V Jornadas de Ecografía de la semFYC

9 y 10 de febrero de 2024

Comunicaciones: Casos clínicos

Teruel existe, el aneurisma de la ilíaca también (póster)

Ámbito del caso

Atención Primaria.

Motivos de consulta

Abdominalgia.

Historia clínica

Enfoque individual

Varón de 18 años de edad sin alergias, sin hábitos tóxicos, refiere intervención quirúrgica en infancia por peritonitis. Desconoce antecedentes de familia (huérfano).

Natural del África subsahariana de raza negra, recién llegado al país. Barrera idiomática. Acude a consulta, fuera de circuito, derivado por un compañero médico para completar estudio abdominalgia. Dolor cólico hipogastrio irradiado a ambos flancos con nauseas. Alivia con la ingesta.

Cicatriz de amplia laparotomía desde epigastrio hasta hipogastrio sin dolor a la palpación y Murphy (-).

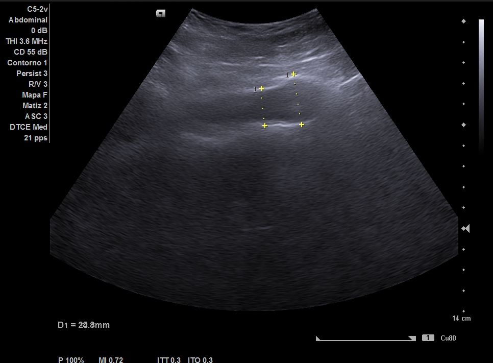
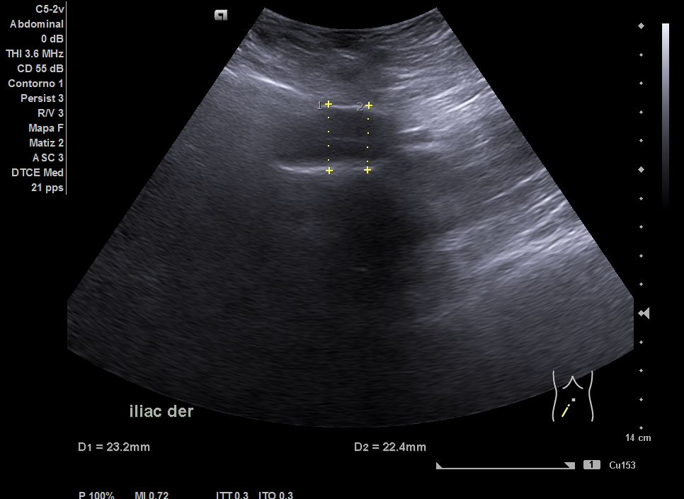
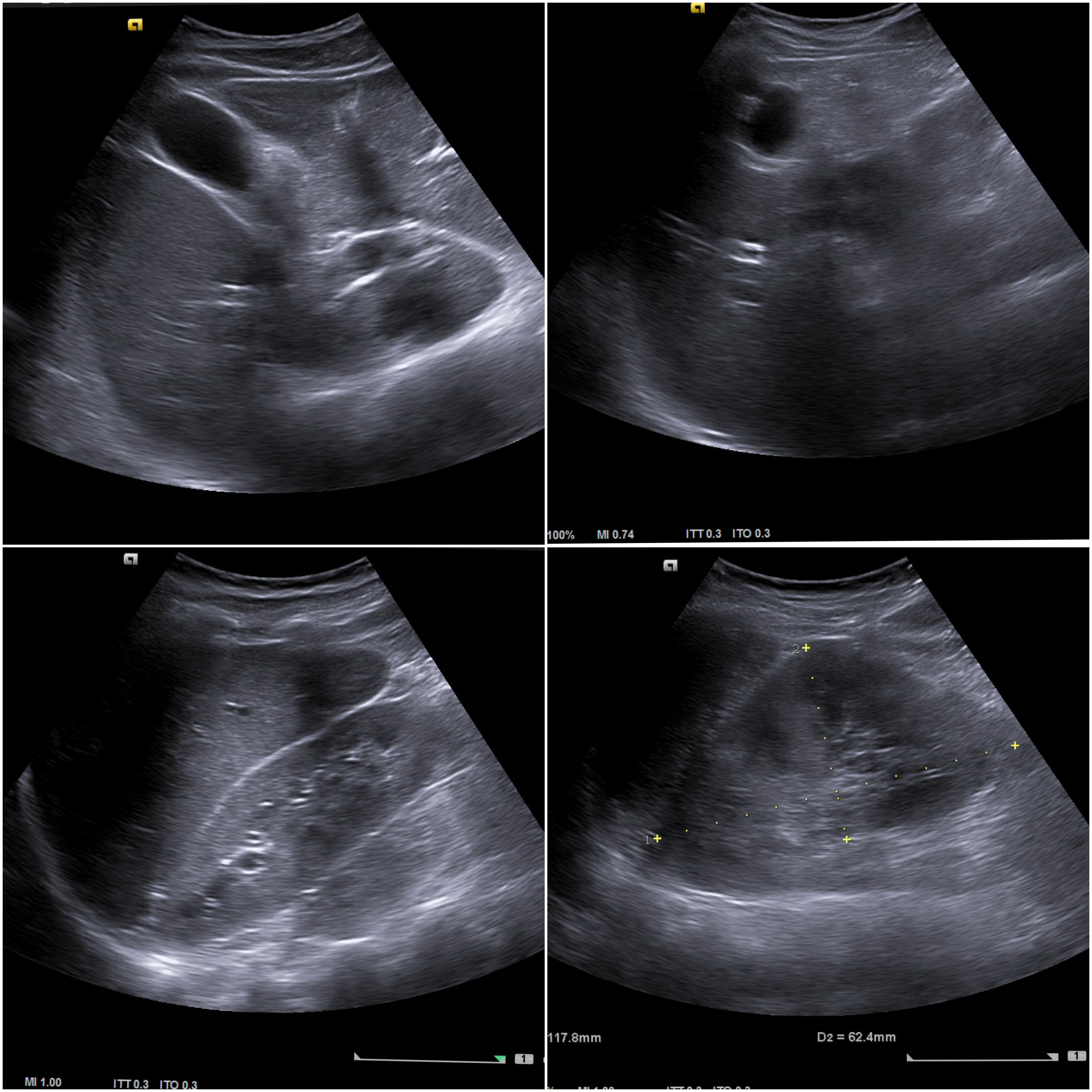
Hallazgos ecográficos

