V Jornadas de Ecografía de la semFYC

9 y 10 de febrero de 2024

Comunicaciones: Casos clínicos

Un bulto inquietante en el cuello (póster)

Ámbito del caso

Atención Primaria.

Motivos de consulta

Bulto en cuello.

Historia clínica

Enfoque individual

Mujer de 29 años con antecedentes personales de migraña y Síndrome de Rokitansky. Acude de forma urgente muy angustiada por bulto doloroso de rápido crecimiento en cuello. Atendida por otro médico del Centro de Salud es derivada a urgencias hospitalarias, citándola para ecografía programada en dos meses.

Acude nuevamente a consulta con las mismas dudas 2 días después. Es la primera visita a su Médico de Familia. No presentaba síntomas de disfunción tiroidea. Exploración con tumoración dolorosa de 3×3 cm en hemitiroides izquierdo. Tras valorar miedos y expectativas, solicitamos un análisis de sangre con perfil tiroideo y citamos ecografía clínica en 2 días.

Hallazgos ecográficos

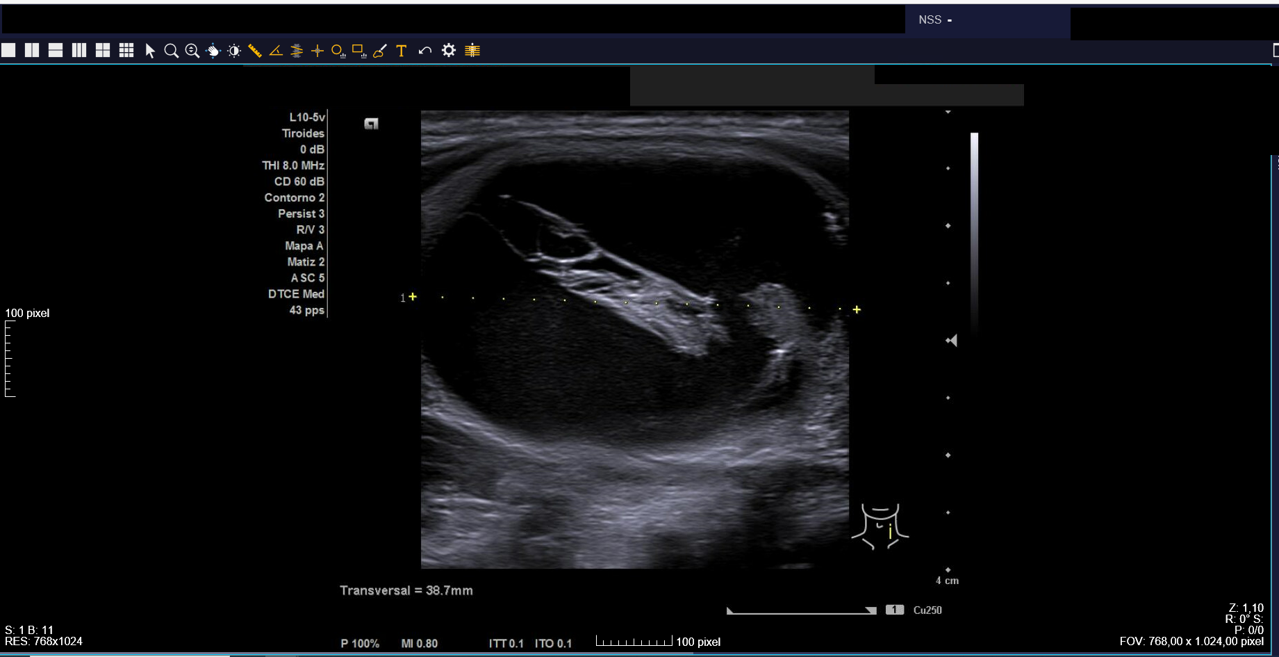
Ecografía clínica: tiroides de tamaño normal con ecoestructura homogénea. En lóbulo tiroideo izquierdo nódulo de 3 cm, anecoico, márgenes bien definidos con imagen hiperecoica en su interior (Imágenes 1, 2 y 3).

Pruebas complementarias

Análisis de sangre: TSH 2,41 UI/ML, tiroglobulina 390 ng/ml, anticuerpos anti-tiroglobulina < 20 UI/ml.

Tratamiento y planes de actuación

Ante clínica y ecografía compatible con hemorragia en nódulo tranquilizamos a la paciente, informándole sobre pronóstico y actitud a seguir. Citamos para seguimiento clínico en 3 semanas, con desaparición del dolor y disminución de tamaño del nódulo.

