Comunicaciones: Casos clínicos

Un giro de tuerca en el diagnóstico urgente en Atención Primaria (Oral)

Ámbito del caso (Atención Primaria, servicios de Urgencias o atención domiciliaria)

Atención Primaria.

Motivos de consulta

Dolor testicular.

Historia clínica

Enfoque individual: antecedentes personales, anamnesis, exploración, pruebas complementarias, etc.

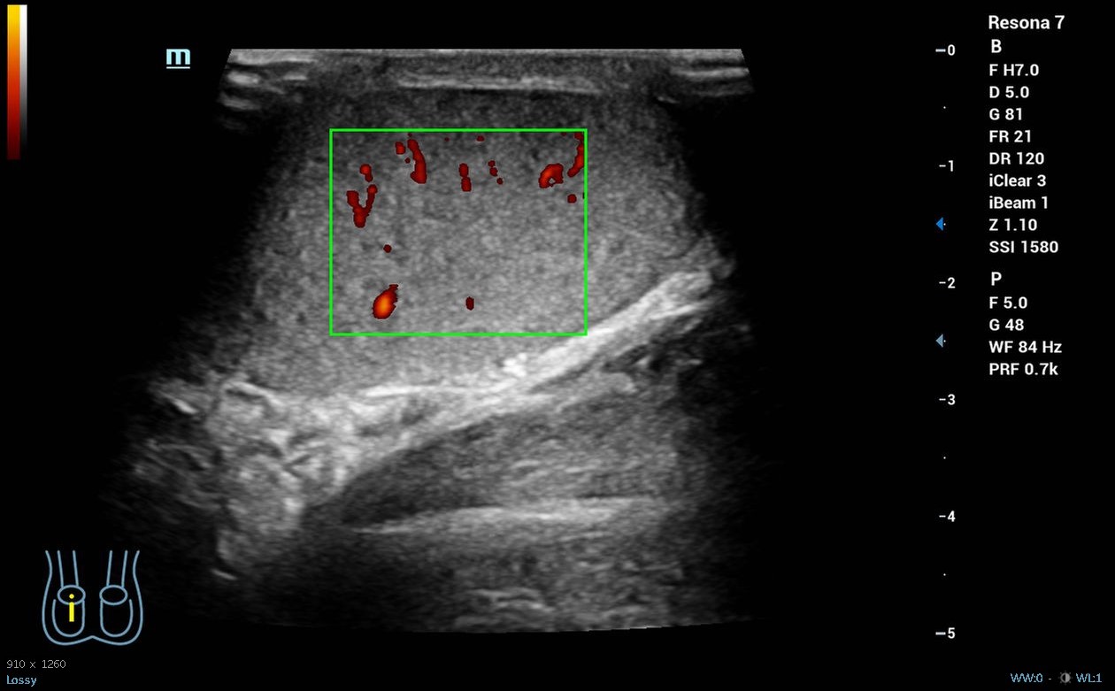
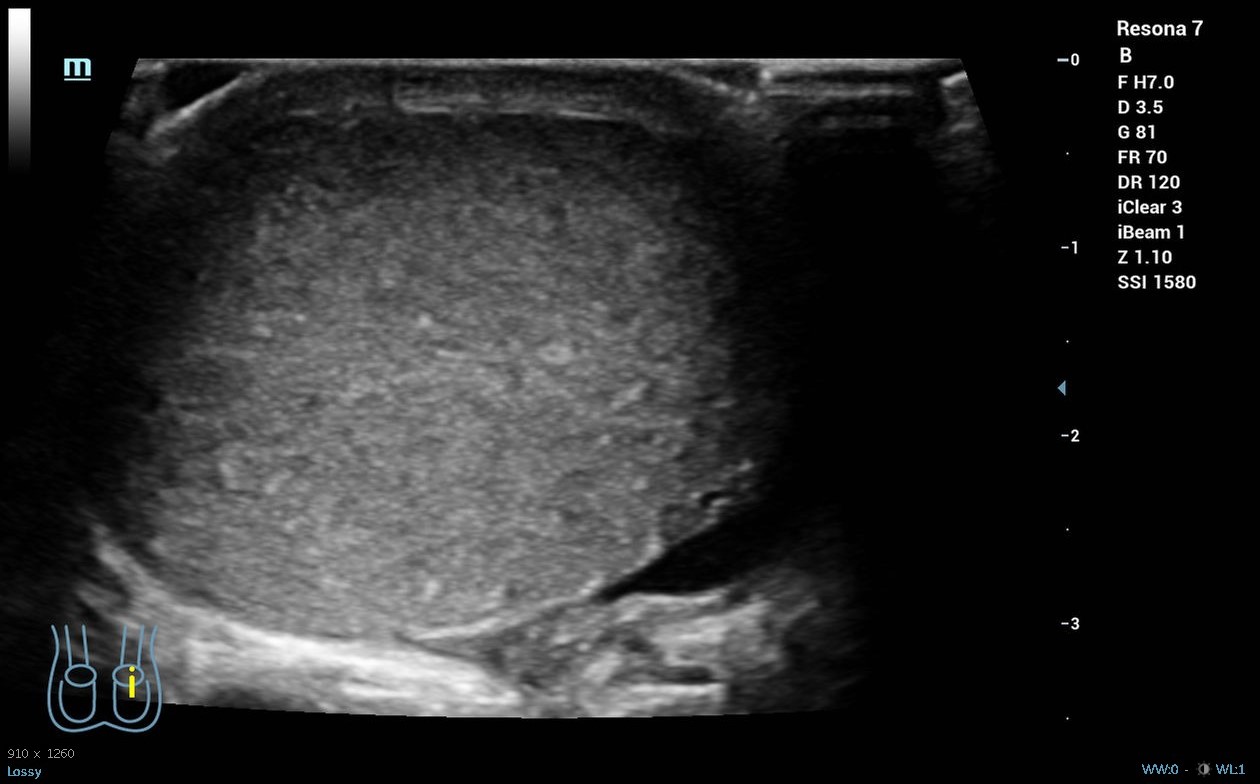
Hombre de 19 años sin antecedentes de interés que acude a la guardia del centro de salud por dolor súbito en el testículo derecho desde las 04.00 h que le ha despertado, asociado a náuseas y vómitos, sin otra clínica infecciosa o traumática acompañante. A la exploración física presenta abdomen normal, pero teste izquierdo ascendido y horizontalizado, doloroso a la palpación, con discreto aumento de tamaño o cambios en temperatura, con signo de Prehn negativo y reflejo cremastérico ausente en lado izquierdo. Se realiza ecografía clínica, donde se objetiva testículo izquierdo aumentado de tamaño con morfología y ecoestructura normal, pero con ausencia de flujo power-Doppler en su interior, ligero hidrocele y aparente giro del cordón espermático en su porción distal. 

