V Jornadas de Ecografía de la semFYC

9 y 10 de febrero de 2024

Comunicaciones: Casos clínicos

Un guisante en el zapato (póster)

Ámbito del caso

Atención Primaria.

Motivos de consulta

Dolor.

Historia clínica

Enfoque individual

Mujer de 55 años, trabaja en fábrica de calzado. Consulta por dolor en región dorsal del pie derecho de 8 meses de evolución con empeoramiento progresivo, empeora al final de la jornada laboral, calma con el reposo.
A la exploración presenta dolor a la presión de las cabezas de los metatarsianos entre sí con una mano mientras con la otra se ejerce presión en el espacio entre el tercero y cuarto metatarsianos (signo de Mulder) y dolor a la flexión del tercer dedo (signo de Laségue).
Realización de ecografía clínica para complementar la sospecha del diagnóstico clínico al ser una opción fácilmente disponible, económica y con alta sensibilidad.

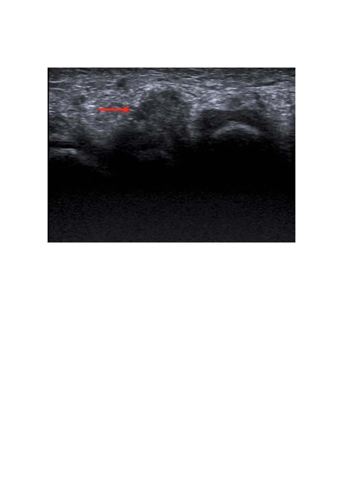
Hallazgos ecográficos

En corte transversal por acceso plantar se identifica una masa hipoecoica redondeada homogénea de bordes bien definidos en tercer espacio interdigital de 7 mm, compatible con neuroma de Morton.

A la compresión lateral existe una extrusión hacia la planta del pie.

Pruebas complementarias

Radiografía simple antepié en descarga y con carga.

Juicio clínico, diagnóstico diferencial, identificación de problemas

Neuroma de Morton, neuroma interdigital o neuroma plantar.

Diagnóstico diferencial: Sinovitis o capsulitis, fractura por estrés, enfermedad de Freiberg, ganglión, fibromatosis plantar, neoplasias benignas o malignas.

 

Tratamiento y planes de actuación

Se inicia tratamiento conservador con fármacos antiinflamatorios no esteroideos y adecuación del calzado de trabajo. En visita de control a las 2 semanas continua la clínica con escasa mejoría. Se decide infiltración ecoguiada con la inyección de anestésico local (mepivacaína) y corticoide (triamcinolona) en el espacio interdigital afectado accediendo desde el dorso del pie.

Evolución

Mejoría a las tres semanas.

Conclusiones (y aplicabilidad para la Medicina de Familia)

El neuroma de Morton en un engrosamiento del nervio interdigital en el espacio del tercer y cuarto dedo del pie tratándose de una neuropatía degenerativa por atrapamiento. Provoca dolor en la zona anterior de la planta del pie. El diagnóstico es clínico, las pruebas de imagen permiten apoyar la orientación diagnóstcia.
El tratamiento inicial es conservador, cirugía como última opción.
La ecografía permite ayuda tanto en el diagnóstico de los neuromas como en el tratamiento percutáneo.
Se trata de una técnica disponible y económica con alta sensibilidad, que varía dependiendo la técnica y manejo del operador.

 


Comunicaciones y ponencias semFYC: 2025; Comunicaciones: Casos clínicos. ISSN: 2339-9333

Autores

Sánchez Pascual, Josep
CS Dr Sapena. Elche
González Romero, Juan Carlos
CS Dr Sapena. Elche
Gisbert Canet, María
CS Dr Sapena. Elche