V Jornadas de Ecografía de la semFYC

9 y 10 de febrero de 2024

Comunicaciones: Casos clínicos

Sospecha de ITU en una mujer (póster)

Ámbito del caso

Urgencias.

Motivos de consulta

Polaquiuria y tenesmo.

Historia clínica

Enfoque individual

AP:
  • No alergias medicamentosas conocidas
  • Fumadora de 4-5 cigarros/día. Consumo de OH esporádico.

Mujer de 41 años que acude al servicio de urgencias por polaquiuria y tenesmo. Valorada telefónicamente por la enfermera de su Centro de Salud por la misma clínica hace 48 h, tratada con un sobre de Fosfomicina 3 g, ante persistencia de síntomas la paciente acude a urgencias. Afebril en todo momento, sin clara disuria ni hematuria.

EF: BEG. CyO.

  • Abdomen: sin alteraciones cutáneas de interés. Blando y depresible, se palpa globo vesical con dolor a la palpación. Sin signos de irritación peritoneal. PPR bilateral negativa.

PC: Orina: leucocitos < 5, hematíes < 5.

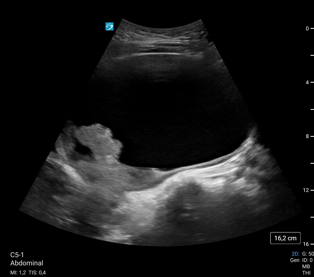
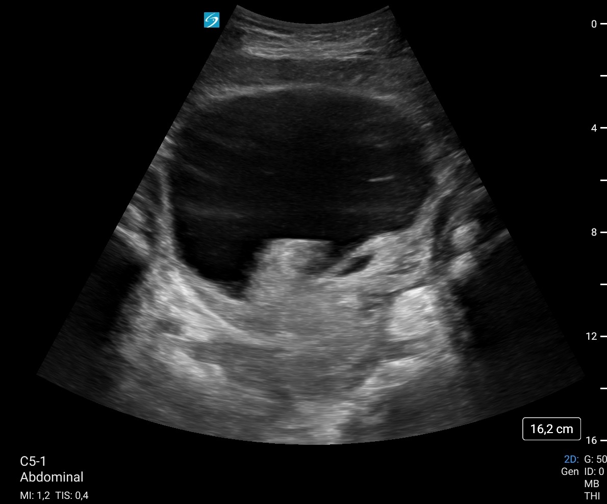
Ecografía a pie de cama: Vejiga 700 cc con imagen hiperecogénico intravesical, irregular, pensando en coágulo como primera opción sin poder descartar tm vesical. Sospecha de retención aguda de orina (RAO) con probables de coágulos intravesicales vs posible tumor vesical.

Sondaje vesical con extracción de 100 cc.

Hallazgos ecográficos

Ecografía reglada a la mañana siguiente:

Vejiga urinaria a máxima repleción, identificando contenido hiperecoico de morfología tubular en pared lateral inferior izquierda, parece desplazarse a los meatos con los cambios posicionales, lo que sugiere existencia de coágulos como primera posibilidad, sin poder descartar tumor subyacente. Se recomienda valoración con cistoscopia, lavados vesicales...

Pruebas complementarias

Fue valorada por urología para realizar una cistoscopia donde no se vio afectación vesical. Sospechan neoplasia de origen ovárico por lo que es derivada a Ginecología tras realizar un TAC abdomino-pélvico.

Es valorada por ginecología diagnosticando una neoplasia de ovario derecho por ecografía vaginal y TAC.

Juicio clínico, diagnóstico diferencial, identificación de problemas

JC: Tumoración de ovario derecho

Diagnóstico diferencial:
Tumoración vesical
Retención Aguda de Orina
Infección Urinaria

Tratamiento y planes de actuación

Es valorada en comité por Oncología Médica y Ginecología donde realizan histerectomía total, doble anexectomía, omentectomía, apendicetomía y recogida de biopsias diagnosticando un adenocarcinoma endometrioide de ovario derecho g1 sin infiltracion miometrial sobre foco de hiperplasia atípica de endometrio (IA). Estadío IC2, inician tratamiento quimioterápico.

Evolución

La paciente acude a los controles de Ginecología y Oncología Médica, actualmente con tratamiento quimioterápico y pruebas radiológicas sin nuevos hallazgos.

Conclusiones (y aplicabilidad para la Medicina de Familia)

La ecografía clínica ayuda a reducir la incertidumbre ante dudas diagnósticas, mejora la atención al paciente y nos ayuda en la toma de decisiones aumentando la seguridad del mismo no retrasando procesos diagnósticos.
 
 
 
 

Comunicaciones y ponencias semFYC: 2025; Comunicaciones: Casos clínicos. ISSN: 2339-9333

Autores

Oregi Belaustegi, Irati
CS Hondarribia. Osakidetza.
Ramos García, Alba María
CS Irun Centro. Osakidetza
Erguin , Alex
CS Hondarribia. Osakidetza.