V Jornadas de Ecografía de la semFYC

9 y 10 de febrero de 2024

Comunicaciones: Casos clínicos

Seno uracal: cuando nos duele el ombligo (oral)

Ámbito del caso

Urgencias Hospitalarias

Motivos de consulta

Mujer de 37 años que consulta en Urgencias por dolor abdominal de 24 horas, a punta de dedo, a nivel infraumbilical. Niega fiebre, sensación distérmica, náuseas y vómitos. Tampoco alteración del hábito intestinal ni síndrome miccional. No episodios previos.

Historia clínica

Enfoque individual

No alergias conocidas. Fumadora de 5 cigarillos/día. Sin otros antecedentes médico-quirúrgicos de interés. No toma tratamiento. 

Buen estado general. Normoperfundida. Hemodinámicamente estable. Eupneica en reposo y afebril.

Abdomen blando y depresible. Dolor selectivo a punta dedo a nivel infraumbilical, sin defensa ni datos de irritación periteoneal. No se palpan masas ni megalias. Cicatriz de piercing supraumbilical sin eritema, fluctuación u otros datos de infección. 

Hallazgos ecográficos

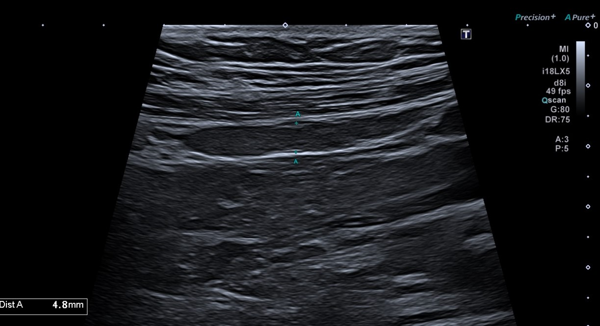
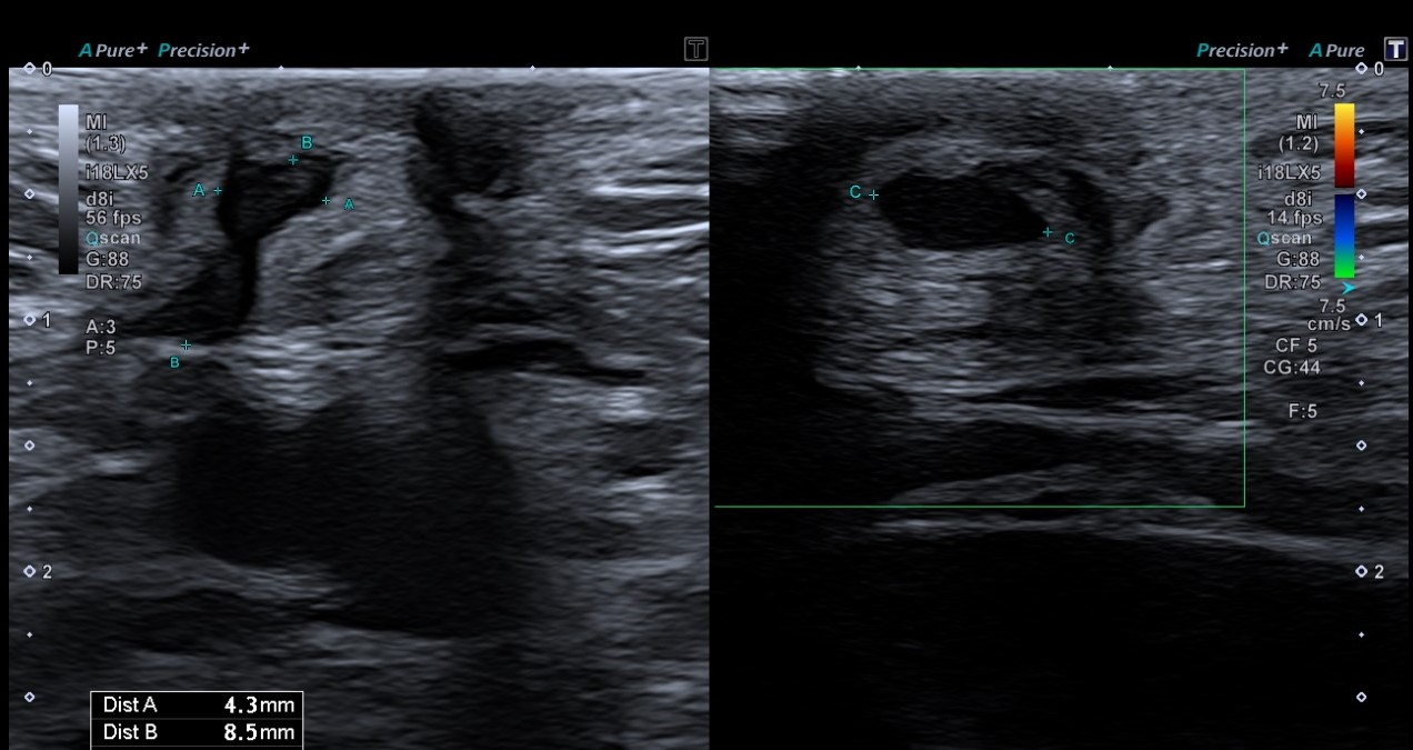
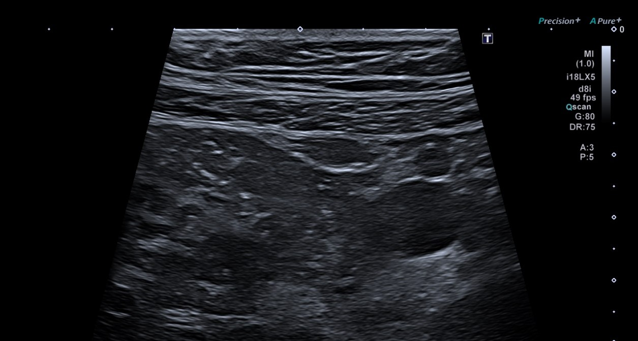
Ecografía partes blandas: En localización infraumbilical, sin aparente dependencia de estructuras profundas ni modificación en maniobra de Valsalva, lesión hipoecoica bilobulada (4,3 x 8,5 x 7,1 mm) con aparente conexión hacia región vesical, sobre la que no se demuestra vascularización, inespecífica, que podría corresponder a seno uracal, sin poder descartar sobreinfección asociada.

