Comunicaciones: Casos clínicos

Rotura cardíaca (Oral)

Ámbito del caso (Atención Primaria, servicios de Urgencias o atención domiciliaria)

Hombre de 92 años, remitido a nuestro servicio por dolor torácico opresivo irradiado a espalda estando en reposo, con cortejo e hipotensión. Presenta buena calidad de vida, solo toma analgésicos si precisa por artrosis y tratamiento hormonal mensual por un adenocarcinoma de próstata desde 2013.

Motivos de consulta

A su llegada impresiona de gravedad con hipoperfusión distal. Es valorado en la sala de críticos donde se le realiza un ECG que muestra elevación ST en cara lateral I y AVL.

Se realiza interconsulta a Cardiología quien realiza una ecografía clínica cardíaca a pie de cama objetivando acinesia en ápex del ventrículo izquierdo con falta de continuidad a nivel septo-apical con flujo doppler compatible con rotura cardíaca a nivel de ápex que origina un derrame pericárdico moderado-severo, con colapso de ventrículo derecho. 

Historia clínica

Enfoque individual: antecedentes personales, anamnesis, exploración, pruebas complementarias, etc.

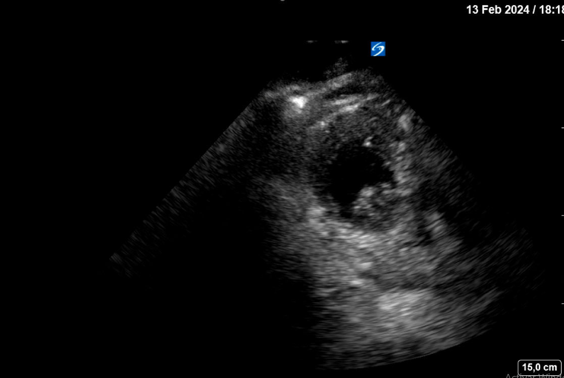
La estabilización hemodinámica junto a los parámetros clínico-ecográficos indican un taponamiento fibrinoso de la rotura cardíaca. Se decide ingreso en planta de medicina interna tras pico de troponina de 7000 pg/mL con el diagnóstico rotura cardíaca contenida. A las 10 horas de la 2ª ecografía clínica y antes de su traslado a una planta médica, se realiza una tercera ecografía clínica dirigida estando el paciente consciente, estable sin dolor. En el mismo se aprecia el mismo derrame pericárdico moderado idéntico al objetivado previamente, pero hay un nuevo hallazgo en el ápex del VI: un trombo intracavitario adherido (imagen 2).

Tratamiento y planes de actuación.

Ingreso en planta medicina interna.

Evolución

Ingresa en planta donde 5 días después se mantiene estable comenzando con dolor abdominal y disnea, probables émbolos secundarios al trombo intracavitario (no se realizan ecografías clínicas posteriores durante su ingreso en planta médica).

Conclusiones y aplicabilidad para la medicina de familia

La relevancia de la Ecografía clínica en los servicios de Urgencia para realizar diagnósticos de un modo rápido y más acertado se está imponiendo con fuerza en los últimos años.

La realización de difusión de protocolos dirigidos en el servicio es necesaria por la importancia de una homogenización de ésta herramienta en el personal de un servicio de Urgencias.

Con este caso queremos mostrar la importancia de las ecografías seriadas para ofrecer un diagnóstico clínico evolutivo y pronóstico más acertado.

 


Comunicaciones y ponencias semFYC: 2025; Comunicaciones: Casos clínicos. ISSN: 2339-9333

Autores

Herrero Azpiazu, Alfonso
Hospital Universitario de Navarra (HUN). Pamplona
Tiberio Berrade, Miguel
Hospital Universitario de Navarra (HUN). Pamplona
García Echeverría, Pablo
Hospital Universitario de Navarra (HUN). Pamplona