Comunicaciones: Casos clínicos

Radiografía, ¿para qué? (Oral)

Ámbito del caso (Atención Primaria, servicios de Urgencias o atención domiciliaria)

Atención Primaria, consulta. 

Motivos de consulta

Disnea.

Historia clínica

Antecedentes personales relevantes, anamnesis, exploración física y lugar que ocupa en ella la ecografía

Paciente varón de 64 años con antecedente personal de DM2, HTA, TIA y cardiopatía isquémica que acude a la consulta por disnea de 3 días de evolución acompañado de disnea paroxística nocturna y ortopnea. A la exploración física: taquipneico, hipertenso, saturando a 92%, con MV disminuido en bases, crepitantes laterales y edema en miembros inferiores. 
Se decide realizar ecografía cardiopulmonar a fin de orientar la disnea del paciente ya que se dispone de dicha herramienta «a pie de camilla» en consulta. 

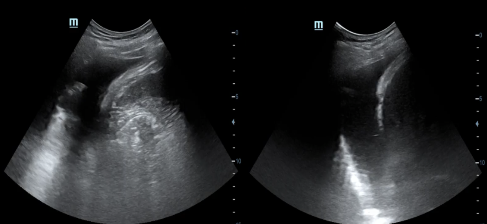
Descripción de los hallazgos ecográficos y las imágenes más relevantes para la resolución del caso

A la exploración ecográfica pulmonar se objetivan líneas B en ambos campos anteriores y superiores, así como derrame pleural bilateral, orientando la causa de la disnea hacia la insuficiencia cardíaca. 
A nivel cardiológico, observamos una disminución de la fracción de eyección y un aumento de la presión venosa central.
De esta manera se descartan otras causas de disnea como la neumonía o TEP, y se confirma la insuficiencia cardíaca.

Otras pruebas complementarias realizadas (si existen)

EKG sin hallazgos.

Juicio clínico, diagnóstico diferencial, concordancia con el hospital (en su caso)

Insuficiencia cardíaca. 
Diagnóstico diferencial con: neumonía o TEP. 

Decisiones adoptadas: tratamiento, planes de actuación

Se decide oxigenoterapia con vmask al 40% 12l, 2 puff de nitroglicerina, 40 mg de furosemida intravenoso y tras estabilización del paciente se decide traslado hospitalario que confirma el diagnóstico. 

Evolución y seguimiento

A posteriori en consulta se realiza ecografía de control donde se observa la desaparición de líneas B y resolución del derrame pleural bilateral. 

Conclusiones y aplicabilidad para la medicina de familia

Queremos resaltar con este caso clínico la enorme utilidad diagnóstica de la ecografía y sus ventajas de tenerla a disposición a pie de cama. De esta manera obtuvimos un diagnóstico y tratamiento rápidos y precisos sin necesidad de irradiar al paciente. Pese a nuestra posibilidad en el centro para realizar radiografía de tórax y analítica urgente con BNP, orientamos el caso de forma eficiente desde la consulta.  
Del mismo modo, nos gustaría subrayar nuestra capacidad de controlar la evolución del paciente en visitas posteriores haciendo uso del ecógrafo.

 


Comunicaciones y ponencias semFYC: 2025; Comunicaciones: Casos clínicos. ISSN: 2339-9333

Autores

Suárez Gil, Melisa Del Carmen
CS de Maspalomas. Las Palmas de Gran Canaria
Quevedo Curbelo, Jorge
CS de Maspalomas. Las Palmas de Gran Canaria
Junco Acosta, Ana
CS de Maspalomas. Las Palmas de Gran Canaria