V Jornadas de Ecografía de la semFYC

9 y 10 de febrero de 2024

Comunicaciones: Casos clínicos

Un bulto casual en el cuello (póster)

Ámbito del caso

Atención Primaria.

Motivos de consulta

«Bulto» en región anterior del cuello.

Historia clínica

Enfoque individual

Mujer, 58 años. Depresión postparto, sin tratamientos crónicos.
Anamnesis: Acude a nuestra consulta refiriendo aparición de un «bulto» en región cervical anterior derecha, sin dolor, desde hace dos meses. Refiere nerviosismo en las últimas semanas, que relaciona con situación personal. Palpitaciones ocasionales. No pérdida de peso ni otra sintomatología acompañante.
Exploración física: se palpa nódulo que parece localizarse en lóbulo tiroideo derecho, asciende con la deglución, de consistencia elástica, no adherido. No se palpan adenopatías. Auscultación cardiopulmonar anodina. No temblor ni otras alteraciones neurológicas. 
En este caso, la ecografía clínica nos permitirá, por un lado, confirmar que el nódulo asienta en el tiroides y, por otro, comprobar las características ecográficas del mismo y el grado de sospecha de malignidad.

Hallazgos ecográficos

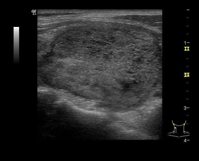
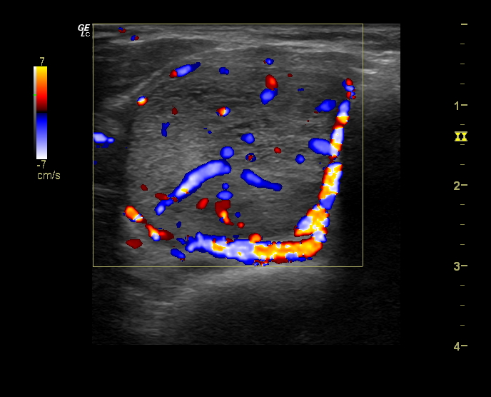
Se estudia la glándula tiroidea mediante sonda lineal de alta frecuencia, realizando cortes transversales y longitudinales. A nivel del lóbulo tiroideo derecho se objetiva un nódulo sólido, con forma «más ancho que alto», isoecoico, con zonas heteroecoicas de 2,4 x 3,4 cm (figura 1), que presenta una lobulación en su margen interno (figura 2), con halo periférico incompleto y vascularización mixta, principalmente periférica (figura 3). No se observan calcificaciones ni adenopatías patológicas. Adyacente al mismo, otro nódulo milimétrico (figura 4), de similares características.

Pruebas complementarias

Hemograma y bioquímica sin alteraciones. Tirotropina (TSH) en rango normal. Anticuerposantiperoxidasa tiroidea: 93 U/ml. 

Juicio clínico, diagnóstico diferencial, identificación de problemas

Nódulo tiroideo TI-RADS 4 (5 puntos) «moderadamente sospechoso de malignidad». Dado el tamaño tiene indicación de PAAF.

Diagnóstico diferencial: bocio, quiste hemorrágico, quiste simple.

Tratamiento y planes de actuación

La paciente es derivada con prioridad preferente al Servicio de Endocrinología para completar estudios, probablemente con punción aspiración con agua fina (PAAF).

Evolución

En el momento actual, se encuentra pendiente de valoración. 

Conclusiones (y aplicabilidad para la Medicina de Familia)

Los nódulos tiroideos palpables deben categorizarse mediante ecografía. La ecografía clínica realizada en Atención Primaria permite confirmar la localización del nódulo y categorizar el riesgo de malignidad mediante la clasificación TI-RADS, haciendo posible un abordaje más precoz y dirigido del mismo.


Comunicaciones y ponencias semFYC: 2025; Comunicaciones: Casos clínicos. ISSN: 2339-9333

Autores

González Llaneza, Aroa
Pola de Siero
García Jiménez, Elena Gabina
Pola de Siero
Lozano Morán, Martín
Pola de Siero