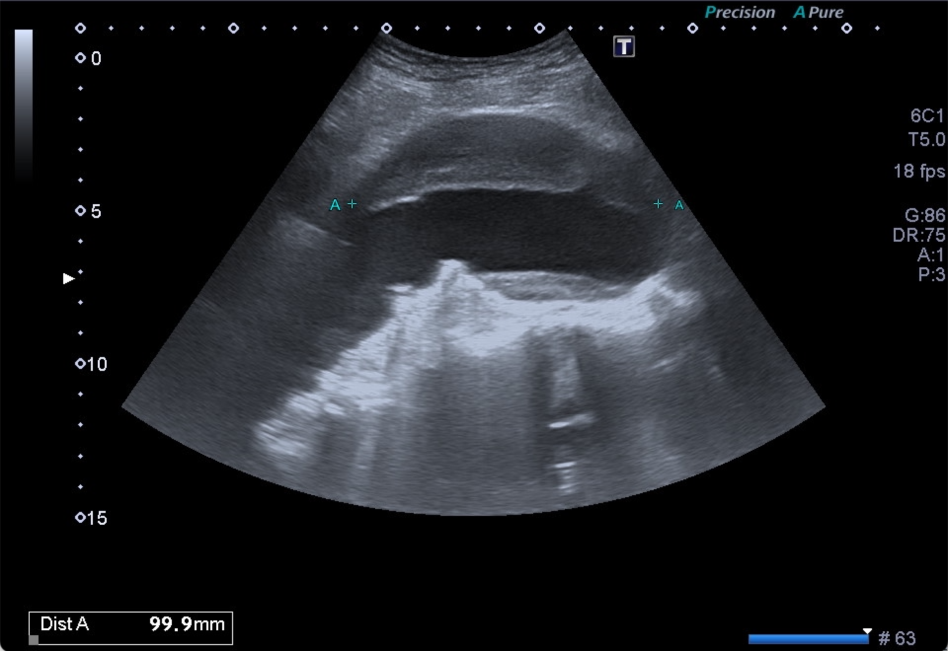
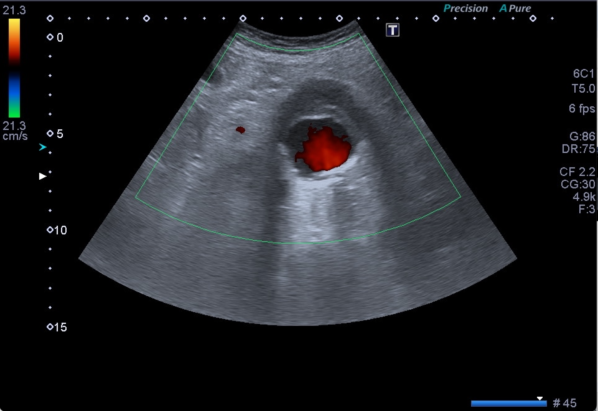
Hallazgos ecográficos

Destaca la visualización de probable litiasis renal derecha, junto con el hallazgo incidental de aneurisma de aorta abdominal, de unos 5,8 cm de diámetro máximo en el plano axial, el cual presenta trombo mural.

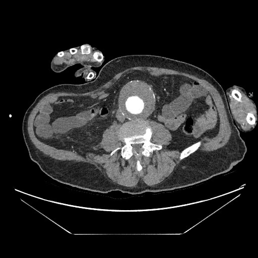
Pruebas complementarias

Dados los hallazgos, se completa estudio con AngioTC, confirmando la existencia de aneurisma infrarrenal de 6 mm de diámetro mayor, junto con litiasis renal derecha de 5,5 mm y dilatación de la pelvis renal.

Juicio clínico, diagnóstico diferencial, identificación de problemas

Juicio clínico: Aneurisma de aorta infrarrenal.

Diagnóstico diferencial: Disección aórtica.

Tratamiento y planes de actuación

Se decidió actitud conservadora tanto por parte de Urología como de Cirugía Vascular, optimizando tratamiento hipotensor e intentando expulsivo espontáneo con tratamiento con Tamsulosina y Finasterida.

Evolución

El paciente finalmente fue intervenido quirúrgicamente, debido a la refractariedad del tratamiento conservador.

Conclusiones (y aplicabilidad para la Medicina de Familia)

Un aneurisma es una dilatación segmentaria de espesor completo de un vaso sanguíneo un 50% mayor que su diámetro normal. La aorta abdominal infrarrenal es la localización más frecuente y su diámetro normal es < 3 cm. La mayoría son asintomáticos. Los factores de riesgo de aparición incluyen la edad avanzada, sexo masculino, tabaquismo, antecedentes familiares positivos y presencia de otro aneurisma de las grandes arterias. El riesgo de rotura aumenta con el gran diámetro inicial del aneurisma, ser fumador activo, hipertensión, sexo femenino y presencia de síntomas. El diagnóstico definitivo requiere estudios de imagen abdominal que demuestren una dilatación focal y aórtica que cumpla con los criterios de aneurisma. Respecto al tratamiento, para los aneurismas asintomáticos < 5,5 cm se recomienda manejo conservador, mientras que para diámetros mayores de 5,5 cm y/o sintomáticos, se recomienda tratamiento quirúrgico, ya sea cirugía abierta o endovascular.
 
 
 
 

Comunicaciones y ponencias semFYC: 2025; Comunicaciones: Casos clínicos. ISSN: 2339-9333

Autores

Rivera Alonso, Inés
CS Ciudad Real II. Ciudad Real
Sevilla Reyes, María Nazaret
CS Ciudad Real II. Ciudad Real
González Rodríguez, Lorena
C.S Daimiel I. Ciudad Real