Ecografía clínica abdominal (ventana subóptima):

Parenquima hepatico sin alteraciones, vesícula biliar sin imagenes hiperecoénicas en interior. Pancreas visible en parte, sin alteraciones. Asimetría entre ambos riñones compatible variante de la normalidad RI. Llama la atención dilatación ilíaca derecha al comparar con contralateral y con aorta abdominal distal. Compatible con dilatación aneurismática ilíaca derecha.

Pruebas complementarias

Analítica general, amilasa, lipasa y test helicobacter.

Juicio clínico, diagnóstico diferencial, identificación de problemas

Abdominalgia en estudio + Dilatación aneurismática ilíaca derecha.

El diagnóstico diferencial del Aneurisma Ilíaca con: Displasia fibromuscular u otra patología del tejido conectivo, lúes o tuberculosis entre otros. Toda dilatación que sobrepase el 50% del diámetro del vaso se considera aneurismática. Por la edad no se plantea el origen ateromatoso.

Tratamiento y planes de actuación

Prueba terapéutica con inhibidores de la bomba de protones tras realizar analítica con test de helicobacter pylori. Se aconseja repetir estudio ecográfico para ampliar estudio. Valorar remitir a vascular, según evolución.

Evolución

A los 5 días se intenta contactar con el paciente, según se nos comenta viajará a otra Comunidad Autónoma al día siguiente siendo implosible acudir a consulta. Se insiste en la necesidad de completar el estudio dados los hallazgos.

Conclusiones (y aplicabilidad para la Medicina de Familia)

La ecografía en Atención Primaria se plantea en el contexto de responder a una pregunta clínica tras la anamnesis y la exploración física u otras pruebas complementarias que se precisen. A resaltar, la importancia de realizar ecografía completa siguiendo una sistemática y prestando atención tanto a variantes de la normalidad como a hallazgos patológicos. En el caso de la ecografía abdominal, es fundamental explorar los grandes vasos tanto en plano transversal como longitudinal, haciendo incapié en la división de las ilíacas.


Comunicaciones y ponencias semFYC: 2025; Comunicaciones: Casos clínicos. ISSN: 2339-9333

Autores

Roca Pujol, Jaime
CS Martí Serra. Marratxí
Mendieta Lagos, Mª Nieves
UBS S'arenal. CS Platja de Palma. Palma de Mallorca