V Jornadas de Ecografía de la semFYC

9 y 10 de febrero de 2024

Comunicaciones: Casos clínicos

Un desafío ecográfico: la importancia de manejar la incertidumbre (oral)

Ámbito del caso

Atención Primaria.

Motivos de consulta

Bulto en testículo izquierdo.

Historia clínica

Enfoque individual

  1. Varón de 70 años, hipertenso, con hiperplasia benigna de próstata e insomnio de mantenimiento, con el siguiente tratamiento crónico: Simvastatina, Lercadipino, Trazodona y tamsulosina/Dutasterida.
  2. El paciente acude a nuestra consulta de Atención Primaria refiriendo aparición de una lesión en el testículo izquierdo, que describe como “bulto”. Asintomático a ese nivel. Niega fiebre ni otra sintomatología de interés acompañante.
  3. En la exploración se palpan ambos testes normales, en bolsa escrotal, sin objetivarse aumento de temperatura ni edema asociado. Se palpa un pequeño nódulo a nivel del polo superior del teste izquierdo, sin otros hallazgos relevantes. Resto de exploración genital sin alteraciones.
  4. Se trata de un escenario clínico donde la ecografía permite descartar patologías importantes y/o confirmar etiología responsable de la clínica.

Hallazgos ecográficos

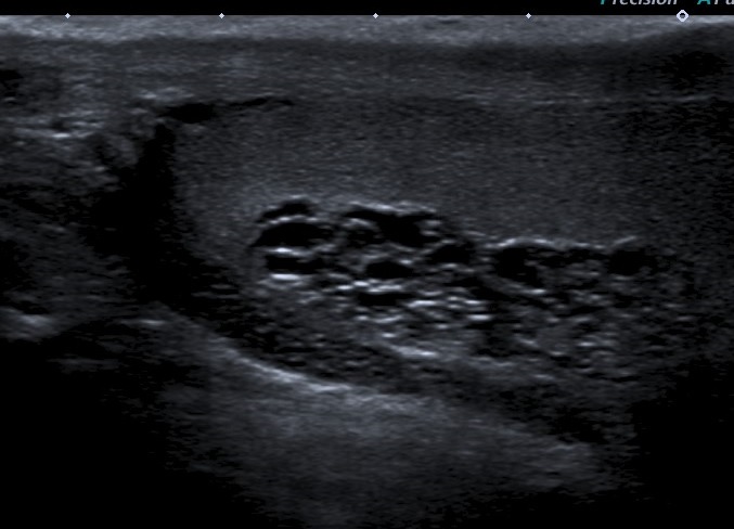
  • Se realiza estudio con sonda lineal de alta frecuencia. Se explora el escroto y ambos testículos (figura 1), que presentan tamaño, morfología y ecoestructura normal, así como correcto flujo Doppler (figura 2). A nivel del teste izquierdo, se observa una colección de pequeñas imágenes anecoicas en el mediastino testicular, pseudotubulares. Además, una imagen anecoica, redondeada, quística, a nivel de la cabeza del epidídimo (figura 3).

Pruebas complementarias

  • Se solicita ecografía testicular reglada que es informada como ectasia tubular de la rete testis en probable relación con antecedente de vasectomía y en la que se visualiza quiste de epidídimo izquierdo de 15 x 8 mm e hidrocele grado I, sin varicocele asociado.

Juicio clínico, diagnóstico diferencial, identificación de problemas

  • Juicio clínico: Quiste de epidídimo y ectasia tubular segmentaria de la rete testis.
  • Diagnóstico diferencial: Displasia quística de la rete testis, varicocele intratesticular, hematoma intratesticular.

Tratamiento y planes de actuación

No requiere tratamiento en el momento actual. 

Evolución

Tras solicitar ecografía reglada, que confirma los hallazgos descritos, se realiza seguimiento periódico ecográfico en nuestra consulta de Atención Primaria en relación con la sintomatología del paciente.

Conclusiones (y aplicabilidad para la Medicina de Familia)

La ecografía clínica escrotal es de gran utilidad ante los escenarios clínicos de bulto o dolor testicular. En este caso, al hallazgo de un quiste de epidídimo que explica la clínica, se asocia otro incidental de una imagen intratesticular poco frecuente, que a pesar de la incertidumbre diagnóstica que genera, presenta signos claros de benignidad en la exploración ecográfica.
 
 
 

Comunicaciones y ponencias semFYC: 2025; Comunicaciones: Casos clínicos. ISSN: 2339-9333

Autores

Pérez Prada, Julia
CS Pola de Siero. Asturias
Fernández Díaz, María
Consultorio Periférico Carbayín Alto. Pola De Siero. Asturias
De La Paz Romero, Paloma
CS El Cristo. Oviedo. Asturias