Comunicaciones: Casos clínicos

Seguimiento en Atención Primaria de un supuesto hematoma (Póster)

Ámbito del caso (Atención Primaria, servicios de Urgencias o atención domiciliaria)

Atención Primaria.

Motivos de consulta

Bultoma en muslo izquierdo tras traumatismo leve.

Historia clínica

Antecedentes personales relevantes, anamnesis, exploración física y lugar que ocupa en ella la ecografía

Mujer, 30 años sin antecedentes. Vive con su marido y su hija de 3 años. Trabaja de auxiliar en una residencia de la tercera edad.
Acude a consulta por aparición de bultoma en muslo izquierdo tras traumatismo leve. En la exploración, se objetiva tumoración profunda dolorosa a la palpación, sin eritema ni aumento de la temperatura local.

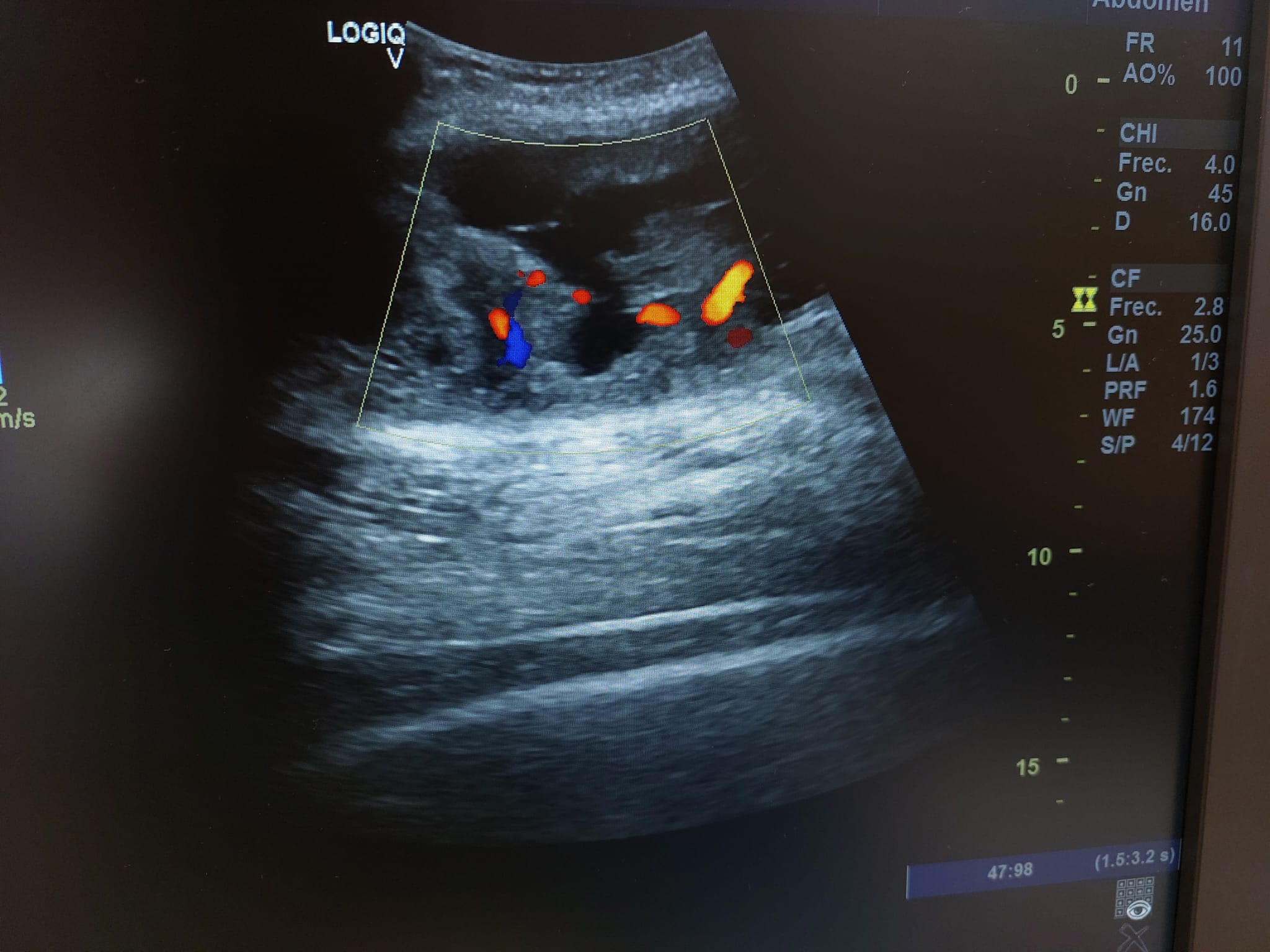
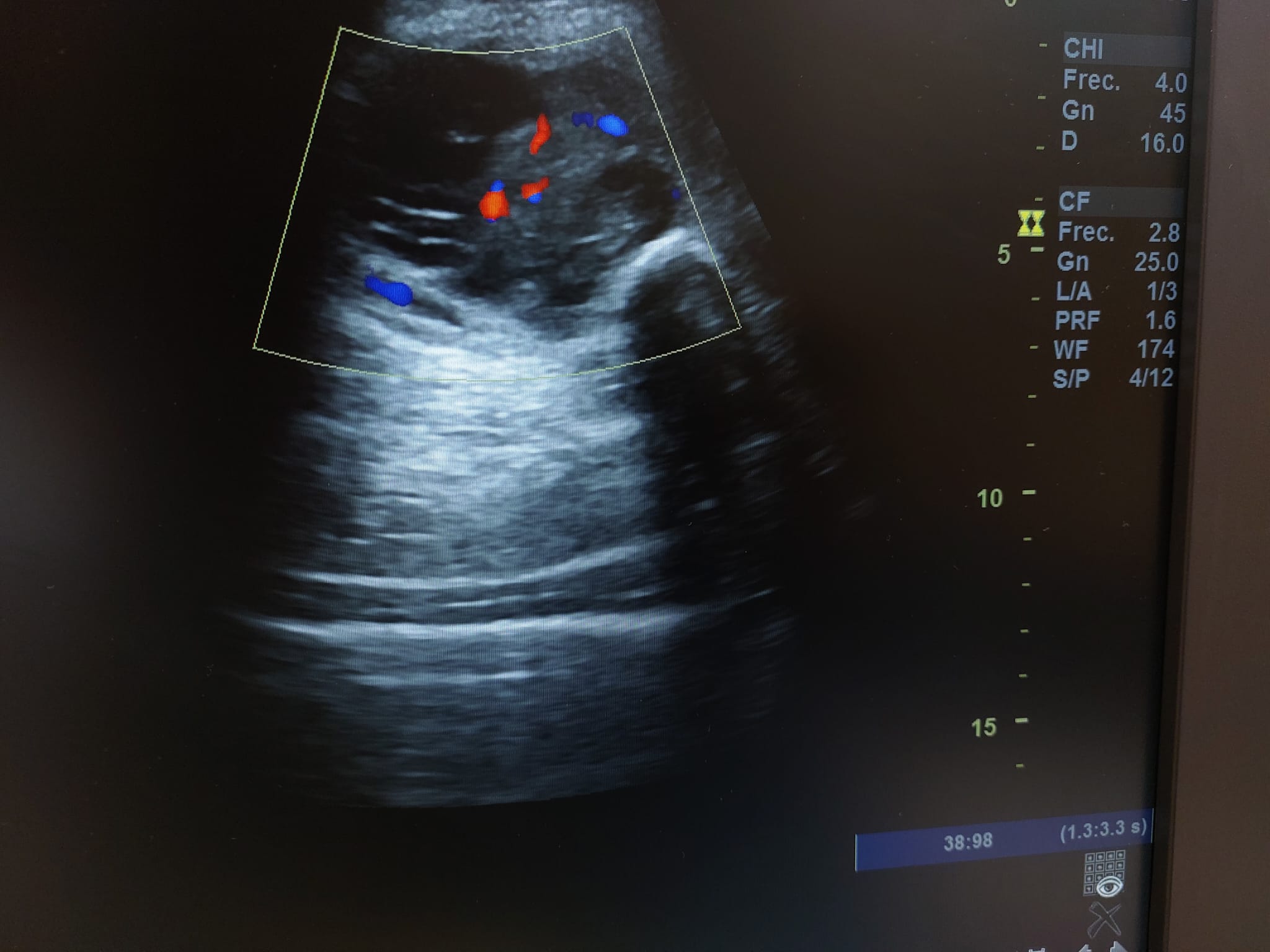
Descripción de los hallazgos ecográficos y las imágenes más relevantes para la resolución del caso

