V Jornadas de Ecografía de la semFYC

9 y 10 de febrero de 2024

Comunicaciones: Casos clínicos

Síndrome constitucional, ecografía abdominal (póster)

Ámbito del caso

Atención Primaria.

Motivos de consulta

Dispepsia.

Historia clínica

Enfoque individual

Varón de 35 años, sin antecedentes personales de interés, que acude a la consulta de Atención Primaria por dispepsia y pérdida de apetito de un mes de evolución.
Exploración física: Abdomen blando y depresible, doloroso a la palpación en hipocondrio izquierdo.
Se inició omeprazol y se citó en dos semanas para control.
Ante la ausencia de mejoría y pérdida de peso de 5 kilos se solicitó analítica, mostrando una ligera leucocitosis (11.200), y sangre oculta en heces y Helicobacter Pylori en heces con resultado negativo. Se realizó ecografía clínica tras la consulta. 

Hallazgos ecográficos

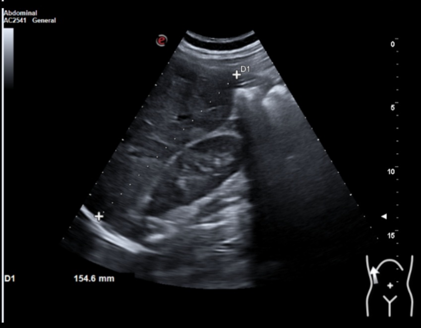
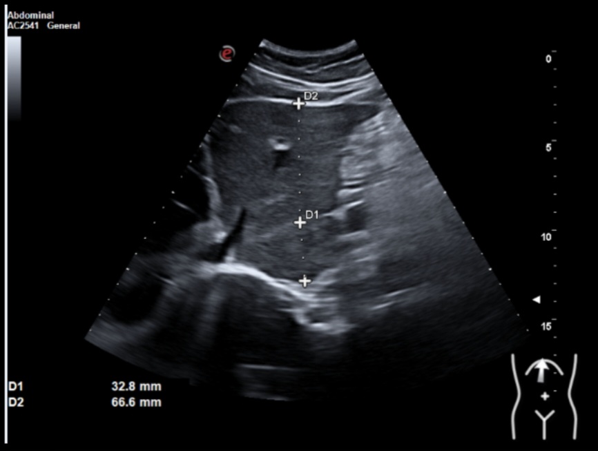
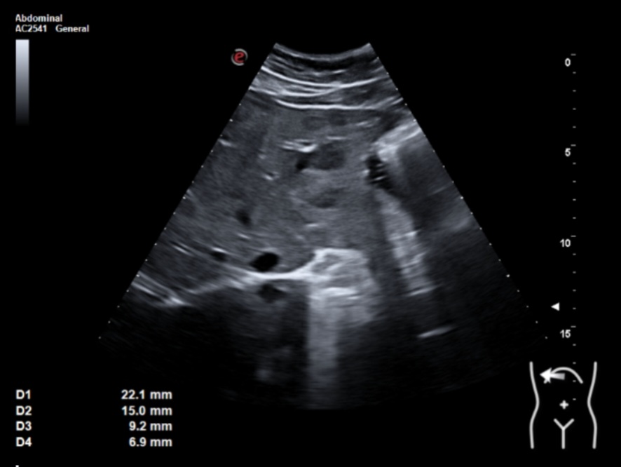
Ecografía clínica: múltiples lesiones en parénquima hepático bien delimitadas de hasta 2 cm, hipoecogénicas, en ambos lóbulos. Tamaño normal del hígado (15 cm) pero bordes obtusos. Vía biliar no dilatada. Vesícula alitiásica. Porta de calibre normal. Área pancreática no visualizada por gas intestinal. Ambos riñones normales. Vejiga vacía, no valorable.

Pruebas complementarias

Dados los hallazgos se solicitó ecografía reglada que informaba de múltiples lesiones hepáticas sospechosas y afectación adenopática infradiafragmática. Se recomendó completar estudio mediante TAC estadiaje.
Ante los resultados del TAC sugestivo de neoplasia de colon trasverso con extensa afectación ganglionar locorregional y a distancia a nivel infradiafragmático, afectación ganglionar supradiafragmática y numerosas metástasis hepáticas se solicitó una colonoscopia visualizándose una lesión mucosa de 5 cm de aspecto velloso de la que se tomaron biopsias.

Juicio clínico, diagnóstico diferencial, identificación de problemas

La histología fue compatible con adenocarcinoma colo-rectal.

Tratamiento y planes de actuación

El paciente pasó a cargo de Oncología médica e inició tratamiento con quimioterapia sistémica.

Evolución

El paciente cambió de area asistencial para realizar tratamiento en otro hospital.

Conclusiones (y aplicabilidad para la Medicina de Familia)

Se estima que el cáncer colorrectal es el tumor más frecuentemente diagnosticado en nuestro país considerando ambos sexos. A pesar de que predomina en personas mayores de 50 años no hay que olvidar que puede aparecer en personas más jóvenes, y la incidencia está aumentando en menores de 50 años.
En este caso la ecografía permitió realizar un diagnóstico más precoz y facilitó dirigir el estudio posterior. Por lo que integrar la ecografía clínica en la práctica clínica diaria podría ser de utilidad diagnóstica.


Comunicaciones y ponencias semFYC: 2025; Comunicaciones: Casos clínicos. ISSN: 2339-9333

Autores

Lamela Mena, Asier
CS Ortuella. Ortuella
Brouard Maiz, Markel
CS Ortuella. Ortuella
Vidal Arboiro, José Manuel
CS Ortuella. Ortuella