V Jornadas de Ecografía de la semFYC

9 y 10 de febrero de 2024

Comunicaciones: Casos clínicos

Tos post covid (oral)

Ámbito del caso

Servicios de Urgencias.

Motivos de consulta

Tos y fiebre tras covid.

Historia clínica

Enfoque individual

Varón de 31 años sin RAM ni otros antecedentes de interés que consulta por tos seca y febrícula de 5 días de evolución. Refiere además comienzo de síntomas catarrales hace 1 mes resultando positivo a antígeno SARS-COV2 y con resolución de la sintomatología al cabo de una semana. En consulta afebril. COC. BHP. Eupneico. A la auscultación cardiopulmonar hipoventila base izquierda. Tonos rítmicos sin soplos ni extratonos. Abdomen anodino. No edemas ni signos de TVP en miembros. No se palpan adenopatías. Se decide realizar ecografía a pie de cama.

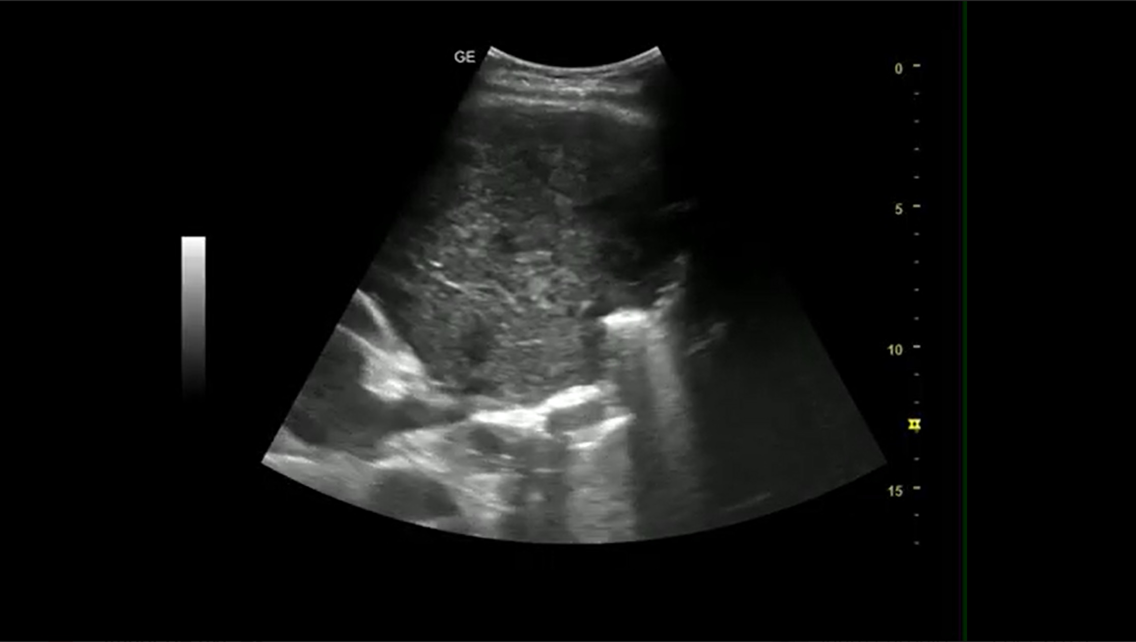
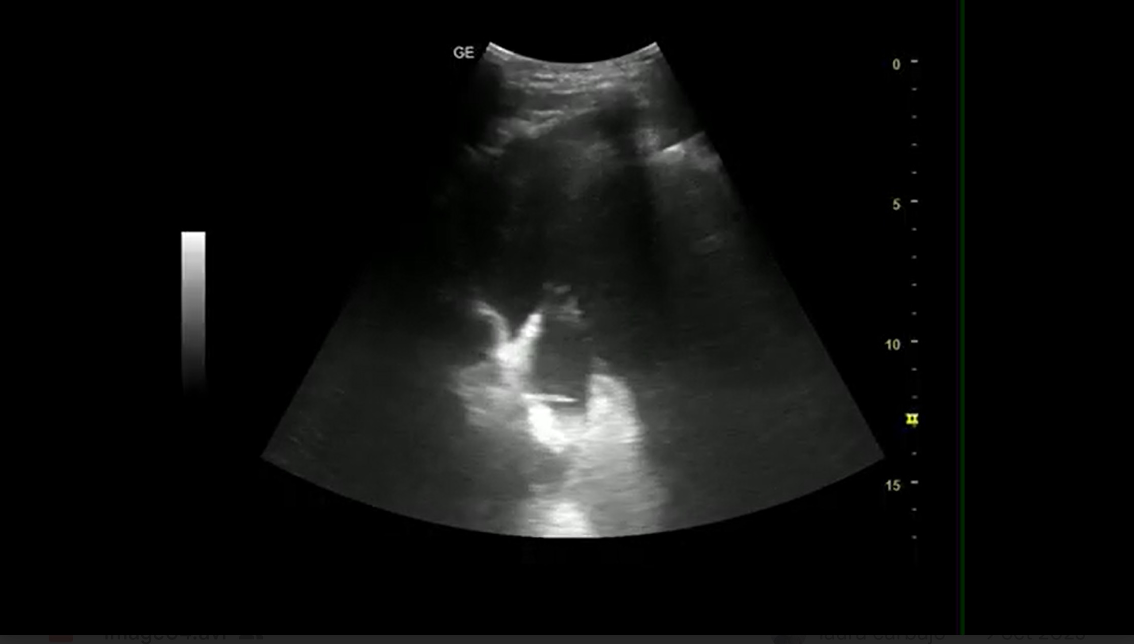
Hallazgos ecográficos

