Comunicaciones: Casos clínicos

Toda masa tiene un eco (Oral)

Ámbito del caso (Atención Primaria, servicios de Urgencias o atención domiciliaria)

Atención Primaria.

Motivos de consulta

Dolor y tumefacción en brazo izquierdo de 5 meses de evolución.

Historia clínica

Antecedentes personales relevantes, anamnesis, exploración física y lugar que ocupa en ella la ecografía

Hombre de 17 años que acude a consulta en agosto de 2024 por dolor y tumefacción a nivel de epicóndilo de codo izquierdo. En abril sufrió una caída contra una palmera y desde ese momento ha consultado hasta en tres ocasiones en Urgencias por dolor. En el informe de urgencias se diagnostica un absceso cutáneo de 1 cm de diámetro y se solicita una radiografía de codo (sin alteraciones). Se alta con antibioterapia. En consulta persiste la sintomatología. Se revisa la radiografía y se repite la exploracion física: tumefacción de 1,5 cm de diámetro en epicóndilo izquierdo. Se decide realizar una ecografía músculoesquelética con identificación de un cuerpo extraño tras lo que se procede a su extracción que resulta ser una púa de 2,6 cm.

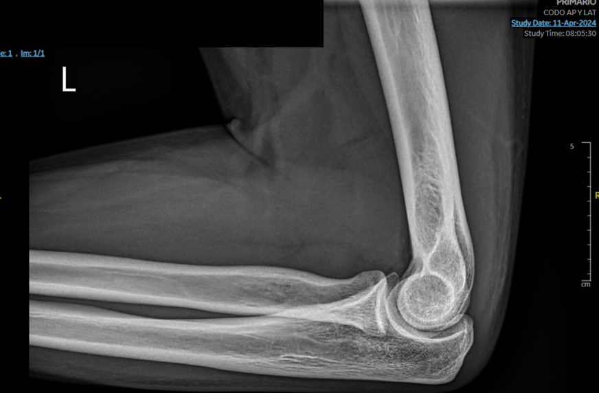
Descripción de los hallazgos ecográficos y las imágenes más relevantes para la resolución del caso

  • Radiografía de codo en abril de 2024 donde no se aprecian alteraciones óseas ni de partes blandas.
  • Ecografía músculoesquelética en agosto de 2024 en la que se identifica un cuerpo extraño de 43 mm de longitud que deja sombra posterior y que se localiza a nivel del vientre del músculo braquioradial.

Otras pruebas complementarias realizadas (si existen)

No existen.

Juicio clínico, diagnóstico diferencial, concordancia con el hospital (en su caso)

Al inicio se sospechaba una reacción cutánea a cuerpo extraño no evidenciado en radiografía que se confirmó mediante ecografía. 
Diagnóstico final: reacción cutánea a cuerpo extraño (púa de palmera).

Decisiones adoptadas: tratamiento, planes de actuación

Tras la ecografía se procede a la extracción de dicho cuerpo extraño que resulta ser una púa de palmera de 2,6 cm de longitud.

Evolución y seguimiento

Curación de la lesión cutánea con cese del dolor y recuperación de la funcionalidad del antebrazo.

Conclusiones y aplicabilidad para la medicina de familia

La ecografía es una prueba complementaria accesible desde Atención Primaria, inocua y rápida que permite la identificación de estructuras que, como la descrita en el caso clínico, resultan invisibles a la radiografía convencional, lo cual favorece el logro de diagnósticos más certeros que evitan medidas terapéuticas futiles y la cronificación del dolor musculoesquelético. 


Comunicaciones y ponencias semFYC: 2025; Comunicaciones: Casos clínicos. ISSN: 2339-9333

Autores

Morales Moran, Cristina
CS de Maspalomas. San Bartolomé de Tirajana
Artiles Curbelo, Carmen
CS de Maspalomas. San Bartolomé de Tirajana