Comunicaciones: Casos clínicos

Reduciendo la discordancia, reduciendo la incertidumbre en nuestro día a día (Póster)

Ámbito del caso (Atención Primaria, servicios de Urgencias o atención domiciliaria)

Urgencia hospitalaria.

Motivos de consulta

Disnea.

Historia clínica

Enfoque individual: antecedentes personales, anamnesis, exploración, pruebas complementarias, etc.

Paciente de 61 años derivado a Servicio de Urgencia Hospitalaria por su médica de familia por cuadro de sensación disneica de unas 48-72 horas de evolución. Sin fiebre, sin dolor torácico, sin otra clínica asociada.  

Antecedentes patológicos: Fumador de 10 cigarrillos/día, HTA, obesidad.

TA: 120/77 mmHg; afebril, FC 113; SatO2 94%.
Taquipneico en reposo. Exploración normal.

Juicio clínico, diagnóstico diferencial, identificación de problemas

¿Tromboembolismo pulmonar? ¿Infarto de miocardio? ¿Neumonía? ¿EPOC? ¿Anemia?

Tratamiento y planes de actuación.

Antes de solicitar otras pruebas complementarias, se decide realizar ecografía clínica pulmonar. Se detecta un patrón intersticial focal en base izquierda, con condensación basal, mínimo derrame pleural y líneas B periféricas. Deslizamiento pleural conservado bilateral.

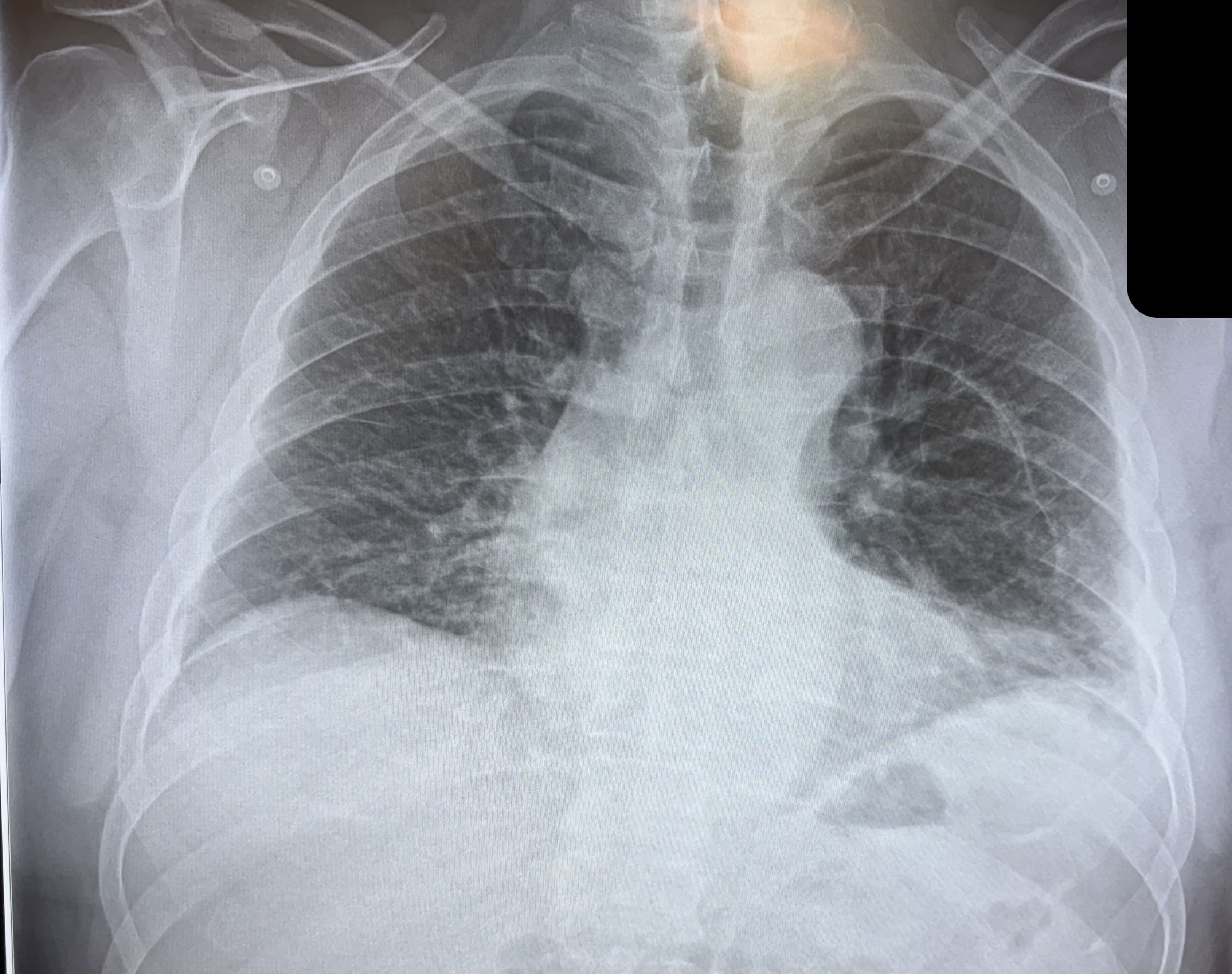
Así pues, se confirma la existencia de una neumonía basal izquierda. Decido, pues, realizar analítica sanguínea con hemograma y bioquímica, que confirma parámetros de características infecciosas con leucocitosis de 15.000 m con 9.300 segmentados y PCR 9,38 mg/dL. Resto de parámetros, incluyendo troponina, en rango de normalidad. ECG normal y radiografía de tórax con bulla ya conocida parahiliar izquierda, resto normal.

Ante paciente con CURB-65 con 1 punto, se da alta domiciliaria con amoxicilina 1000 mg cada 8 horas durante 10 días. Recomendamos, además, revisión con su médica de familia en unos días.

Evolución

A la revisión a los 4 días con su médica de familia, el paciente presenta SpO2 97% y mejoría clínica importante. Ante buena evolución del cuadro, se decide, pues, acortar la duración de la antibioterapia a 5 días.

Conclusiones y aplicabilidad para la medicina de familia

A veces, los hallazgos clínicos de un paciente (sus signos, síntomas...) no coinciden con los resultados de las pruebas de imagen. La discordancia clínico-radiológica, pues, existe. Este caso es un buen ejemplo de ello: el paciente tenía una neumonía, pero la imagen radiológica no fue capaz de visualizarla. Esto, a menudo, implica al profesional a reconsiderar y reevaluar el diagnóstico inicial, buscar nuevas explicaciones para los síntomas presentes...

Sin embargo, la ecografía clínica resultó ser una herramienta fundamental en este caso, proporcionando información diagnóstica rápida, no invasiva y en tiempo real. Y en este caso, fue desde el primer momento, permitiéndonos centrar el caso y conferirle el tiempo y la atención necesaria acorde a la gravedad del mismo.

Como curiosidad, las neumonías suelen presentarse como área hiperecoicas o con sombras acústicas en casos más graves.

 

Comunicaciones y ponencias semFYC: 2025; Comunicaciones: Casos clínicos. ISSN: 2339-9333

Autores

Domene Ojalvo, Joel
CS Piedrasblancas. Castrillón, Asturias
García Martínez, Sarai
CS Pravia. Asturias
Fernández Fuentes, Ana
CS Las Vegas. Las Vegas, Corvera, Asturias