Pruebas complementarias

Análisis sanguíneo: anodino.

Juicio clínico, diagnóstico diferencial, identificación de problemas

Sobreinfección de seno uracal

Tratamiento y planes de actuación

Cobertura antibiótica oral y vigilancia.

Evolución

Mejoría sintomática, control ecográfico pendiente.

Conclusiones (y aplicabilidad para la Medicina de Familia)

El uraco es la estructura fetal, que comunica cúpula vesical con alantoides hasta el ombligo.

Durante el desarrollo es permeable pero cuando la vejiga desciende a cavidad pélvica se oblitera y genera cordón fibroso, manteniéndose permeable solamente en el 2% de los casos (1/5.000 adultos). 

 Existen diversos defectos de obliteración, que dan lugar a las siguientes 4 anomalías: uraco persistente (50%), quiste de uraco (30%), sinus uracal (15%) y divertículo vesicoureteral (5%). La complicación más frecuente de todas estas es la sobreinfección por vía linfática, hematógena o vesical. 

El uracosinus o seno uracal consiste en la persistencia de la permeabilidad del uraco en su extremo umbilical, estando el extremo vesical obliterado. Se detecta generalmente en la infancia, por supuración umbilical recurrente, con eritema, dolor o masa periumbilical. El diagnóstico es mediante ecografía o TC. 

Se han descrito casos de malignización, lo cual apoya a exéresis quirúrgica completa del mismo, incluyendo ombligo. La cirugía minilaparoscópica permite un abordaje eficaz y seguro, con buen resultado estético asociado.


Comunicaciones y ponencias semFYC: 2025; Comunicaciones: Casos clínicos. ISSN: 2339-9333

Autores

Vidal López, Leticia
CS Narón