 Las imágenes más relevantes observadas revelan los siguientes signos ecográficos:

  1. Signo de la medusa: refleja el movimiento ondulante que presenta el pulmón consolidado por el derrame.
  2. Hepatización pulmonar: la densidad ecográfica del pulmon se hace similar a la del hígado.

Pruebas complementarias

  • Analítica: Hemograma: hb 13.9, leucocitos 10950, neutrófilos 9100, linfocitos 740, plaquetas 430000. Bioquímica. glucosa 102, Cr 0.94, urea 31.5, Na 141, K 5.18. Perfil abdominal sin alteraciones salvo LDH 920.PCR 104.77, procalcitonina 0.09. Gasometría venosa: pH 7.39, Pco2 41, hco3 21.2.
  • TAC tórax y abdomen: Gran masa mediastínica anterior en probable relación con síndrome linfoproliferativo de dimensiones 11 x 15 x 17 con signos que sugieren diseminación pulmonar (parénquima pulmonar izquierdo en vidreo deslustado, atelectasias pulmonares subsegmentarias, derrame pleural izquierdo, derrame pericárdico) y posiblemente hepática (lesión 16 x 25 en segmento VII-VIII).

Juicio clínico, diagnóstico diferencial, identificación de problemas

Juicio clínico: Masa mediastínica Izquierda + Derrame Pleural izquierdo. Descartar proceso linfoproliferativo. Diagnóstico Diferencial: Linfoma Hodgkin, Linfoma B mediastínico primario, Linfoma Linfoblástico T, Timoma, Teratoma.

Tratamiento y planes de actuación

El paciente quedó ingresado en Servicio de Medicina Interna. Se realizó broncoscopia objetivándose estenosis de BPI y realizándose cepillado bronquial negativo para malignidad. Se realizó entonces PET-TAC que concluye extensa afectación linfática supradiafragmatica de predominio mediastínico y lesiones pulmonares izquierdas hipermetabólicas. Derrame pleural izquierdo y discreto pericardico. Discreto aumento de captación generalizada en médula ósea sin lesiones focales. Resto del estudio sin hallazgos. Se solicita radiología intervencionista para biopsia.

Evolución

En la histología se confirma linfoma mediastínico primario. Se inicia tratamiento con QT intensiva.

Conclusiones (y aplicabilidad para la Medicina de Familia)

La ecografía mejora la precisión diagnóstica y se ha convertido en un pilar básico en la exploración. Su inclusión en los algoritmos de manejo podría disminuir la necesidad de pruebas complementarias o tratamientos innecesarios. En este caso permitió una mayor rentabilidad diagnóstica con un abordaje precoz diagnóstico y terapéutico tras la primera consulta del paciente.
 
 
 
 

Comunicaciones y ponencias semFYC: 2025; Comunicaciones: Casos clínicos. ISSN: 2339-9333

Autores

Ortega Hidalgo, Esperanza Macarena
Hospital de Riotinto. Minas de Rio Tinto
Trueba Carreón, Jacqueline
Hospital de Riotinto. Minas de Rio Tinto
García Durán, Ana
Hospital de Riotinto. Minas de Rio Tinto