Se realiza ecografía observando colección anecoica a nivel muscular compatible con hematoma organizado, de aproximadamente 7 x 4 cm.

Juicio clínico, diagnóstico diferencial, concordancia con el hospital (en su caso)

Hematoma intramuscular en cuádriceps femoral izquierdo.

Decisiones adoptadas: tratamiento, planes de actuación

Se pauta tratamiento analgésico, se remite para valoración por COT y seguimiento ecográfico de la lesión en consulta.

Evolución y seguimiento

En el seguimiento se observa evolución tórpida sin mejoría clínica y en la ecografía de control se observa aumento notable de tamaño respecto al previo, estructura heterogénea de imagen anecoica con septos internos. Se aprecia edema intramuscular perilesional y captación al activar el Doppler. Se plantea la posibilidad de un hematoma sobreinfectado o, debido a su importante crecimiento, una probable etiología neoplásica. Tras hallazgos descritos en consulta, COT solicita de forma urgente la realización de RNM y biopsia de la lesión. Posteriormente, el resultado de las pruebas complementarias confirman diagnóstico de sarcoma histiocítico.

Conclusiones y aplicabilidad para la medicina de familia

El primer profesional al que la mujer acude para consultar acerca de síntomas o en busca de una primera orientación, ha sido a su Médica de Familia. Es importante resaltar la labor de la especialidad ya que en estos casos la confianza y cercanía con el paciente es fundamental para realizar una buena anamnesis y exploración. La ventaja de la ecografía en Atención Primaria es discernir imágenes con patología de las imágenes sin hallazgos aparentes, sin ser preciso llegar a diagnósticos definitivos. Es imprescindible disponer en los Centros de Salud de ecógrafos, ya que su bajo coste, accesibilidad y ausencia de radiaciones ionizantes proporciona una ventaja diagnóstica tanto para el paciente (en términos de ganancia de tiempo y comodidad), como para el médico (en términos de aproximación diagnóstica y seguimiento).

 


Comunicaciones y ponencias semFYC: 2025; Comunicaciones: Casos clínicos. ISSN: 2339-9333

Autores

Juan Vergara, Elisa
CS de Petrer I
Sanz Navarro, Pablo José
Dirección de Atención Primaria. Departamento de Salud de Elda
Hidalgo Ibáñez, Mónica
CS de Petrer I