V Jornadas de Ecografía de la semFYC

9 y 10 de febrero de 2024

Comunicaciones: Casos clínicos

Seguimiento de un hemangioma (póster)

Ámbito del caso

Consulta de Atención Primaria.

Motivos de consulta

Seguimiento de hemangiomas hepáticos.

Historia clínica

Enfoque individual

Mujer de 34 años sin antecedenters de interés y sin tratamientos crónicos. Acude a consulta para seguimiento de hemangiomas hepáticos detectados en 2015 de forma casual en ecografía abdominal al realizar estudio por diarreas crónicas por parte de digestivo. Dado que se trata de una lesión benigna sin criterios de intervención quirúrgica en el momento del diagnóstico se decide realizar seguimientos ecográficos. En el centro de Salud hay acceso a ecógrafo y su médico de Atención Primaria realiza ecografías de forma rutinaria por lo que se decide realizar el seguimiento desde la propia consulta con medición de lesiones de forma periódica, realizando derivación en caso de crecimiento con criterios de intervención.

Hallazgos ecográficos

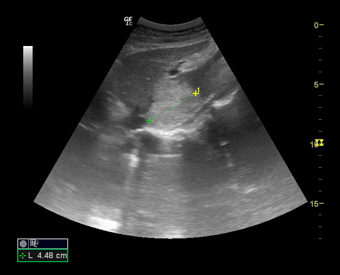
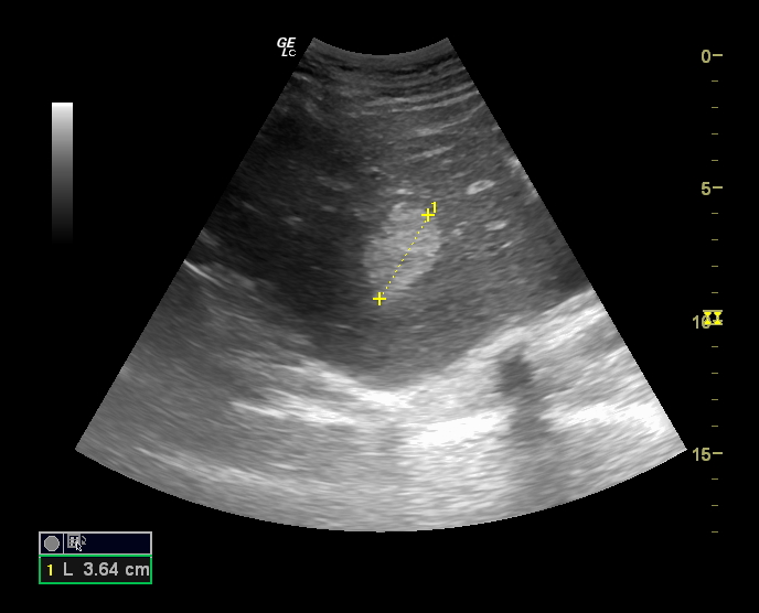
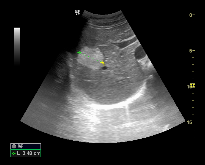
En la última ecografía realizada en febrero de 2023 presenta múltiples hemangiomas (lesiones hiperecogénicas), el de mayor tamaño en lóbulo caudado de 41 x 38 mm, segmento VIII dos, uno de 53 x 40 mm y otro de 17 mm, en segmento IV de 16 mm y en segmento VII de 9 mm.

Pruebas complementarias

No se realizaron.

Juicio clínico, diagnóstico diferencial, identificación de problemas

Hemangiomas hepáticos.

Tratamiento y planes de actuación

Seguimiento ecográfico anual.

Evolución

Desde el inicio del seguimiento en 205 los hemangiomas se mantienen estables presentando medidas similares en ecografías realizadas.

Conclusiones (y aplicabilidad para la Medicina de Familia)

Los hemangiomas son lesiones benignas con criterios de intervención cuando presentan complicaciones como sangrados o crecen más de 3 mm al año. Si no cumplen criterios de intervención, precisan un seguimiento ecográfico para poder detectar modificaciones de los mismos.
El acceso a la ecografía desde Atención Primaria ofrece mayor accesibilidad a los pacientes y rapidez en su realización, con la consiguiente reducción en la lista de espera de ecografías realizadas por radiología.
En el caso de lesiones benignas que precisan un seguimiento esográfico como puede ser el hemangioma pueden beneficiarse de la realización del mismo desde Atención Primaria.
 
 
 
 

Comunicaciones y ponencias semFYC: 2025; Comunicaciones: Casos clínicos. ISSN: 2339-9333

Autores

Salazar Lozano, Elena
CS Pola de Siero. Oviedo
Fernández González, Lucía
CS Pola de Siero. Oviedo
Salazar Lozano, Camino
CS Circular. Valladolid