Enfoque familiar y comunitario: estudio de la familia y la comunidad (si fuese necesario)

Natural de Gran Canaria, sin antecedentes personales o familiares de relevancia.

Juicio clínico, diagnóstico diferencial, identificación de problemas

Torsión del cordón espermático.

Tratamiento y planes de actuación.

Derivación hospitalaria urgente, donde se corroboran los hallazgos de la ecografía clínica y se realiza detorsión quirúrgica.

Evolución

Favorable.

Conclusiones y aplicabilidad para la medicina de familia

La torsión testicular es una urgencia médica relativamente frecuente en los varones jóvenes y puede producir la pérdida del testículo afecto si no se interviene a tiempo, por lo que debemos tener un alto grado de sospecha y realizar un cuidadoso diagnóstico diferencial con otras entidades que puedan producir dolor testicular, como la orquiepididimitis aguda. Si bien el cuadro clínico suele ser característico, la disponibilidad de la ecografía clínica en Atención Primaria supone un cambio de paradigma a la hora de confirmar el diagnóstico y procurar una derivación precoz al nivel hospitalario para una cirugía urgente.

 


Comunicaciones y ponencias semFYC: 2025; Comunicaciones: Casos clínicos. ISSN: 2339-9333

Autores

Díaz Artiles, Alba
CS Maspalomas. San Bartolomé de Tirajana, Las Palmas
Cruz Martín, Ana Patricia
CS Maspalomas. San Bartolomé de Tirajana, Las Palmas