Evolución

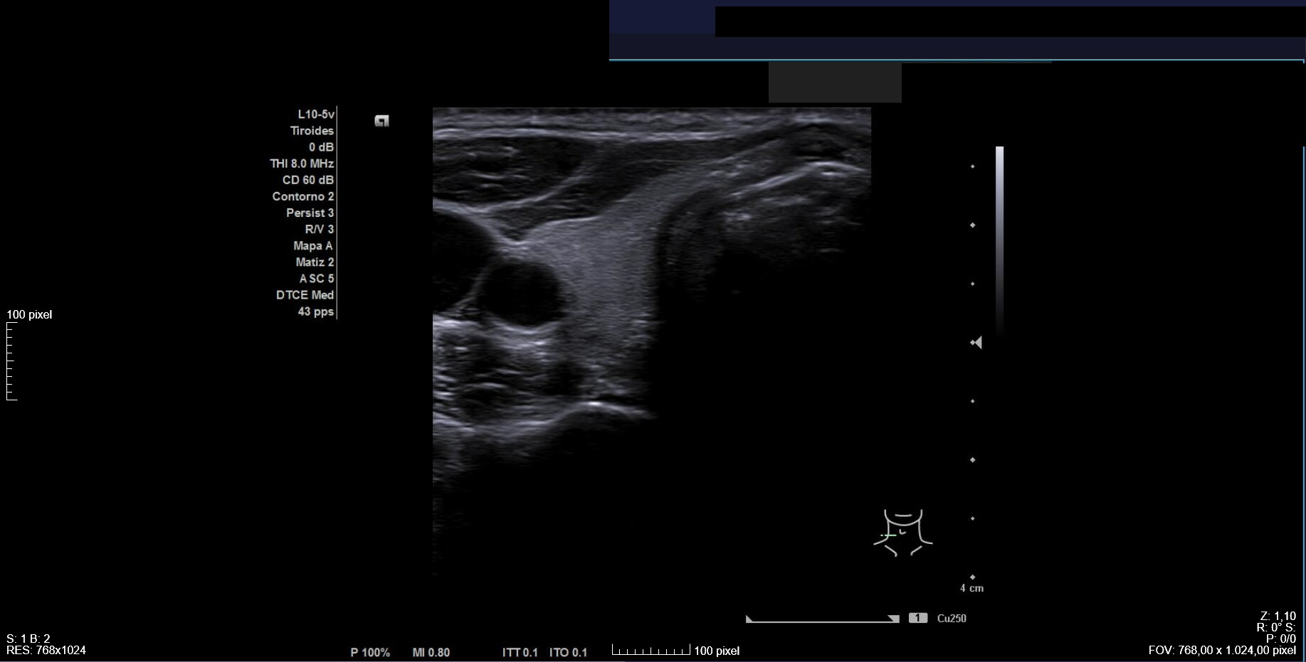
Citamos para seguimiento clínico-ecográfico dos meses después. El bulto había tenido una evolución fluctuante en tamaño pero habían reaparecido las molestias. Nueva ecografía (Imagen 4) confirmó nódulo de características similares a las iniciales, de tamaño ligeramente inferior (2,1 x 2,3 cm). Se observaban focos ecogénicos puntiformes y ecogenicidad indeterminada (TIRADS=4).

Realizamos interconsulta a Endocrinología para valorar PAAF con objetivo diagnóstico-terapéutico.

Conclusiones (y aplicabilidad para la Medicina de Familia)

  • La realización de ecografía clínica en Atención Primaria nos permite una aproximación al diagnóstico etiológico de los bultos en el cuello y el seguimiento evolutivo de los nódulos tiroideos.
  • El seguimiento de los pacientes puede ser útil con un objetivo diagnóstico-terapéutico.
  • Explorar miedos y expectativas del paciente es fundamental para poder dar respuesta a sus necesidades de salud.
  • La ecografía clínica puede ser una herramienta que nos permita trasmitir tranquilidad y mejorar la relación médico-paciente.

 


Comunicaciones y ponencias semFYC: 2025; Comunicaciones: Casos clínicos. ISSN: 2339-9333

Autores

Menárguez Puche, Juan Francisco
CS Profesor Jesús Marín. Molina de Segura
Vidal López, Ángela
CS Profesor Jesús Marín. Molina de Segura
González Moreno, Esther
CS Profesor Jesús Marín. Molina de Segura